Skip to main content

VEGF Antibody (VEGFA/7758R)

Novus Biologicals, part of Bio-Techne | Catalog # NBP3-20681

Recombinant Monoclonal Antibody
Novus Biologicals, part of Bio-Techne
Catalog #
Availability
Size / Price
Qty
Loading...
NBP3-20681-100ug
NBP3-20681-20ug

Key Product Details

Species Reactivity

Human

Applications

Immunohistochemistry-Paraffin

Label

Unconjugated

Antibody Source

Recombinant Monoclonal Rabbit IgG1 kappa Clone # VEGFA/7758R

Concentration

0.2 mg/ml

Product Specifications

Immunogen

Recombinant fragment (around aa1-200) of human VEGF protein (exact sequence is proprietary)

Localization

Cytoplasm. Cell surface. Extracellular (secreted).

Specificity

This monoclonal antibody is highly specific to VEGF, which is a homodimeric, disulfide-linked glycoprotein with a close homology to platelet derived growth factor (PDGF) There are multiple isoforms of VEGF containing 206-, 189-, 165-, and 121-amino acid residues

Clonality

Monoclonal

Host

Rabbit

Isotype

IgG1 kappa

Description

Positive Controls: Tumor cells in astrocytomas, breast or ovarian carcinomas.

Antibody with azide - store at 2 to 8C. Antibody without azide - store at -20 to -80C. Non-hazardous. No MSDS required.

Scientific Data Images for VEGF Antibody (VEGFA/7758R)

VEGF Antibody (VEGFA/7758R)

VEGF Antibody (VEGFA/7758R)

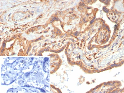
Formalin-fixed, paraffin-embedded human placenta stained with VEGF antibody (VEGFA/7758R). HIER: Tris/EDTA, pH9.0, 45min. Secondary: HRP-polymer, 30min. DAB, 5min.
VEGF Antibody (VEGFA/7758R)

VEGF Antibody (VEGFA/7758R)

Formalin-fixed, paraffin-embedded human placenta stained with VEGF antibody (VEGFA/7758R). Inset: PBS instead of primary antibody; secondary only negative control.

Applications for VEGF Antibody (VEGFA/7758R)

Application
Recommended Usage

Immunohistochemistry-Paraffin

1-2 ug/ml
Application Notes
Immunohistochemistry (Formalin-fixed): 1-2ug/ml for 30 minutes. at RT. Staining of formalin-fixed tissues requires heating tissue sections in 10mM Tris with 1mM EDTA, pH 9.0, for 45 min at 95C followed by cooling at RT for 20 minutes.

Optimal dilution for a specific application should be determined.

Formulation, Preparation, and Storage

Purification

Protein A or G purified

Formulation

10mM PBS with 0.05% BSA

Preservative

0.05% Sodium Azide

Concentration

0.2 mg/ml

Shipping

The product is shipped with polar packs. Upon receipt, store it immediately at the temperature recommended below.

Stability & Storage

Store at 4C. Do not freeze.

