Skip to main content

VEGF 165 Antibody (RM391)

Novus Biologicals, part of Bio-Techne | Catalog # NBP3-18846

Recombinant Monoclonal Antibody
Novus Biologicals, part of Bio-Techne
Catalog #
Availability
Size / Price
Qty
Loading...
NBP3-18846

Key Product Details

Species Reactivity

Human

Applications

Immunohistochemistry, Western Blot

Label

Unconjugated

Antibody Source

Recombinant Monoclonal Rabbit IgG Clone # RM391 expressed in HEK293

Concentration

Please see the vial label for concentration. If unlisted please contact technical services.

Product Specifications

Immunogen

A peptide corresponding to Human VEGF 165 (Uniprot # P15692)

Clonality

Monoclonal

Host

Rabbit

Isotype

IgG

Scientific Data Images for VEGF 165 Antibody (RM391)

VEGF 165 Antibody (RM391)

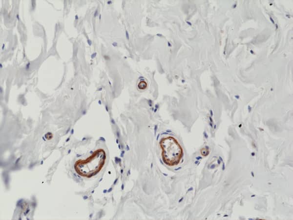
Immunohistochemistry: VEGF 165 Antibody (RM391)[NBP3-18846]

Immunohistochemistry: VEGF 165 Antibody (RM391)[NBP3-18846]Immunohistochemical staining of formalin fixed and paraffin embedded human breast cancer tissue section using anti-VEGF rabbit monoclonal antibody (Clone RM391) at a 1:100 dilution.
VEGF 165 Antibody (RM391)

Immunohistochemistry-Paraffin: VEGF 165 Antibody (RM391) [NBP3-18846] -

Immunohistochemistry-Paraffin: VEGF 165 Antibody (RM391) [NBP3-18846] - Immunohistochemical staining of formalin fixed and paraffin embedded human breast tissue section using Clone RM391 at a 1:200 dilution.
VEGF 165 Antibody (RM391)

Western Blot: VEGF 165 Antibody (RM391) [NBP3-18846] -

Western Blot: VEGF 165 Antibody (RM391) [NBP3-18846] - Western Blot of human VEGF recombinant protein produced in HEK293 cells using Clone RM391 at a 1:200 dilution.

Applications for VEGF 165 Antibody (RM391)

Application
Recommended Usage

Immunohistochemistry

1:100-1:200

Western Blot

1:100-1:200

Formulation, Preparation, and Storage

Purification

Protein A purified

Formulation

50% Glycerol/PBS, 1% BSA

Preservative

0.09% Sodium Azide

Concentration

Please see the vial label for concentration. If unlisted please contact technical services.

Shipping

The product is shipped with polar packs. Upon receipt, store it immediately at the temperature recommended below.

Stability & Storage

Store at -20C.

Background: VEGF 165

VEGF (Vascular endothelial growth factor) is the only growth factor that stimulates vascular permeability. It promotes endothelial proliferation and survival, angiogenesis, vasculognesis and inhibits apoptosis. VEGF mitogenic activity is specific for endothelial cell and that makes it distinct among other growth factors. VEGF is thought to be important in the pathophysiology of neuronal and other tumors, by functioning as a promter of angiogenesis for human gliomas. Human VEGF occurs in several molecular variants and the 165 form is the most common form in most tissues. Biological activities of VEGF are not species-specific and glycosylation is not required for biological activity.

Alternate Names

MVCD1, vascular endothelial growth factor A, Vascular permeability factor, VEGF-A, VEGFMGC70609, VPFvascular endothelial growth factor

Gene Symbol

VEGFA

Additional VEGF 165 Products

Product Documents for VEGF 165 Antibody (RM391)

Certificate of Analysis

To download a Certificate of Analysis, please enter a lot number in the search box below.

Product Specific Notices for VEGF 165 Antibody (RM391)

This product is for research use only and is not approved for use in humans or in clinical diagnosis. Primary Antibodies are guaranteed for 1 year from date of receipt.

Loading...
Loading...
Loading...
Loading...
Loading...