WDR1 Antibody (JE64-32)
Novus Biologicals, part of Bio-Techne | Catalog # NBP3-33099
Recombinant Monoclonal Antibody
Key Product Details
Species Reactivity
Human
Applications
Immunohistochemistry, Immunohistochemistry-Paraffin, Western Blot
Label
Unconjugated
Antibody Source
Recombinant Monoclonal Rabbit IgG Clone # JE64-32 expressed in HEK293
Concentration
1 mg/ml
Product Specifications
Immunogen
Synthetic peptide within human WDR1 aa 301-350/606. (Uniprot: O75083)
Localization
Cytoskeleton, Cytoplasm, podosome, Cell junction.
Clonality
Monoclonal
Host
Rabbit
Isotype
IgG
Theoretical MW
66 kDa.
Disclaimer note: The observed molecular weight of the protein may vary from the listed predicted molecular weight due to post translational modifications, post translation cleavages, relative charges, and other experimental factors.
Disclaimer note: The observed molecular weight of the protein may vary from the listed predicted molecular weight due to post translational modifications, post translation cleavages, relative charges, and other experimental factors.
Description
Novus Biologicals Rabbit WDR1 Antibody (JE64-32) (NBP3-33099) is a recombinant monoclonal antibody validated for use in IHC and WB. All Novus Biologicals antibodies are covered by our 100% guarantee.
Scientific Data Images for WDR1 Antibody (JE64-32)
Western Blot: WDR1 Antibody (JE64-32) [NBP3-33099]
Western Blot: WDR1 Antibody (JE64-32) [NBP3-33099] - Western blot analysis of WDR1 on different lysates with Rabbit anti-WDR1 antibody at 1/1,000 dilution.Lane 1: Jurkat cell lysate
Lane 2: Raji cell lysate
Lane 3: 293T cell lysate
Lane 4: HeLa cell lysate
Lysates/proteins at 10 ug/Lane.
Predicted band size: 66 kDa
Observed band size: 75 kDa
Exposure time: 1 minutes;
8 % SDS-PAGE gel.
Proteins were transferred to a PVDF membrane and blocked with 5% NFDM/TBST for 1 hour at room temperature. The primary antibody WDR1 at 1/1,000 dilution was used in 5% NFDM/TBST at room temperature for 2 hours. Goat Anti-Rabbit IgG - HRP Secondary Antibody at 1:300,000 dilution was used for 1 hour at room temperature.
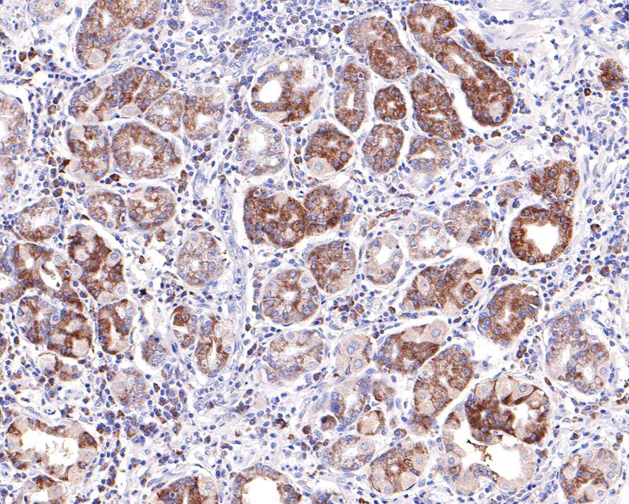
Immunohistochemistry: WDR1 Antibody (JE64-32) [NBP3-33099]
Immunohistochemistry: WDR1 Antibody (JE64-32) [NBP3-33099] - Immunohistochemical analysis of paraffin-embedded human gastric tissue with Rabbit anti-WDR1 antibody at 1/400 dilution.The section was pre-treated using heat mediated antigen retrieval with Tris-EDTA buffer (pH 9.0) for 20 minutes. The tissues were blocked in 1% BSA for 20 minutes at room temperature, washed with ddH2O and PBS, and then probed with the primary antibody WDR1 at 1/400 dilution for 1 hour at room temperature. The detection was performed using an HRP conjugated compact polymer system. DAB was used as the chromogen. Tissues were counterstained with hematoxylin and mounted with DPX.
Applications for WDR1 Antibody (JE64-32)
Application
Recommended Usage
Immunohistochemistry-Paraffin
1:100-1:400
Western Blot
1:1000
Formulation, Preparation, and Storage
Purification
Protein A purified
Formulation
1*TBS (pH7.4), 0.05% BSA and 40% Glycerol
Preservative
0.05% Sodium Azide
Concentration
1 mg/ml
Shipping
The product is shipped with polar packs. Upon receipt, store it immediately at the temperature recommended below.
Stability & Storage
Store at 4C short term. Aliquot and store at -20C long term. Avoid freeze-thaw cycles.
Background: WDR1
Alternate Names
Actin-interacting protein 1, AIP1, NORI-1, WD repeat domain 1, WD repeat-containing protein 1
Gene Symbol
WDR1
Additional WDR1 Products
Product Documents for WDR1 Antibody (JE64-32)
Product Specific Notices for WDR1 Antibody (JE64-32)
This product is for research use only and is not approved for use in humans or in clinical diagnosis. Primary Antibodies are guaranteed for 1 year from date of receipt.
Loading...
Loading...
Loading...
Loading...