Skip to main content

WBP2 Antibody (3B1) - Azide and BSA Free

Novus Biologicals, part of Bio-Techne | Catalog # H00023558-M02

Novus Biologicals, part of Bio-Techne
Catalog #
Availability
Size / Price
Qty
Loading...
H00023558-M02

Key Product Details

Species Reactivity

Human

Applications

Western Blot, ELISA, Immunocytochemistry/ Immunofluorescence, Immunoprecipitation

Label

Unconjugated

Antibody Source

Monoclonal Mouse IgG2a Kappa Clone # 3B1

Format

Azide and BSA Free

Concentration

Concentrations vary lot to lot. See vial label for concentration. If unlisted please contact technical services.

Product Specifications

Immunogen

WBP2 (AAH10616, 1 a.a. ~ 261 a.a) full-length recombinant protein with GST tag. MW of the GST tag alone is 26 KDa. MALNKNHSEGGGVIVNNTESILMSYDHVELTFNDMKNVPEAFKGTKKGTVYLTPYRVIFLSKGKDAMQSFMMPFYLMKDCEIKQPVFGANYIKGTVKAEAGGGWEGSASYKLTFTAGGAIEFGQRMLQVASQASRGEVPSGAYGYSYMPSGAYVYPPPVANGMYPCPPGYPYPPPPPEFYPGPPMMDGAMGYVQPPPPPYPGPMEPPVSGPDVPSTPAAEAKAAEAAASAYYNPGNPHNVYMPTSQPPPPPYYPPEDKKTQ

Specificity

WBP2 - WW domain binding protein 2 (3B1)

Clonality

Monoclonal

Host

Mouse

Isotype

IgG2a Kappa

Description

Novus Biologicals Mouse WBP2 Antibody (3B1) - Azide and BSA Free (H00023558-M02) is a monoclonal antibody validated for use in WB, ELISA, ICC/IF and IP. Anti-WBP2 Antibody: Cited in 2 publications. All Novus Biologicals antibodies are covered by our 100% guarantee.

Scientific Data Images for WBP2 Antibody (3B1) - Azide and BSA Free

Western Blot: WBP2 Antibody (3B1) [H00023558-M02]

Western Blot: WBP2 Antibody (3B1) [H00023558-M02]

Western Blot: WBP2 Antibody (3B1) [H00023558-M02] - Analysis of WBP2 expression in transfected 293T cell line by WBP2 monoclonal antibody (M02), clone 3B1.Lane 1: WBP2 transfected lysate (Predicted MW: 28.1 KDa).Lane 2: Non-transfected lysate.
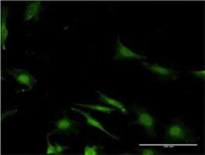
Immunocytochemistry/ Immunofluorescence: WBP2 Antibody (3B1) [H00023558-M02]

Immunocytochemistry/ Immunofluorescence: WBP2 Antibody (3B1) [H00023558-M02]

Immunocytochemistry/Immunofluorescence: WBP2 Antibody (3B1) [H00023558-M02] - Analysis of monoclonal antibody to WBP2 on HeLa cell . Antibody concentration 10 ug/ml.

Applications for WBP2 Antibody (3B1) - Azide and BSA Free

Application
Recommended Usage

Western Blot

1:500
Application Notes
Antibody Reactive Against Recombinant Protein with GST tag on ELISA and Western Blot. GST tag alone is used as a negative control.

Formulation, Preparation, and Storage

Purification

IgG purified

Formulation

In 1x PBS, pH 7.4

Format

Azide and BSA Free

Preservative

No Preservative

Concentration

Concentrations vary lot to lot. See vial label for concentration. If unlisted please contact technical services.

Shipping

The product is shipped with polar packs. Upon receipt, store it immediately at the temperature recommended below.

Stability & Storage

Aliquot and store at -20C or -80C. Avoid freeze-thaw cycles.

Background: WBP2

The globular WW domain is composed of 38 to 40 semiconserved amino acids shared by proteins of diverse functions including structural, regulatory, and signaling proteins. The domain is involved in mediating protein-protein interactions through the binding of polyproline ligands. This gene encodes a WW domain binding protein, which binds to the WW domain of Yes kinase-associated protein by its PY motifs. The function of this protein has not been determined. [provided by RefSeq]

Alternate Names

WBP-2MGC18269, WW domain binding protein 2, WW domain-binding protein 2

Entrez Gene IDs

23558 (Human)

Gene Symbol

WBP2

Additional WBP2 Products

Product Documents for WBP2 Antibody (3B1) - Azide and BSA Free

Certificate of Analysis

To download a Certificate of Analysis, please enter a lot number in the search box below.

Product Specific Notices for WBP2 Antibody (3B1) - Azide and BSA Free

This product is produced by and distributed for Abnova, a company based in Taiwan.

This product is for research use only and is not approved for use in humans or in clinical diagnosis. Primary Antibodies are guaranteed for 1 year from date of receipt.

Loading...
Loading...
Loading...
Loading...