Skip to main content

VPS25 Antibody

Novus Biologicals, part of Bio-Techne | Catalog # NB100-2468

Novus Biologicals, part of Bio-Techne
Catalog #
Availability
Size / Price
Qty
Loading...
NB100-2468

Key Product Details

Species Reactivity

Validated:

Rat

Predicted:

Canine (100%), Mouse (100%). Backed by our 100% Guarantee.

Applications

Immunohistochemistry, Immunohistochemistry-Paraffin, Western Blot, Peptide ELISA

Label

Unconjugated

Antibody Source

Polyclonal Goat IgG

Concentration

0.5 mg/ml

Product Specifications

Immunogen

Peptide with sequence C-QPNVDTRQKQ corresponding to internal region according to NP_115729.1.

Clonality

Polyclonal

Host

Goat

Isotype

IgG

Description

Novus Biologicals Goat VPS25 Antibody (NB100-2468) is a polyclonal antibody validated for use in IHC, WB and ELISA. Anti-VPS25 Antibody: Cited in 1 publication. All Novus Biologicals antibodies are covered by our 100% guarantee.

Scientific Data Images for VPS25 Antibody

Western Blot: VPS25 Antibody [NB100-2468]

Western Blot: VPS25 Antibody [NB100-2468]

Western Blot: VPS25 Antibody [NB100-2468] - Staining of Rat Kidney lysate (35 ug protein in RIPA buffer) with antibody at 0.5 ug/mL. Primary incubation was 1 hour. Detected by chemiluminescence.
Immunohistochemistry-Paraffin: VPS25 Antibody [NB100-2468]

Immunohistochemistry-Paraffin: VPS25 Antibody [NB100-2468]

Immunohistochemistry-Paraffin: VPS25 Antibody [NB100-2468] - Negative Control showing staining of paraffin embedded Human Kidney, with no primary antibody.
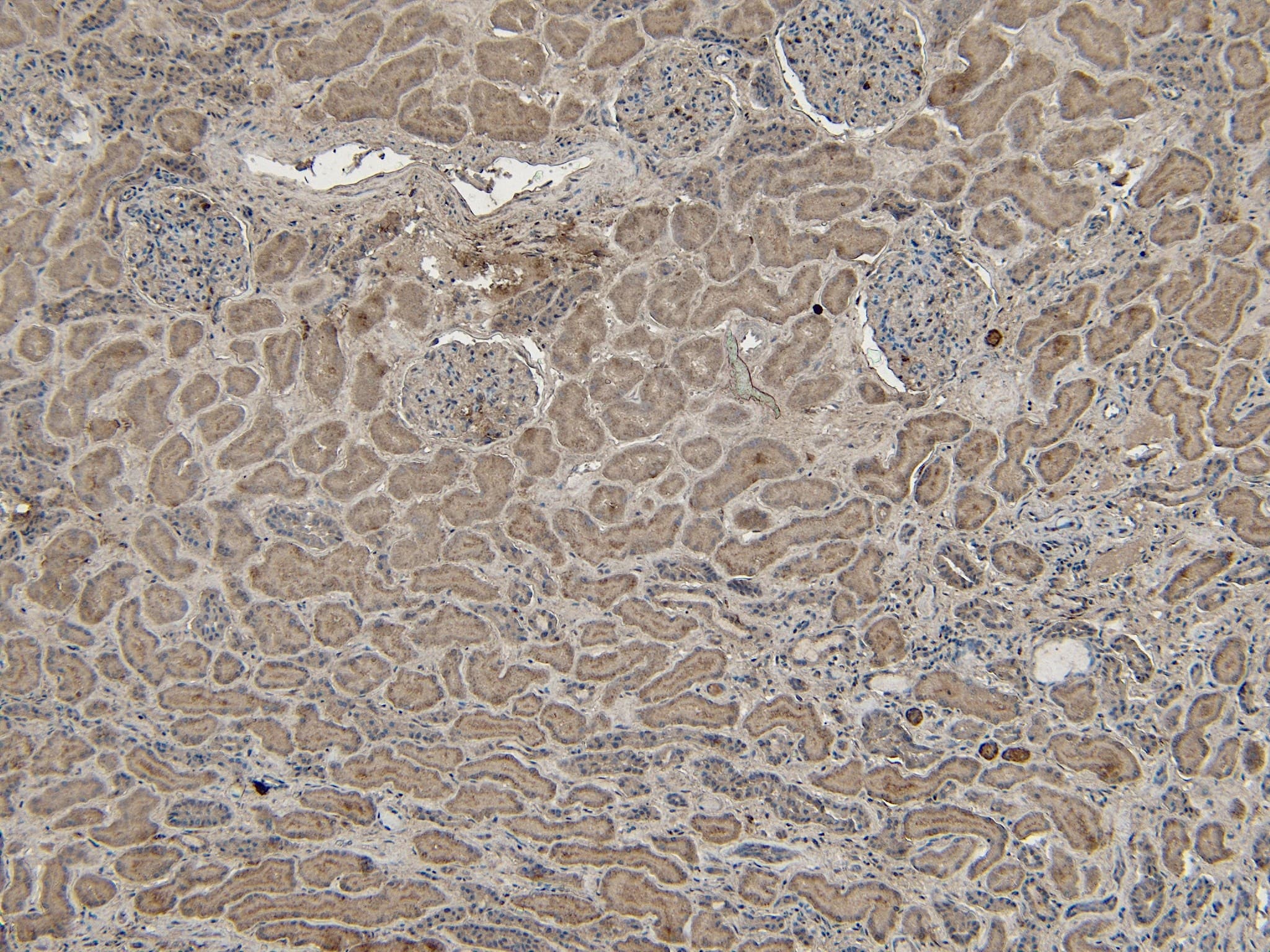
Immunohistochemistry-Paraffin: VPS25 Antibody [NB100-2468]

