Skip to main content

XTP4 Antibody (OTI2D5) - Azide and BSA Free

Novus Biologicals, part of Bio-Techne | Catalog # NBP2-74904

Novus Biologicals, part of Bio-Techne

Key Product Details

Species Reactivity

Human, Mouse

Applications

Immunohistochemistry, Immunohistochemistry-Paraffin, Western Blot, Immunocytochemistry/ Immunofluorescence

Label

Unconjugated

Antibody Source

Monoclonal Mouse IgG2B Clone # OTI2D5

Format

Azide and BSA Free

Concentration

LYOPH mg/ml

Product Specifications

Immunogen

Full length human recombinant protein of human C17orf37 (NP_115715) produced in E.coli.

Reactivity Notes

Please note that this antibody is reactive to Mouse and derived from the same host, Mouse. Mouse-On-Mouse blocking reagent may be needed for IHC and ICC experiments to reduce high background signal. You can find these reagents under catalog numbers PK-2200-NB and MP-2400-NB. Please contact Technical Support if you have any questions.

Clonality

Monoclonal

Host

Mouse

Isotype

IgG2B

Theoretical MW

12.2 kDa.
Disclaimer note: The observed molecular weight of the protein may vary from the listed predicted molecular weight due to post translational modifications, post translation cleavages, relative charges, and other experimental factors.

Description

Novus Biologicals Mouse XTP4 Antibody (OTI2D5) - Azide and BSA Free (NBP2-46592) is a monoclonal antibody validated for use in IHC, WB and ICC/IF. All Novus Biologicals antibodies are covered by our 100% guarantee.

Scientific Data Images for XTP4 Antibody (OTI2D5) - Azide and BSA Free

Western Blot: XTP4 Antibody (OTI2D5)Azide and BSA Free [NBP2-74904]

Western Blot: XTP4 Antibody (OTI2D5)Azide and BSA Free [NBP2-74904]

Western Blot: XTP4 Antibody (OTI2D5) - Azide and BSA Free [NBP2-74904] - Analysis of HEK293T cells were transfected with the pCMV6-ENTRY control (Left lane) or pCMV6-ENTRY XTP4.
Immunocytochemistry/ Immunofluorescence: XTP4 Antibody (OTI2D5) - Azide and BSA Free [NBP2-74904]

Immunocytochemistry/ Immunofluorescence: XTP4 Antibody (OTI2D5) - Azide and BSA Free [NBP2-74904]

Immunocytochemistry/Immunofluorescence: XTP4 Antibody (OTI2D5) - Azide and BSA Free [NBP2-74904] - Analysis of COS7 cells transiently transfected by pCMV6-ENTRY C17orf37.
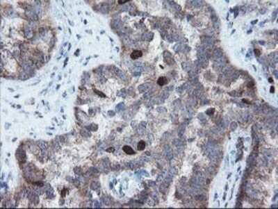
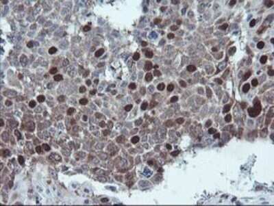
Immunohistochemistry: XTP4 Antibody (OTI2D5) - Azide and BSA Free [NBP2-74904]

Immunohistochemistry: XTP4 Antibody (OTI2D5) - Azide and BSA Free [NBP2-74904]

Immunohistochemistry: XTP4 Antibody (OTI2D5) - Azide and BSA Free [NBP2-74904] - Analysis of Human pancreas tissue.

Applications for XTP4 Antibody (OTI2D5) - Azide and BSA Free

Application
Recommended Usage

Immunocytochemistry/ Immunofluorescence

1:100

Immunohistochemistry

1:150

Western Blot

1:500-2000

Formulation, Preparation, and Storage

Purification

Immunogen affinity purified

Reconstitution

we recommend adding 100uL distilled water to a final antibody concentration of about 1 mg/mL. To use this carrier-free antibody for conjugation experiment, we strongly recommend performing another round of desalting process.

Formulation

Lyophilized from PBS (pH 7.3) with 8% Trehalose

Format

Azide and BSA Free

Preservative

No Preservative

Concentration

LYOPH mg/ml

Shipping

The product is shipped with polar packs. Upon receipt, store it immediately at the temperature recommended below.

Stability & Storage

Store at -20C. Avoid freeze-thaw cycles.

Background: XTP4

XTP4 may be involved in a redox-related process (Potential)

Alternate Names

C35, chromosome 17 open reading frame 37, HBV XAg-transactivated protein 4, HBV X-transactivated gene 4 protein, MGC14832, ORB3, protein C17orf37, Protein C35, XTP4RDX12

Gene Symbol

MIEN1

Additional XTP4 Products

Product Documents for XTP4 Antibody (OTI2D5) - Azide and BSA Free

Certificate of Analysis

To download a Certificate of Analysis, please enter a lot number in the search box below.

Product Specific Notices for XTP4 Antibody (OTI2D5) - Azide and BSA Free

This product is for research use only and is not approved for use in humans or in clinical diagnosis. Primary Antibodies are guaranteed for 1 year from date of receipt.

Loading...
Loading...
Loading...
Loading...
Loading...