Skip to main content

ZADH2 Antibody - BSA Free

Novus Biologicals, part of Bio-Techne | Catalog # NBP1-82679

Novus Biologicals, part of Bio-Techne
Catalog #
Availability
Size / Price
Qty
Loading...
NBP1-82679
NBP1-82679-25ul

Key Product Details

Species Reactivity

Validated:

Human

Predicted:

Mouse (94%), Rat (92%). Backed by our 100% Guarantee.

Applications

Immunohistochemistry, Immunohistochemistry-Paraffin, Western Blot

Label

Unconjugated

Antibody Source

Polyclonal Rabbit IgG

Format

BSA Free

Concentration

Concentrations vary lot to lot. See vial label for concentration. If unlisted please contact technical services.

Product Specifications

Immunogen

This antibody was developed against Recombinant Protein corresponding to amino acids: RLSPNFREAVTLSRDCPVPLPGDGDLLVRNRFVGVNASDINYSAGRYDPSVKPPFDIGFEGIGEVVALGLSASARYTVGQAVAYMAPGSFAEYTVVPASIATPVPS

Clonality

Polyclonal

Host

Rabbit

Isotype

IgG

Description

Novus Biologicals Rabbit ZADH2 Antibody - BSA Free (NBP1-82679) is a polyclonal antibody validated for use in IHC and WB. All Novus Biologicals antibodies are covered by our 100% guarantee.

Scientific Data Images for ZADH2 Antibody - BSA Free

Western Blot: ZADH2 Antibody [NBP1-82679]

Western Blot: ZADH2 Antibody [NBP1-82679]

Western Blot: ZADH2 Antibody [NBP1-82679] - Analysis in control (vector only transfected HEK293T lysate) and ZADH2 over-expression lysate (Co-expressed with a C-terminal myc-DDK tag (3.1 kDa) in mammalian HEK293T cells).
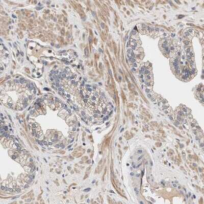
Immunohistochemistry-Paraffin: ZADH2 Antibody [NBP1-82679]

Immunohistochemistry-Paraffin: ZADH2 Antibody [NBP1-82679]

Immunohistochemistry-Paraffin: ZADH2 Antibody [NBP1-82679] - Staining of human prostate shows moderate cytoplasmic positivity in smooth muscle cells.
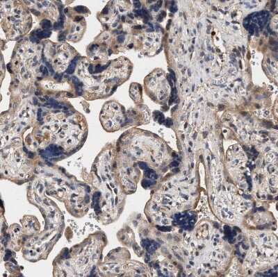
Immunohistochemistry-Paraffin: ZADH2 Antibody [NBP1-82679]

Immunohistochemistry-Paraffin: ZADH2 Antibody [NBP1-82679]

Immunohistochemistry-Paraffin: ZADH2 Antibody [NBP1-82679] - Staining of human placenta shows moderate granular cytoplasmic positivity in trophoblastic cells.

Applications for ZADH2 Antibody - BSA Free

Application
Recommended Usage

Immunohistochemistry

1:50 - 1:200

Immunohistochemistry-Paraffin

1:50 - 1:200

Western Blot

0.04-0.4 ug/ml
Application Notes
For IHC-Paraffin, HIER pH 6 retrieval is recommended.

Formulation, Preparation, and Storage

Purification

Immunogen affinity purified

Formulation

PBS (pH 7.2) and 40% Glycerol

Format

BSA Free

Preservative

0.02% Sodium Azide

Concentration

Concentrations vary lot to lot. See vial label for concentration. If unlisted please contact technical services.

Shipping

The product is shipped with polar packs. Upon receipt, store it immediately at the temperature recommended below.

Stability & Storage

Store at 4C short term. Aliquot and store at -20C long term. Avoid freeze-thaw cycles.

Background: ZADH2

ZADH2 is a gene that codes for a protein with a length of 377 amino acids and a weight of approximately 40 kDa. Current studies are being done on diseases and disorders related to this gene including alcoholism and nephropathy. ZADH2 has also been shown to have interactions with ELAVL1.

Alternate Names

MGC45594, zinc binding alcohol dehydrogenase domain containing 2, zinc-binding alcohol dehydrogenase domain-containing protein 2

Gene Symbol

ZADH2

Additional ZADH2 Products

Product Documents for ZADH2 Antibody - BSA Free

Certificate of Analysis

To download a Certificate of Analysis, please enter a lot number in the search box below.

Product Specific Notices for ZADH2 Antibody - BSA Free

This product is for research use only and is not approved for use in humans or in clinical diagnosis. Primary Antibodies are guaranteed for 1 year from date of receipt.

Loading...
Loading...
Loading...
Loading...