Skip to main content

Wnt-10a Antibody - BSA Free

Novus Biologicals, part of Bio-Techne | Catalog # NBP1-76916

Novus Biologicals, part of Bio-Techne

Key Product Details

Species Reactivity

Human, Mouse, Rat

Applications

Immunohistochemistry, Immunohistochemistry-Paraffin, Western Blot, ELISA, Immunocytochemistry/ Immunofluorescence

Label

Unconjugated

Antibody Source

Polyclonal Rabbit IgG

Format

BSA Free

Concentration

1 mg/ml

Product Specifications

Immunogen

Antibody was raised against a 14 amino acid synthetic peptide from near the carboxy terminus of human Wnt10a. The immunogen is located within amino acids 300 - 350 of Wnt10a. Amino Acid Squence: APGAPGPRRRASPA

Specificity

This Wnt10a antibody is predicted to not cross-react with Wnt10b.

Clonality

Polyclonal

Host

Rabbit

Isotype

IgG

Theoretical MW

46 kDa.
Disclaimer note: The observed molecular weight of the protein may vary from the listed predicted molecular weight due to post translational modifications, post translation cleavages, relative charges, and other experimental factors.

Description

Novus Biologicals Rabbit Wnt-10a Antibody - BSA Free (NBP1-76916) is a polyclonal antibody validated for use in IHC, WB, ELISA and ICC/IF. Anti-Wnt-10a Antibody: Cited in 1 publication. All Novus Biologicals antibodies are covered by our 100% guarantee.

Scientific Data Images for Wnt-10a Antibody - BSA Free

Western Blot: Wnt-10a AntibodyBSA Free [NBP1-76916]

Western Blot: Wnt-10a AntibodyBSA Free [NBP1-76916]

Western Blot: Wnt-10a Antibody [NBP1-76916] - RAW264.7 cell lysate with Wnt10a antibody at (A) 1 and (B) 2 ug/ml.
Wnt-10a Antibody - BSA Free

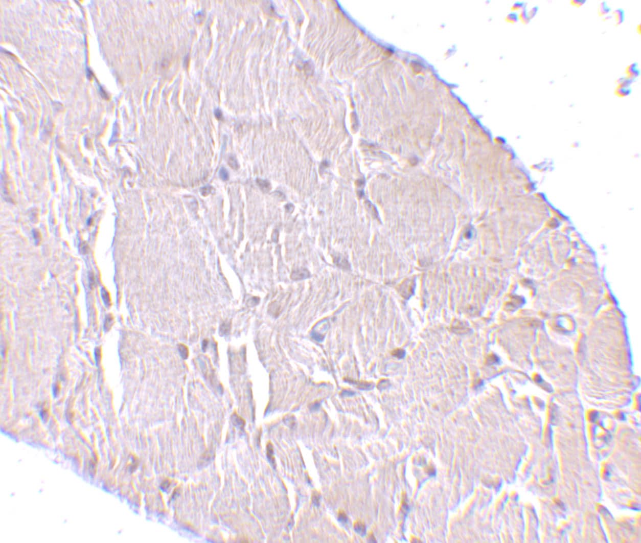
Western Blot: Wnt-10a Antibody - BSA Free [NBP1-76916] -

Western Blot: Wnt-10a Antibody - BSA Free [NBP1-76916] - Immunohistochemistry of Wnt-10a in mouse skeletal muscle tissue with Wnt-10a antibody at 5 ug/ml.
Wnt-10a Antibody - BSA Free

Immunocytochemistry/ Immunofluorescence: Wnt-10a Antibody - BSA Free [NBP1-76916] -

Immunocytochemistry/ Immunofluorescence: Wnt-10a Antibody - BSA Free [NBP1-76916] - Immunofluorescence of Wnt-10a in Human Skeletal Muscle tissue with Wnt-10a antibody at 20 ug/mL.

Applications for Wnt-10a Antibody - BSA Free

Application
Recommended Usage

ELISA

1:100-1:2000

Immunocytochemistry/ Immunofluorescence

20 ug/ml

Immunohistochemistry

5 ug/ml

Immunohistochemistry-Paraffin

5 ug/ml

Western Blot

1-2 ug/ml

Formulation, Preparation, and Storage

Purification

Peptide affinity purified

Formulation

PBS

Format

BSA Free

Preservative

0.02% Sodium Azide

Concentration

1 mg/ml

Shipping

The product is shipped with polar packs. Upon receipt, store it immediately at the temperature recommended below.

Stability & Storage

Store at 4C.

Background: Wnt-10a

Wnt10a is a member of the Wnt family, a gene family that encodes secreted signaling proteins that play crucial roles in normal development such as regulation of cell fate and patterning during embryogenesis as well as neoplastic transformation. Elevated levels of Wnt10a have been detected in several human tumors and cancer cell lines including colorectal cancer and chronic lymphocytic leukemia and it has been suggested that uncontrolled Wnt signaling may contribute to the defect in apoptosis that characterizes these malignancies. Recently, a mutation in Wnt10a was found to be associated with odonto-onycho-dermal dysplasia, an autosomal recessive ectodermal dysplasia. Despite the high homology of Wnt10a to Wnt10b, this Wnt10a antibody will not cross-react with Wnt10b.

Long Name

Wingless-type MMTV Integration Site Family Member 10A

Alternate Names

Wnt10a

Gene Symbol

WNT10A

UniProt

Additional Wnt-10a Products

Product Documents for Wnt-10a Antibody - BSA Free

Certificate of Analysis

To download a Certificate of Analysis, please enter a lot number in the search box below.

Product Specific Notices for Wnt-10a Antibody - BSA Free

This product is for research use only and is not approved for use in humans or in clinical diagnosis. Primary Antibodies are guaranteed for 1 year from date of receipt.

Loading...
Loading...
Loading...
Loading...