Skip to main content

VMAT1/SLC18A1 Antibody - BSA Free

Novus Biologicals, part of Bio-Techne | Catalog # NBP2-55798

Novus Biologicals, part of Bio-Techne
Catalog #
Availability
Size / Price
Qty
Loading...
NBP2-55798
NBP2-55798-25ul

Key Product Details

Validated by

Orthogonal Validation

Species Reactivity

Human

Applications

Immunohistochemistry, Immunohistochemistry-Paraffin

Label

Unconjugated

Antibody Source

Polyclonal Rabbit IgG

Format

BSA Free

Concentration

Concentrations vary lot to lot. See vial label for concentration. If unlisted please contact technical services.

Product Specifications

Immunogen

This antibody was developed against a recombinant protein corresponding to the following amino acid sequence: KEEKLAILSQDCPMETRMYATQKPTKEFPLGEDSDEEPDHEE

Clonality

Polyclonal

Host

Rabbit

Isotype

IgG

Description

Novus Biologicals Rabbit VMAT1/SLC18A1 Antibody - BSA Free (NBP2-55798) is a polyclonal antibody validated for use in IHC. All Novus Biologicals antibodies are covered by our 100% guarantee.

Scientific Data Images for VMAT1/SLC18A1 Antibody - BSA Free

Immunohistochemistry-Paraffin: VMAT1/SLC18A1 Antibody [NBP2-55798]

Immunohistochemistry-Paraffin: VMAT1/SLC18A1 Antibody [NBP2-55798]

Immunohistochemistry-Paraffin: VMAT1/SLC18A1 Antibody [NBP2-55798] - Staining of human adrenal gland shows moderate cytoplasmic positivity in medullary cells.
Immunohistochemistry-Paraffin: VMAT1/SLC18A1 Antibody [NBP2-55798]

Immunohistochemistry-Paraffin: VMAT1/SLC18A1 Antibody [NBP2-55798]

Immunohistochemistry-Paraffin: VMAT1/SLC18A1 Antibody [NBP2-55798] - Staining of human small intestine shows strong cytoplasmic positivity in neuroendocrine cells.
Immunohistochemistry-Paraffin: VMAT1/SLC18A1 Antibody [NBP2-55798]

Immunohistochemistry-Paraffin: VMAT1/SLC18A1 Antibody [NBP2-55798]

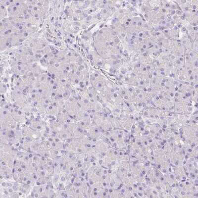
Immunohistochemistry-Paraffin: VMAT1/SLC18A1 Antibody [NBP2-55798] - Staining of human pancreas shows no positivity in exocrine glandular cells as expected.

Applications for VMAT1/SLC18A1 Antibody - BSA Free

Application
Recommended Usage

Immunohistochemistry

1:2500 - 1:5000

Immunohistochemistry-Paraffin

1:2500 - 1:5000
Application Notes
For IHC-Paraffin, HIER pH 6 retrieval is recommended.

Formulation, Preparation, and Storage

Purification

Affinity purified

Formulation

PBS (pH 7.2) and 40% Glycerol

Format

BSA Free

Preservative

0.02% Sodium Azide

Concentration

Concentrations vary lot to lot. See vial label for concentration. If unlisted please contact technical services.

Shipping

The product is shipped with polar packs. Upon receipt, store it immediately at the temperature recommended below.

Stability & Storage

Store at 4C short term. Aliquot and store at -20C long term. Avoid freeze-thaw cycles.

Background: VMAT1/SLC18A1

The vesicular monoamine transporter acts to accumulate cytosolic monoamines into vesicles, using the proton gradient maintained across the vesicular membrane. Its proper function is essential to the correct activity of the monoaminergic systems that have been implicated in several human neuropsychiatric disorders. The transporter is a site of action of important drugs, including reserpine and tetrabenazine (Peter et al., 1993 [PubMed 7905859]). See also SLC18A2 (MIM 193001).[supplied by OMIM]

Long Name

Vesicular Monoamine Transporter 1/Solute Carrier Family 18, Member 1

Alternate Names

CGAT, SLC18A1, VAT1

Gene Symbol

SLC18A1

Additional VMAT1/SLC18A1 Products

Product Documents for VMAT1/SLC18A1 Antibody - BSA Free

Certificate of Analysis

To download a Certificate of Analysis, please enter a lot number in the search box below.

Product Specific Notices for VMAT1/SLC18A1 Antibody - BSA Free

This product is for research use only and is not approved for use in humans or in clinical diagnosis. Primary Antibodies are guaranteed for 1 year from date of receipt.

Loading...
Loading...
Loading...
Loading...