Skip to main content

YB1 Antibody (OTI7B4)

Novus Biologicals, part of Bio-Techne | Catalog # NBP2-46381

Novus Biologicals, part of Bio-Techne
Catalog #
Availability
Size / Price
Qty
Loading...
NBP2-46381

Key Product Details

Species Reactivity

Human, Mouse, Rat

Applications

Immunohistochemistry, Immunohistochemistry-Paraffin, Western Blot

Label

Unconjugated

Antibody Source

Monoclonal Mouse IgG1 Clone # OTI7B4

Concentration

1 mg/ml

Product Specifications

Immunogen

Full length human recombinant protein of human YBX1 (NP_004550) produced in E.coli.

Reactivity Notes

Please note that this antibody is reactive to Mouse and derived from the same host, Mouse. Mouse-On-Mouse blocking reagent may be needed for IHC and ICC experiments to reduce high background signal. You can find these reagents under catalog numbers PK-2200-NB and MP-2400-NB. Please contact Technical Support if you have any questions.

Clonality

Monoclonal

Host

Mouse

Isotype

IgG1

Theoretical MW

35.7 kDa.
Disclaimer note: The observed molecular weight of the protein may vary from the listed predicted molecular weight due to post translational modifications, post translation cleavages, relative charges, and other experimental factors.

Description

Novus Biologicals Mouse YB1 Antibody (OTI7B4) (NBP2-46381) is a monoclonal antibody validated for use in IHC and WB. All Novus Biologicals antibodies are covered by our 100% guarantee.

Scientific Data Images for YB1 Antibody (OTI7B4)

Western Blot: YB1 Antibody (OTI7B4) [NBP2-46381]

Western Blot: YB1 Antibody (OTI7B4) [NBP2-46381]

Western Blot: YB1 Antibody (7B4) [NBP2-46381] - Analysis of HEK293T cells were transfected with the pCMV6-ENTRY control (Left lane) or pCMV6-ENTRY YB1.
Immunohistochemistry: YB1 Antibody (OTI7B4) [NBP2-46381]

Immunohistochemistry: YB1 Antibody (OTI7B4) [NBP2-46381]

Immunohistochemistry: YB1 Antibody (7B4) [NBP2-46381] - Analysis of Human lymphoma tissue. (Heat-induced epitope retrieval by 1 mM EDTA in 10mM Tris, pH8.5, 120C for 3min)
Immunohistochemistry: YB1 Antibody (OTI7B4) [NBP2-46381]

Immunohistochemistry: YB1 Antibody (OTI7B4) [NBP2-46381]

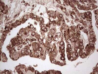
Immunohistochemistry: YB1 Antibody (7B4) [NBP2-46381] - Analysis of Adenocarcinoma of Human colon tissue. (Heat-induced epitope retrieval by 1 mM EDTA in 10mM Tris, pH8.5, 120C for 3min)

Applications for YB1 Antibody (OTI7B4)

Application
Recommended Usage

Immunohistochemistry

1:150

Immunohistochemistry-Paraffin

1:150

Western Blot

1:2000

Formulation, Preparation, and Storage

Purification

Immunogen affinity purified

Formulation

PBS (pH 7.3), 1.0% BSA and 50% Glycerol

Preservative

0.02% Sodium Azide

Concentration

1 mg/ml

Shipping

The product is shipped with polar packs. Upon receipt, store it immediately at the temperature recommended below.

Stability & Storage

Store at -20C. Avoid freeze-thaw cycles.

Background: YB1

The Y-box binding protein 1 (YB1) is a pluripotent DNA/RNA-binding factor which regulates gene expression through transcription and translation. YB1 has been shown to be a marker of tumor aggressiveness and belongs to the cold-shock domain family.

Alternate Names

BP-8, CBF-A, class II, Y box-binding protein I, CSDA2, CSDB, DBPB CCAAT-binding transcription factor I subunit A, EFI-A, Enhancer factor I subunit A, MDR-NF1, MGC104858, MGC110976, MGC117250, NSEP1 Y-box-binding protein 1, nuclease-sensitive element-binding protein 1, Y box binding protein 1, YB1 DNA-binding protein B, YB-1 Y-box transcription factor, YBX1

Gene Symbol

YBX1

Additional YB1 Products

Product Documents for YB1 Antibody (OTI7B4)

Certificate of Analysis

To download a Certificate of Analysis, please enter a lot number in the search box below.

Product Specific Notices for YB1 Antibody (OTI7B4)

This product is for research use only and is not approved for use in humans or in clinical diagnosis. Primary Antibodies are guaranteed for 1 year from date of receipt.

Loading...
Loading...
Loading...
Loading...