Skip to main content

VDAC1 Antibody (C1) - BSA Free

Novus Biologicals, part of Bio-Techne | Catalog # NBP3-42163

Novus Biologicals, part of Bio-Techne
Catalog #
Availability
Size / Price
Qty
Loading...
NBP3-42163

Key Product Details

Species Reactivity

Human

Applications

Immunohistochemistry, Immunohistochemistry-Paraffin, Western Blot

Label

Unconjugated

Antibody Source

Monoclonal Mouse IgG2b Kappa Clone # C1

Format

BSA Free

Concentration

1 mg/ml

Product Specifications

Immunogen

Immunized with recombinant Human VDAC1 (Uniprot#: P21796; Ala2-Ala283 (Uniprot#: P21796)

Clonality

Monoclonal

Host

Mouse

Isotype

IgG2b Kappa

Description

Novus Biologicals Mouse VDAC1 Antibody (C1) - BSA Free (NBP3-42163) is a monoclonal antibody validated for use in IHC and WB. All Novus Biologicals antibodies are covered by our 100% guarantee.

Scientific Data Images for VDAC1 Antibody (C1) - BSA Free

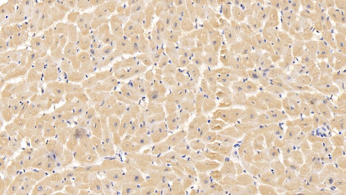
VDAC1 Antibody (C1)

Immunohistochemistry-Paraffin: VDAC1 Antibody (C1) [NBP3-42163] -

Immunohistochemistry-Paraffin: VDAC1 Antibody (C1) [NBP3-42163] - DAB staining on IHC-P; Sample: Human Liver Tissue; Primary Ab: 10ug/ml NBP3-42163; Second Ab: 2ug/mL HRP-Linked Caprine Anti-Mouse IgG Polyclonal Antibody
VDAC1 Antibody (C1)

Immunohistochemistry-Paraffin: VDAC1 Antibody (C1) [NBP3-42163] -

Immunohistochemistry-Paraffin: VDAC1 Antibody (C1) [NBP3-42163] - DAB staining on IHC-P; Sample: Human Cardiac Muscle Tissue; Primary Ab: 10ug/ml NBP3-42163; Second Ab: 2ug/mL HRP-Linked Caprine Anti-Mouse IgG Polyclonal Antibody
VDAC1 Antibody (C1)

Western Blot: VDAC1 Antibody (C1) [NBP3-42163] -

Western Blot: VDAC1 Antibody (C1) [NBP3-42163] - Sample: Recombinant VDAC1, Human.

Applications for VDAC1 Antibody (C1) - BSA Free

Application
Recommended Usage

Immunohistochemistry

5-20ug/mL

Immunohistochemistry-Paraffin

5-20ug/mL

Western Blot

0.5-2ug/mL

Formulation, Preparation, and Storage

Purification

Protein A or G purified

Formulation

0.01M PBS, pH7.4, 50% glycerol

Format

BSA Free

Preservative

0.05% Proclin 300

Concentration

1 mg/ml

Shipping

The product is shipped with polar packs. Upon receipt, store it immediately at the temperature recommended below.

Stability & Storage

Store at 4C short term. Aliquot and store at -20C long term. Avoid freeze-thaw cycles.

Background: VDAC1

VDAC1 is an outer membrane mitochondrial protein. The VDAC proteins are thought to form aqueous channels, or pores, through which adenine nucleotides cross the outer mitochondrial membrane. VDACs have been implicated in the formation of the mitochondrial permeability transition pore complex in apoptotic cells. This complex, formed by VDAC, adenine nucleotide translocator (ANT), and cyclophilin D (CypD), is thought to allow the mitochondria to undergo metabolic uncoupling and irreversible morphologic changes that ultimately destroy the mitochondria during apoptosis. VDACs are highly expressed in heart, liver and skeletal muscle, where concentrations of mitochondria are at their highest.

Long Name

Voltage-dependent anion-selective channel protein 1

Alternate Names

hVDAC1, Plasmalemmal porin, Porin 31HL, Porin 31HM, VDAC, VDAC-1

Gene Symbol

VDAC1

Additional VDAC1 Products

Product Documents for VDAC1 Antibody (C1) - BSA Free

Certificate of Analysis

To download a Certificate of Analysis, please enter a lot number in the search box below.

Product Specific Notices for VDAC1 Antibody (C1) - BSA Free

This product is for research use only and is not approved for use in humans or in clinical diagnosis. Primary Antibodies are guaranteed for 1 year from date of receipt.

Loading...
Loading...
Loading...
Loading...