Skip to main content

VPS25 Antibody - BSA Free

Novus Biologicals, part of Bio-Techne | Catalog # NBP2-33641

Novus Biologicals, part of Bio-Techne
Catalog #
Availability
Size / Price
Qty
Loading...
NBP2-33641
NBP2-33641-25ul

Key Product Details

Species Reactivity

Validated:

Human

Predicted:

Mouse (100%), Rat (100%). Backed by our 100% Guarantee.

Applications

Immunohistochemistry, Immunohistochemistry-Paraffin, Immunocytochemistry/ Immunofluorescence

Label

Unconjugated

Antibody Source

Polyclonal Rabbit IgG

Format

BSA Free

Concentration

Concentrations vary lot to lot. See vial label for concentration. If unlisted please contact technical services.

Product Specifications

Immunogen

This antibody was developed against a recombinant protein corresponding to amino acids: AMSFEWPWQYRFPPFFTLQPNVDTRQKQLAAWCSLVLSFCRLHKQSSMTVMEAQESPLFNNVKLQRKLPVESIQIVL

Clonality

Polyclonal

Host

Rabbit

Isotype

IgG

Description

Novus Biologicals Rabbit VPS25 Antibody - BSA Free (NBP2-33641) is a polyclonal antibody validated for use in IHC and ICC/IF. All Novus Biologicals antibodies are covered by our 100% guarantee.

Scientific Data Images for VPS25 Antibody - BSA Free

Immunocytochemistry/ Immunofluorescence: VPS25 Antibody [NBP2-33641]

Immunocytochemistry/ Immunofluorescence: VPS25 Antibody [NBP2-33641]

Immunocytochemistry/Immunofluorescence: VPS25 Antibody [NBP2-33641] - Staining of human cell line U-2 OS shows localization to centrosome.
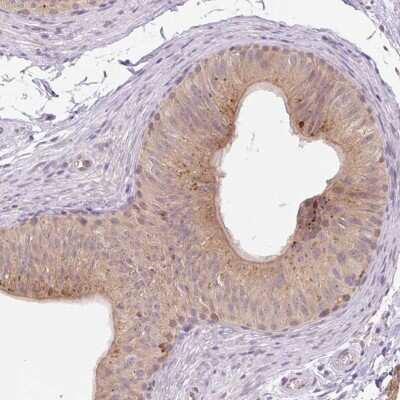
Immunohistochemistry-Paraffin: VPS25 Antibody [NBP2-33641]

Immunohistochemistry-Paraffin: VPS25 Antibody [NBP2-33641]

Immunohistochemistry-Paraffin: VPS25 Antibody [NBP2-33641] - Staining of human epididymis shows cytoplasmic positivity in glandular cells.

Applications for VPS25 Antibody - BSA Free

Application
Recommended Usage

Immunocytochemistry/ Immunofluorescence

0.25-2 ug/ml

Immunohistochemistry

1:20 - 1:50

Immunohistochemistry-Paraffin

1:20 - 1:50
Application Notes
For IHC-Paraffin, HIER pH 6 retrieval is recommended. Immunocytochemistry/Immunofluorescence Fixation Permeabilization: Use PFA/Triton X-100.

Formulation, Preparation, and Storage

Purification

Affinity purified

Formulation

PBS (pH 7.2) and 40% Glycerol

Format

BSA Free

Preservative

0.02% Sodium Azide

Concentration

Concentrations vary lot to lot. See vial label for concentration. If unlisted please contact technical services.

Shipping

The product is shipped with polar packs. Upon receipt, store it immediately at the temperature recommended below.

Stability & Storage

Store at 4C short term. Aliquot and store at -20C long term. Avoid freeze-thaw cycles.

Background: VPS25

"VPS25 is a component of the ESCRT-II complex (endosomal sorting complex required for transport II), which is required for multivesicular body (MVB) formation and sorting of endosomal cargo proteins into MVBs. The MVB pathway mediates delivery of transmembrane proteins into the lumen of the lysosome for degradation. The ESCRT-II complex is probably involved in the recruitment of the ESCRT-III complex. The ESCRT-II complex may also play a role in transcription regulation, possibly via its interaction with ELL. The ESCRT-II complex may be involved in facilitating the budding of certain RNA viruses

Alternate Names

Dermal papilla-derived protein 9, DERP9, DERP9hVps25, EAP20, EAP20FAP20, ELL-associated protein of 20 kDa, ESCRT-II complex subunit VPS25, FAP20, MGC10540, vacuolar protein sorting 25 (yeast), vacuolar protein sorting 25 homolog (S. cerevisiae), vacuolar protein-sorting-associated protein 25

Gene Symbol

VPS25

UniProt

Additional VPS25 Products

Product Documents for VPS25 Antibody - BSA Free

Certificate of Analysis

To download a Certificate of Analysis, please enter a lot number in the search box below.

Product Specific Notices for VPS25 Antibody - BSA Free

This product is for research use only and is not approved for use in humans or in clinical diagnosis. Primary Antibodies are guaranteed for 1 year from date of receipt.

Loading...
Loading...
Loading...
Loading...