Skip to main content

WT1 Antibody (WT1/857 + 6F-H2) - IHC-Prediluted

Novus Biologicals, part of Bio-Techne | Catalog # NBP2-48223

Novus Biologicals, part of Bio-Techne
Catalog #
Availability
Size / Price
Qty
Loading...
NBP2-48223
Conjugate
Catalog #

Key Product Details

Species Reactivity

Human, Mouse, Rat

Applications

Immunohistochemistry, Immunohistochemistry-Paraffin

Label

Unconjugated

Antibody Source

Monoclonal Mouse IgG1 Kappa/IgG1 Kappa Clone # WT1/857 + 6F-H2

Format

IHC-Prediluted

Concentration

Please see the vial label for concentration. If unlisted please contact technical services.

Product Specifications

Immunogen

Recombinant full length human WT1 protein (WT1/857); Recombinant fragment aa1-181 of human WT1 (6F-H2) (Uniprot: P19544)

Reactivity Notes

Use in Mouse reported in scientific literature (PMID:33631230).

Localization

Nuclear and Cytoplasmic

Specificity

Recognizes a 47-55kDa-tumor suppressor protein, identified as Wilms tumor and mesothelioma. WT1 protein has been identified in proliferative mesothelial cells, malignant mesothelioma, ovarian carcinoma, gonadoblastoma, nephroblastoma, and desmoplastic small round cell tumor. Lung adenocarcinomas rarely stain positive with this antibody. WT1 protein expression in mesothelial cells has become a reliable marker for the diagnosis of mesotheliomas.

Marker

Wilm's Tumor & Mesothelial Marker

Clonality

Monoclonal

Host

Mouse

Isotype

IgG1 Kappa/IgG1 Kappa

Description

The prediluted antibody does not require any mixing, dilution, reconstitution, or titration; the antibody is ready-to-use and optimized for staining.

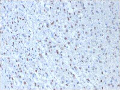
Scientific Data Images for WT1 Antibody (WT1/857 + 6F-H2) - IHC-Prediluted

Immunohistochemistry-Paraffin: WT1 Antibody (WT1/857 + 6F-H2) - IHC-Prediluted [NBP2-48223]

Immunohistochemistry-Paraffin: WT1 Antibody (WT1/857 + 6F-H2) - IHC-Prediluted [NBP2-48223]

Immunohistochemistry-Paraffin: WT1 Antibody (WT1/857 + 6F-H2) - IHC-Prediluted [NBP2-48223] - Formalin-fixed, paraffin-embedded human Mesothelioma stained with WT1 Antibody (WT1/857 + 6F-H2).
Immunohistochemistry-Paraffin: WT1 Antibody (WT1/857 + 6F-H2) - IHC-Prediluted [NBP2-48223]

Immunohistochemistry-Paraffin: WT1 Antibody (WT1/857 + 6F-H2) - IHC-Prediluted [NBP2-48223]

Immunohistochemistry-Paraffin: WT1 Antibody (WT1/857 + 6F-H2) - IHC-Prediluted [NBP2-48223] - Formalin-fixed, paraffin-embedded human Mesothelioma stained with Wilm's TumorMonoclonal Antibody (WT1/857 + 6F-H2).

Applications for WT1 Antibody (WT1/857 + 6F-H2) - IHC-Prediluted

Application
Recommended Usage

Immunohistochemistry

Optimal dilutions of this antibody should be experimentally determined.

Immunohistochemistry-Paraffin

Optimal dilutions of this antibody should be experimentally determined.
Application Notes
Immunohistochemistry (Formalin-fixed): 1-2ug/ml for 30 minutes at RT. Staining of formalin-fixed tissues requires heating tissue sections in 10mM Tris with 1mM EDTA, pH 9.0, for 45 min at 95C followed by cooling at RT for 20 minutes.
Optimal dilution for a specific application should be determined.

Formulation, Preparation, and Storage

Purification

Protein A or G purified

Formulation

10 mM PBS with 0.05% BSA

Format

IHC-Prediluted

Preservative

0.05% Sodium Azide

Concentration

Please see the vial label for concentration. If unlisted please contact technical services.

Shipping

The product is shipped with polar packs. Upon receipt, store it immediately at the temperature recommended below.

Stability & Storage

Store at 4C.

Background: WT1

Wilms' tumor protein (WT1) is a transcription factor which regulates the expression of numerous target genes, including EPO. This protein plays an essential role in the normal development of the urogenital system, including cellular development and cell survival, and it has both tumor suppressor and oncogenic roles in tumor formation.

Defects in the WT1 protein can lead to Wilms tumor, Frasier syndrome, Denys-Drash syndrome, nephrotic syndrome type 4, and Meacham syndrome.

Long Name

Wilms Tumor 1

Alternate Names

GUD, WAGR, WIT-2, WT33

Gene Symbol

WT1

Additional WT1 Products

Product Documents for WT1 Antibody (WT1/857 + 6F-H2) - IHC-Prediluted

Certificate of Analysis

To download a Certificate of Analysis, please enter a lot number in the search box below.

Product Specific Notices for WT1 Antibody (WT1/857 + 6F-H2) - IHC-Prediluted

This product is for research use only and is not approved for use in humans or in clinical diagnosis. Primary Antibodies are guaranteed for 1 year from date of receipt.

Loading...
Loading...
Loading...
Loading...