Skip to main content

Wnt-10a Antibody - BSA Free

Novus Biologicals, part of Bio-Techne | Catalog # NB100-59026

Novus Biologicals, part of Bio-Techne
Catalog #
Availability
Size / Price
Qty
Loading...
NB100-59026

Key Product Details

Species Reactivity

Validated:

Human, Bat, Bovine, Canine, Monkey, Primate, Rabbit

Cited:

Human

Predicted:

Hamster (93%), Opossum (94%), Rat (93%). Backed by our 100% Guarantee.

Applications

Validated:

Immunohistochemistry, Immunohistochemistry-Paraffin

Cited:

IF/IHC

Label

Unconjugated

Antibody Source

Polyclonal Rabbit IgG

Format

BSA Free

Concentration

1.0 mg/ml

Product Specifications

Immunogen

Synthetic 16 amino acid peptide from internal region of human Wnt-10a.

Epitope

Internal region of human protein

Reactivity Notes

Predicted cross-reactivity based on sequence identity: Gorilla (100%), Gibbon (100%), Marmoset (100%).

Specificity

Human WNT10A. BLAST analysis of the peptide immunogen showed no homology with other human proteins, except PTPRD (44%).

Clonality

Polyclonal

Host

Rabbit

Isotype

IgG

Description

Product can be stored undiluted at 4C for up to 1 month.

Scientific Data Images for Wnt-10a Antibody - BSA Free

Immunohistochemistry-Paraffin: Wnt-10a Antibody - BSA Free [NB100-59026]

Immunohistochemistry-Paraffin: Wnt-10a Antibody - BSA Free [NB100-59026]

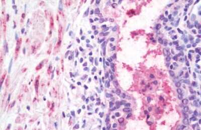
Immunohistochemistry-Paraffin: Wnt-10a Antibody - BSA Free [NB100-59026] - Immunohistochemical analysis of human melanoma in lymph node.
Immunohistochemistry-Paraffin: Wnt-10a Antibody - BSA Free [NB100-59026]

Immunohistochemistry-Paraffin: Wnt-10a Antibody - BSA Free [NB100-59026]

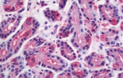
Immunohistochemistry-Paraffin: Wnt-10a Antibody - BSA Free [NB100-59026] - Analysis of anti-WNT10A antibody with human pancreatic islet at concentration 10 ug/ml.
Immunohistochemistry-Paraffin: Wnt-10a Antibody - BSA Free [NB100-59026]

Immunohistochemistry-Paraffin: Wnt-10a Antibody - BSA Free [NB100-59026]

Immunohistochemistry-Paraffin: Wnt-10a Antibody - BSA Free [NB100-59026] - Immunohistochemical analysis of human prostate.

Applications for Wnt-10a Antibody - BSA Free

Application
Recommended Usage

Immunohistochemistry-Paraffin

10 ug/ml
Application Notes
Use in Immunohistochemistry reported in scientific literature (PMID: 20195877)..

Formulation, Preparation, and Storage

Purification

Immunogen affinity purified

Formulation

PBS

Format

BSA Free

Preservative

0.1% Sodium Azide

Concentration

1.0 mg/ml

Shipping

The product is shipped with polar packs. Upon receipt, store it immediately at the temperature recommended below.

Stability & Storage

Keep as concentrated solution. Aliquot and store at -20C or below. Avoid multiple freeze-thaw cycles.

Background: Wnt-10a

The WNT gene family consists of structurally related genes which encode secreted signaling proteins. These proteins have been implicated in oncogenesis and in several developmental processes, including regulation of cell fate and patterning during embryogenesis. This gene is a member of the WNT gene family. It is strongly expressed in the cell lines of promyelocytic leukemia and Burkitt's lymphoma. In addition, it and another family member, the WNT6 gene, are strongly coexpressed in colorectal cancer cell lines. The gene over expression may play key roles in carcinogenesis through activation of the WNT-beta-catenin-TCF signaling pathway. This gene and the WNT6 gene are clustered in the chromosome 2q35 region.

Long Name

Wingless-type MMTV Integration Site Family Member 10A

Alternate Names

Wnt10a

Entrez Gene IDs

80326 (Human)

Gene Symbol

WNT10A

UniProt

Additional Wnt-10a Products

Product Documents for Wnt-10a Antibody - BSA Free

Certificate of Analysis

To download a Certificate of Analysis, please enter a lot number in the search box below.

Product Specific Notices for Wnt-10a Antibody - BSA Free

This product is for research use only and is not approved for use in humans or in clinical diagnosis. Primary Antibodies are guaranteed for 1 year from date of receipt.

Loading...
Loading...
Loading...
Loading...