Skip to main content

WT1 Antibody (WT1/857 + 6F-H2) - Azide and BSA Free

Novus Biologicals, part of Bio-Techne | Catalog # NBP2-47858

Novus Biologicals, part of Bio-Techne
Catalog #
Availability
Size / Price
Qty
Loading...
NBP2-47858-0.1mg
Conjugate
Catalog #

Key Product Details

Species Reactivity

Human, Mouse, Rat

Applications

Immunohistochemistry, Immunohistochemistry-Paraffin, CyTOF-ready

Label

Unconjugated

Antibody Source

Monoclonal Mouse IgG1 Kappa/IgG1 Kappa Clone # WT1/857 + 6F-H2

Format

Azide and BSA Free

Concentration

1.0 mg/ml

Product Specifications

Immunogen

Recombinant full length human WT1 protein (WT1/857); Recombinant fragment aa1-181 of human WT1 (6F-H2) (Uniprot: P19544)

Reactivity Notes

Use in Mouse reported in scientific literature (PMID:33631230).

Localization

Nuclear and Cytoplasmic

Specificity

Recognizes a 47-55kDa-tumor suppressor protein, identified as Wilms tumor and mesothelioma. WT1 protein has been identified in proliferative mesothelial cells, malignant mesothelioma, ovarian carcinoma, gonadoblastoma, nephroblastoma, and desmoplastic small round cell tumor. Lung adenocarcinomas rarely stain positive with this antibody. WT1 protein expression in mesothelial cells has become a reliable marker for the diagnosis of mesotheliomas.

Marker

Wilm's Tumor & Mesothelial Marker

Clonality

Monoclonal

Host

Mouse

Isotype

IgG1 Kappa/IgG1 Kappa

Description

1.0 mg/ml of antibody purified from Bioreactor Concentrate by Protein A/G. Prepared in 10mM PBS WITHOUT BSA & azide. Also available at 200 ug/ml WITH BSA & azide (NBP2-44607).

Antibody with azide - store at 2 to 8C. Antibody without azide - store at -20 to -80C.

Scientific Data Images for WT1 Antibody (WT1/857 + 6F-H2) - Azide and BSA Free

Immunohistochemistry-Paraffin: WT1 Antibody (WT1/857 + 6F-H2) - Azide and BSA Free [NBP2-47858]

Immunohistochemistry-Paraffin: WT1 Antibody (WT1/857 + 6F-H2) - Azide and BSA Free [NBP2-47858]

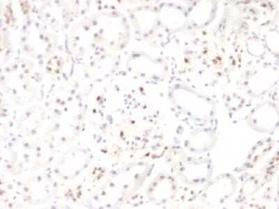
Immunohistochemistry-Paraffin: WT1 Antibody (WT1/857 + 6F-H2) - Azide and BSA Free [NBP2-47858] - Formalin-fixed, paraffin-embedded human Fetal kidney stained with WT1 Monoclonal Antibody (WT1/857+6F-H2).
Immunohistochemistry-Paraffin: WT1 Antibody (WT1/857 + 6F-H2) - Azide and BSA Free [NBP2-47858]

Immunohistochemistry-Paraffin: WT1 Antibody (WT1/857 + 6F-H2) - Azide and BSA Free [NBP2-47858]

Immunohistochemistry-Paraffin: WT1 Antibody (WT1/857 + 6F-H2) - Azide and BSA Free [NBP2-47858] - Formalin-fixed, paraffin-embedded Rat kidney stained with WT1 monoclonal antibody (WT1/857+6F-H2).
Immunohistochemistry-Paraffin: WT1 Antibody (WT1/857 + 6F-H2) - Azide and BSA Free [NBP2-47858]

Immunohistochemistry-Paraffin: WT1 Antibody (WT1/857 + 6F-H2) - Azide and BSA Free [NBP2-47858]

Immunohistochemistry-Paraffin: WT1 Antibody (WT1/857 + 6F-H2) - Azide and BSA Free [NBP2-47858] - Formalin-fixed, paraffin-embedded human Mesothelioma stained with WT1 Antibody (WT1/857 + 6F-H2).

Applications for WT1 Antibody (WT1/857 + 6F-H2) - Azide and BSA Free

Application
Recommended Usage

Immunohistochemistry-Paraffin

0.5 - 1.0 ug/ml
Application Notes
Immunohistochemistry (Formalin-fixed): 1-2ug/ml for 30 minutes at RT. Staining of formalin-fixed tissues requires heating tissue sections in 10mM Tris with 1mM EDTA, pH 9.0, for 45 min at 95C followed by cooling at RT for 20 minutes.
Optimal dilution for a specific application should be determined.

Formulation, Preparation, and Storage

Purification

Protein A or G purified

Formulation

10 mM PBS

Format

Azide and BSA Free

Preservative

No Preservative

Concentration

1.0 mg/ml

Shipping

The product is shipped with polar packs. Upon receipt, store it immediately at the temperature recommended below.

Stability & Storage

Store at -20 to -80C. Avoid freeze-thaw cycles.

Background: WT1

Wilms' tumor protein (WT1) is a transcription factor which regulates the expression of numerous target genes, including EPO. This protein plays an essential role in the normal development of the urogenital system, including cellular development and cell survival, and it has both tumor suppressor and oncogenic roles in tumor formation.

Defects in the WT1 protein can lead to Wilms tumor, Frasier syndrome, Denys-Drash syndrome, nephrotic syndrome type 4, and Meacham syndrome.

Long Name

Wilms Tumor 1

Alternate Names

GUD, WAGR, WIT-2, WT33

Gene Symbol

WT1

Additional WT1 Products

Product Documents for WT1 Antibody (WT1/857 + 6F-H2) - Azide and BSA Free

Certificate of Analysis

To download a Certificate of Analysis, please enter a lot number in the search box below.

Product Specific Notices for WT1 Antibody (WT1/857 + 6F-H2) - Azide and BSA Free

This product is for research use only and is not approved for use in humans or in clinical diagnosis. Primary Antibodies are guaranteed for 1 year from date of receipt.

Loading...
Loading...
Loading...
Loading...