Immunohistochemistry-Paraffin: VPS25 Antibody [NB100-2468]

Immunohistochemistry-Paraffin: VPS25 Antibody [NB100-2468] - (6ug/ml) staining of paraffin embedded Human Kidney. Heat induced antigen retrieval with citrate buffer pH 6, HRP-staining.

Applications for VPS25 Antibody

Application
Recommended Usage

Immunohistochemistry-Paraffin

6-8 ug/ml

Peptide ELISA

Detection limit 1:32000

Western Blot

0.3 - 1ug/mL
Application Notes
Western blot: Approx. 22kDa band observed in Rat Kidney lysates (calculated MW of 20.7kDa according to human NP_115729.1).
IHC: In paraffin embedded human kidney, shows granular cytoplasmic staining of endothelial cells. Data obtained from the previous batch (different goat).

Formulation, Preparation, and Storage

Purification

Immunogen affinity purified

Formulation

Tris saline (20 mM Tris pH 7.3, 150 mM NaCl), 0.5% BSA

Preservative

0.02% Sodium Azide

Concentration

0.5 mg/ml

Shipping

The product is shipped with polar packs. Upon receipt, store it immediately at the temperature recommended below.

Stability & Storage

Store at -20C. Avoid freeze-thaw cycles.

Background: VPS25

Gene ID(s): 84313 (human)

Alternate Names

Dermal papilla-derived protein 9, DERP9, DERP9hVps25, EAP20, EAP20FAP20, ELL-associated protein of 20 kDa, ESCRT-II complex subunit VPS25, FAP20, MGC10540, vacuolar protein sorting 25 (yeast), vacuolar protein sorting 25 homolog (S. cerevisiae), vacuolar protein-sorting-associated protein 25

Entrez Gene IDs

84313 (Human)

Gene Symbol

VPS25

Additional VPS25 Products

Product Documents for VPS25 Antibody

Certificate of Analysis

To download a Certificate of Analysis, please enter a lot number in the search box below.

Product Specific Notices for VPS25 Antibody

This product is for research use only and is not approved for use in humans or in clinical diagnosis. Primary Antibodies are guaranteed for 1 year from date of receipt.

Loading...
Loading...
Loading...
Loading...