Skip to main content

VDAC1 Antibody - BSA Free

Novus Biologicals, part of Bio-Techne | Catalog # NBP3-35084

Novus Biologicals, part of Bio-Techne
Catalog #
Availability
Size / Price
Qty
Loading...
NBP3-35084-20ul
NBP3-35084-100ul

Key Product Details

Species Reactivity

Human, Mouse, Rat

Applications

Immunohistochemistry, Immunohistochemistry-Paraffin, Western Blot, ELISA

Label

Unconjugated

Antibody Source

Polyclonal Rabbit IgG

Format

BSA Free

Concentration

Please see the vial label for concentration. If unlisted please contact technical services.

Product Specifications

Immunogen

Recombinant fusion protein containing a sequence corresponding to amino acids 1-283 of human VDAC1 (NP_003365.1).

Sequence:
MAVPPTYADLGKSARDVFTKGYGFGLIKLDLKTKSENGLEFTSSGSANTETTKVTGSLETKYRWTEYGLTFTEKWNTDNTLGTEITVEDQLARGLKLTFDSSFSPNTGKKNAKIKTGYKREHINLGCDMDFDIAGPSIRGALVLGYEGWLAGYQMNFETAKSRVTQSNFAVGYKTDEFQLHTNVNDGTEFGGSIYQKVNKKLETAVNLAWTAGNSNTRFGIAAKYQIDPDACFSAKVNNSSLIGLGYTQTLKPGIKLTLSALLDGKNVNAGGHKLGLGLEFQA

Clonality

Polyclonal

Host

Rabbit

Isotype

IgG

Theoretical MW

31 kDa.
Disclaimer note: The observed molecular weight of the protein may vary from the listed predicted molecular weight due to post translational modifications, post translation cleavages, relative charges, and other experimental factors.

Description

Novus Biologicals Rabbit VDAC1 Antibody - BSA Free (NBP3-35084) is a polyclonal antibody validated for use in IHC, WB and ELISA. All Novus Biologicals antibodies are covered by our 100% guarantee.

Scientific Data Images for VDAC1 Antibody - BSA Free

VDAC1 Antibody

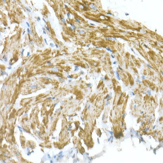
Immunohistochemistry: VDAC1 Antibody [NBP3-35084] -

Immunohistochemistry: VDAC1 Antibody [NBP3-35084] - Immunohistochemistry analysis of paraffin-embedded Rat liver using VDAC1 Rabbit pAb at dilution of 1:20 (40x lens). High pressure antigen retrieval performed with 0.01M Citrate Bufferr (pH 6.0) prior to IHC staining.
VDAC1 Antibody

Western Blot: VDAC1 Antibody [NBP3-35084] -

Western Blot: VDAC1 Antibody [NBP3-35084] - Western blot analysis of various lysates using VDAC1 Rabbit pAb at 1:400 dilution.
Secondary antibody: HRP-conjugated Goat anti-Rabbit IgG (H+L) at 1:10000 dilution.
Lysates/proteins: 25ug per lane.
Blocking buffer: 3% nonfat dry milk in TBST.
Detection: ECL Basic Kit.
Exposure time: 1s.
VDAC1 Antibody

Western Blot: VDAC1 Antibody [NBP3-35084] -

Western Blot: VDAC1 Antibody [NBP3-35084] - Western blot analysis of various lysates using VDAC1 Rabbit pAb at 1:400 dilution.
Secondary antibody: HRP-conjugated Goat anti-Rabbit IgG (H+L) at 1:10000 dilution.
Lysates/proteins: 25ug per lane.
Blocking buffer: 3% nonfat dry milk in TBST.
Detection: ECL Basic Kit.
Exposure time: 30s.

Applications for VDAC1 Antibody - BSA Free

Application
Recommended Usage

Immunohistochemistry-Paraffin

1:50 - 1:200

Western Blot

1:100 - 1:500

Formulation, Preparation, and Storage

Purification

Affinity purified

Formulation

PBS (pH 7.3), 50% glycerol

Format

BSA Free

Preservative

0.02% Sodium Azide

Concentration

Please see the vial label for concentration. If unlisted please contact technical services.

Shipping

The product is shipped with polar packs. Upon receipt, store it immediately at the temperature recommended below.

Stability & Storage

Store at -20C. Avoid freeze-thaw cycles.

Background: VDAC1

VDAC1 is an outer membrane mitochondrial protein. The VDAC proteins are thought to form aqueous channels, or pores, through which adenine nucleotides cross the outer mitochondrial membrane. VDACs have been implicated in the formation of the mitochondrial permeability transition pore complex in apoptotic cells. This complex, formed by VDAC, adenine nucleotide translocator (ANT), and cyclophilin D (CypD), is thought to allow the mitochondria to undergo metabolic uncoupling and irreversible morphologic changes that ultimately destroy the mitochondria during apoptosis. VDACs are highly expressed in heart, liver and skeletal muscle, where concentrations of mitochondria are at their highest.

Long Name

Voltage-dependent anion-selective channel protein 1

Alternate Names

hVDAC1, Plasmalemmal porin, Porin 31HL, Porin 31HM, VDAC, VDAC-1

Gene Symbol

VDAC1

Additional VDAC1 Products

Product Documents for VDAC1 Antibody - BSA Free

Certificate of Analysis

To download a Certificate of Analysis, please enter a lot number in the search box below.

Product Specific Notices for VDAC1 Antibody - BSA Free

This product is for research use only and is not approved for use in humans or in clinical diagnosis. Primary Antibodies are guaranteed for 1 year from date of receipt.

Loading...
Loading...
Loading...
Loading...