Skip to main content

XBP1 Antibody - BSA Free

Novus Biologicals, part of Bio-Techne | Catalog # NBP1-77681

Novus Biologicals, part of Bio-Techne

Key Product Details

Species Reactivity

Validated:

Human, Mouse

Cited:

Human, Mouse, Porcine

Applications

Validated:

Immunohistochemistry, Immunohistochemistry-Paraffin, Western Blot, Flow Cytometry, Immunocytochemistry/ Immunofluorescence, Knockdown Validated

Cited:

Western Blot, Flow Cytometry, Chromatin Immunoprecipitation (ChIP), Knockdown Validated

Label

Unconjugated

Antibody Source

Polyclonal Rabbit IgG

Format

BSA Free

Concentration

1.0 mg/ml

Product Specifications

Immunogen

A genomic peptide made to an internal region of the human XBP1 protein (within residues 100-250). [Swiss-Prot P17861]

Localization

Nucleus

Specificity

This antibody is specific for both XBP1s and XBP1u.

Clonality

Polyclonal

Host

Rabbit

Isotype

IgG

Description

Novus Biologicals Rabbit XBP1 Antibody - BSA Free (NBP1-77681) is a polyclonal antibody validated for use in IHC, WB, Flow, ICC/IF and ChIP. Anti-XBP1 Antibody: Cited in 18 publications. All Novus Biologicals antibodies are covered by our 100% guarantee.

Scientific Data Images for XBP1 Antibody - BSA Free

Western Blot: XBP1 AntibodyBSA Free [NBP1-77681]

Western Blot: XBP1 AntibodyBSA Free [NBP1-77681]

Western Blot: XBP1 Antibody [NBP1-77681] - Total protein from HeLa cells was separated on a 12% gel by SDS-PAGE, transferred to PVDF membrane and blocked in 5% non-fat milk in TBST. The membrane was probed with 1.0 ug/ml anti-XBP1 in block buffer and detected with an anti-rabbit HRP secondary antibody using chemiluminescence. Arrow delineates XBP1s and arrowhead XBP1u.
Immunocytochemistry/ Immunofluorescence: XBP1 Antibody - BSA Free [NBP1-77681]

Immunocytochemistry/ Immunofluorescence: XBP1 Antibody - BSA Free [NBP1-77681]

Immunocytochemistry/Immunofluorescence: XBP1 Antibody [NBP1-77681] - Mouse MS1 cells were fixed in 4% paraformaldehyde for 10 minutes and permeabilized in 0.05% Triton X-100 in PBS for 5 minutes. The cells were incubated with XBP1 Antibody (NBP1-77681) at 1 ug/ml overnight at 4C and detected with an anti-rabbit DyLight 488 (Green) at a 1:1000 dilution for 60 minutes. Nuclei were counterstained with DAPI (Blue). Cells were imaged using a 40X objective.
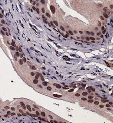
Immunohistochemistry: XBP1 Antibody - BSA Free [NBP1-77681]

Immunohistochemistry: XBP1 Antibody - BSA Free [NBP1-77681]

Immunohistochemistry: XBP1 Antibody [NBP1-77681] - Staining of XBP1 in mouse bladder using DAB with hematoxylin counterstain.

Applications for XBP1 Antibody - BSA Free

Application
Recommended Usage

Flow Cytometry

reported in scientific literature (PMID 31031094)

Immunocytochemistry/ Immunofluorescence

1:100

Immunohistochemistry

1:100

Immunohistochemistry-Paraffin

1:100

Knockdown Validated

reported in scientific literature (PMID 33513694)

Western Blot

1 ug/mL
Application Notes
Prior to immunostaining paraffin tissues, antigen retrieval with sodium citrate buffer (pH 6.0) is recommended.

Reviewed Applications

Read 1 review rated 5 using NBP1-77681 in the following applications:

Formulation, Preparation, and Storage

Purification

Immunogen affinity purified

Formulation

PBS

Format

BSA Free

Preservative

0.05% Sodium Azide

Concentration

1.0 mg/ml

Shipping

The product is shipped with polar packs. Upon receipt, store it immediately at the temperature recommended below.

Stability & Storage

Store at 4C short term. Aliquot and store at -20C long term. Avoid freeze-thaw cycles.

Background: XBP1

XBP1 (X-box binding protein 1 or TREB5), is a unique bZIP transcription factor whose active form is generated by a non-conventional splicing reaction upon disruption of homeostasis in endoplasmic reticulum (ER) and unfolded protein response (UPR) activation. Originally identified as a key regulator of MHC class II gene expression in B cells, XBP1 now is known as the most conserved signaling component of UPR and is critical for cell fate determination in response to ER stress. XBP1 is a nuclear transcription factor essential for hepatocyte growth, plasma cells differentiation, immunoglobulin secretion, and UPR cascade. XBP1 acts upon ER stress by activating UPR target genes via direct binding to UPRE (the UPR element). XBP1 binds DNA preferably to the CRE-like element 5'-GATGACGTG[TG]N3[AT]T-3', and also to certain TPA response elements. XBP1 also binds to HLA DR-alpha promoter as well as to the Tax-responsive element of HTLV-I. XBP1 is up-regulated by ATF6 via direct binding to ERSE in response to ER stress. Genetic variations in XBP1 have been linked with susceptibility to major affective disorder type 7 (MAFD7).

Long Name

X-box Binding Protein 1

Alternate Names

HTF, TREB5, XBP2, XBP1s, XBP1u

Entrez Gene IDs

7494 (Human); 22433 (Mouse)

Gene Symbol

XBP1

Additional XBP1 Products

Product Documents for XBP1 Antibody - BSA Free

Certificate of Analysis

To download a Certificate of Analysis, please enter a lot number in the search box below.

Product Specific Notices for XBP1 Antibody - BSA Free

Manufactured by Genomic Antibody Technology™. GAT FAQs

This product is for research use only and is not approved for use in humans or in clinical diagnosis. Primary Antibodies are guaranteed for 1 year from date of receipt.

Loading...
Loading...
Loading...
Loading...
Loading...