Background: VEGF

Vascular endothelial growth factor (VEGF), also called VEGF-A and vascular permeability factor (VPF), is a secreted homodimeric glycoprotein belonging to the VEGF family with a role in stimulating angiogenesis and vasculogenesis (1,2). More specifically, VEGF-A secretion from most cell types contributes to promoting endothelial cell proliferation and migration, inhibiting apoptosis, increasing vascular permeability, and wound healing (1). The VEGF family consists of several members including VEGF-A, VEGF-B, VEGF-C, VEGF-D, VEGF-E, VEGF-F, and placenta growth factor (PLGF) (1-4). As a result of alternative splicing of the eight exon VEGFA gene, there are several VEGF-A protein isoforms of 121, 145, 165, 183, 189, and 206 amino acids (aa) in length, with VEGF121 and VEGF165 being the two most expressed isoforms (1,5). Full length VEGF-A monomer has a 26 aa signal sequence plus a 206 aa (VEGF206) sequence, with a theoretic molecular weight (MW) of 27 kDa, containing VEGF receptor 1 (VEGFR1) and VEGR2 binding sites and heparin-binding domains (1-3,5,6). VEGF121 lacks heparin affinity and binds the receptor tyrosine kinases (RTKs) VEGFR1 and VEGFR2, whereas VEGF165 has moderate affinity for heparin and, in addition to being a ligand for VEGFR1 and VEGFR2, can also bind the co-receptors neuropilin 1 (NRP1) and NRP2 (1,5). Hypoxia and hypoxia-related genes such as HIF-1, EGF, and PDGF are major regulators angiogenesis and VEGF expression (1,3). VEGF signaling initiated by ligand binding to its receptors results in activation of different pathways including PI3K and MAPK and ultimately guides endothelial cell proliferation, migration, and survival (1,3). While VEGF plays an important role in promoting normal angiogenesis and blood vessel formation, its expression is often upregulated in tumors and other angiogenesis-related pathologies like osteroarthritis (OA) (1-5,7). Given its function, VEGF and its receptors have become a therapeutic target for treating cancer and blocking angiogenesis (4,5,7). A recombinant humanized monoclonal anti-VEGFA antibody called bevacizumab (Avastin) was first approved by the FDA in 2004 for the treatment of a number of cancers (1-3,5). Cancer patients may experience resistance to anti-VEGF antibodies and, as such, clinical studies are exploring combination treatment options with chemotherapies and immune-checkpoint inhibitors (3,5).

References

1. Melincovici CS, Bosca AB, susman S, et al. Vascular endothelial growth factor (VEGF) - key factor in normal and pathological angiogenesis. Rom J Morphol Embryol. 2018;59(2):455-467.

2. Shaik F, Cuthbert GA, Homer-Vanniasinkam S, Muench SP, Ponnambalam S, Harrison MA. Structural Basis for Vascular Endothelial Growth Factor Receptor Activation and Implications for Disease Therapy. Biomolecules. 2020;10(12):1673. https://doi.org/10.3390/biom10121673

3. Apte RS, Chen DS, Ferrara N. VEGF in Signaling and Disease: Beyond Discovery and Development. Cell. 2019;176(6):1248-1264. https://doi.org/10.1016/j.cell.2019.01.021

4. Matsumoto K, Ema M. Roles of VEGF-A signalling in development, regeneration, and tumours. J Biochem. 2014;156(1):1-10. https://doi.org/10.1093/jb/mvu031

5. Itatani Y, Kawada K, Yamamoto T, Sakai Y. Resistance to Anti-Angiogenic Therapy in Cancer-Alterations to Anti-VEGF Pathway. Int J Mol Sci. 2018;19(4):1232. Published 2018 Apr 18. doi:10.3390/ijms19041232

6. Uniprot (P15692)

7. Hamilton JL, Nagao M, Levine BR, Chen D, Olsen BR, Im HJ. Targeting VEGF and Its Receptors for the Treatment of Osteoarthritis and Associated Pain. J Bone Miner Res. 2016;31(5):911-924. https://doi.org/10.1002/jbmr.2828

Long Name

Vascular Endothelial Growth Factor

Alternate Names

MVCD1, VAS, Vasculotropin, VEGF-A, VEGFA, VPF

Gene Symbol

VEGFA

Additional VEGF Products

Product Documents for VEGF Antibody (VEGFA/7758R)

Certificate of Analysis

To download a Certificate of Analysis, please enter a lot number in the search box below.

Product Specific Notices for VEGF Antibody (VEGFA/7758R)

This product is for research use only and is not approved for use in humans or in clinical diagnosis. Primary Antibodies are guaranteed for 1 year from date of receipt.

Loading...
Loading...
Loading...
Loading...
Loading...