Skip to main content

XPD Antibody (S3) - Azide and BSA Free

Novus Biologicals, part of Bio-Techne | Catalog # H00002068-M04

Novus Biologicals, part of Bio-Techne
Catalog #
Availability
Size / Price
Qty
Loading...
H00002068-M04

Key Product Details

Species Reactivity

Human

Applications

Western Blot, ELISA, Immunocytochemistry/ Immunofluorescence

Label

Unconjugated

Antibody Source

Monoclonal Mouse IgG1 kappa Clone # S3

Format

Azide and BSA Free

Concentration

Concentrations vary lot to lot. See vial label for concentration. If unlisted please contact technical services.

Product Specifications

Immunogen

ERCC2 (AAH08346, 1 a.a. ~ 405 a.a) full-length recombinant protein with GST tag. MW of the GST tag alone is 26 KDa. MRELKRTLDAKGHGVLEMPSGTGKTVSLLALIMAYQRAYPLEVTKLIYCSRTVPEIEKVIEELRKLLNFYEKQEGEKLPFLGLALSSRKNLCIHPEVTPLRFGKDVDGKCHSLTASYVRAQYQHDTSLPHCRFYEEFDAHGREVPLPAGIYNLDDLKALGRRQGWCPYFLARYSILHANVVVYSYHYLLDPKIADLVSKELARKAVVVFDEAHNIDNVCIDSMSVNLTRRTLDRCQGNLETLQKTVLRIKETDEQRLRDEYRRLVEGLREASAARETDAHLANPVLPDEVLQEAVPGSIRTAEHFLGFLRRLLEYVKWRLRVQHVVQESPPAFLSGLAQRVCIQRKPLRFCAERLRSLLHTLEITDLADFSPLTLLANFATLVSTYAKGQAQHCGSSRNQKRSHP

Specificity

ERCC2 - excision repair cross-complementing rodent repair deficiency, complementation group 2 (xeroderma pigmentosum D) (S3)

Clonality

Monoclonal

Host

Mouse

Isotype

IgG1 kappa

Description

Quality control test: Antibody Reactive Against Recombinant Protein.

Scientific Data Images for XPD Antibody (S3) - Azide and BSA Free

Western Blot: XPD Antibody (S3) [H00002068-M04]

Western Blot: XPD Antibody (S3) [H00002068-M04]

Western Blot: XPD Antibody (S3) [H00002068-M04] - Analysis of ERCC2 expression in A-431 (Cat # L015V1).
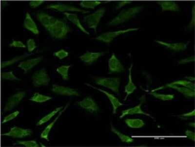
Immunocytochemistry/ Immunofluorescence: XPD Antibody (S3) [H00002068-M04]

Immunocytochemistry/ Immunofluorescence: XPD Antibody (S3) [H00002068-M04]

Immunocytochemistry/Immunofluorescence: XPD Antibody (S3) [H00002068-M04] - Analysis of monoclonal antibody to ERCC2 on HeLa cell. Antibody concentration 10 ug/ml

Applications for XPD Antibody (S3) - Azide and BSA Free

Application
Recommended Usage

Western Blot

1:500
Application Notes
Antibody reactivity against cell lysate and recombinant protein for WB. It has also been used for ELISA.

Formulation, Preparation, and Storage

Purification

IgG purified

Formulation

In 1x PBS, pH 7.4

Format

Azide and BSA Free

Preservative

No Preservative

Concentration

Concentrations vary lot to lot. See vial label for concentration. If unlisted please contact technical services.

Shipping

The product is shipped with polar packs. Upon receipt, store it immediately at the temperature recommended below.

Stability & Storage

Aliquot and store at -20C or -80C. Avoid freeze-thaw cycles.

Background: XPD

The nucleotide excision repair pathway is a mechanism to repair damage to DNA. The protein encoded by this gene is involved in transcription-coupled nucleotide excision repair and is an integral member of the basal transcription factor BTF2/TFIIH complex. The gene product has ATP-dependent DNA helicase activity and belongs to the RAD3/XPD subfamily of helicases. Defects in this gene can result in three different disorders, the cancer-prone syndrome xeroderma pigmentosum complementation group D, trichothiodystrophy, and Cockayne syndrome. [provided by RefSeq]

Long Name

Xeroderma Pigmentosum D

Alternate Names

EM9, ERCC2

Entrez Gene IDs

2068 (Human)

Gene Symbol

ERCC2

Additional XPD Products

Product Documents for XPD Antibody (S3) - Azide and BSA Free

Certificate of Analysis

To download a Certificate of Analysis, please enter a lot number in the search box below.

Product Specific Notices for XPD Antibody (S3) - Azide and BSA Free

This product is produced by and distributed for Abnova, a company based in Taiwan.

This product is for research use only and is not approved for use in humans or in clinical diagnosis. Primary Antibodies are guaranteed for 1 year from date of receipt.

Loading...
Loading...
Loading...
Loading...