Skip to main content

VCIP135/VCPIP1 Antibody

Novus Biologicals, part of Bio-Techne | Catalog # NBP1-49939

Novus Biologicals, part of Bio-Techne
Catalog #
Availability
Size / Price
Qty
Loading...
NBP1-49939

Key Product Details

Validated by

Independent Antibodies, Biological Validation

Species Reactivity

Validated:

Human

Cited:

Human

Applications

Validated:

Immunohistochemistry, Immunohistochemistry-Paraffin, Western Blot, Immunoprecipitation

Cited:

Immunohistochemistry-Paraffin

Label

Unconjugated

Antibody Source

Polyclonal Rabbit IgG

Concentration

0.2 mg/ml

Product Specifications

Immunogen

The immunogen for this product maps to a region between residue 1100 and 1150 of human Valosin-Containing Protein (p97)/p47 Complex-Interacting Protein p135 using the numbering given in entry NP_079330.2 (GeneID 80124).

Clonality

Polyclonal

Host

Rabbit

Isotype

IgG

Scientific Data Images for VCIP135/VCPIP1 Antibody

Western Blot: VCIP135/VCPIP1 Antibody [NBP1-49939]

Western Blot: VCIP135/VCPIP1 Antibody [NBP1-49939]

Western Blot: VCIP135/VCPIP1 Antibody [NBP1-49939] - Detection of Human VCIP135/VCPIP1 by Western Blot and Immunoprecipitation. Samples: Whole cell lysate from HeLa (5, 15 and 50 mcg for WB; 1 mg for IP, 20% of IP loaded) and 293T (T; 50 mcg) cells. Antibodies: Affinity purified rabbit anti-VCIP135 antibody used for WB at 0.04 mcg/ml (A) and 1 mcg/ml (B) and used for IP at 3 mcg/mg lysate. VCIP135 was also immunoprecipitated by rabbit anti-VCIP135 antibody which recognizes a downstream epitope. For blotting immunoprecipitated VCIP135 was used. Detection: Chemiluminescence with exposure times of 3 minutes (A) and 3 seconds (B).
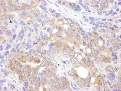
Immunohistochemistry-Paraffin: VCIP135/VCPIP1 Antibody [NBP1-49939]

Immunohistochemistry-Paraffin: VCIP135/VCPIP1 Antibody [NBP1-49939]

Immunohistochemistry-Paraffin: VCIP135/VCPIP1 Antibody [NBP1-49939] - Sample: FFPE section of human breast carcinoma. Antibody: Affinity purified rabbit anti- VCIP135 used at a dilution of 1:200 (1ug/ml). Detection: DAB
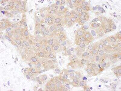
Immunohistochemistry-Paraffin: VCIP135/VCPIP1 Antibody [NBP1-49939]

Immunohistochemistry-Paraffin: VCIP135/VCPIP1 Antibody [NBP1-49939]

Immunohistochemistry-Paraffin: VCIP135/VCPIP1 Antibody [NBP1-49939] - Sample: FFPE section of human ovarian carcinoma. Antibody: Affinity purified rabbit anti- VCIP135 used at a dilution of 1:200 (1ug/ml). Detection: DAB

Applications for VCIP135/VCPIP1 Antibody

Application
Recommended Usage

Immunohistochemistry-Paraffin

1:100 - 1:500

Immunoprecipitation

2-5 ug/mg lysate

Western Blot

1:2000-1:10000
Application Notes
Epitope retrieval with citrate buffer pH6.0 is recommended for FFPE tissue sections.

Formulation, Preparation, and Storage

Purification

Immunogen affinity purified

Formulation

TBS and 0.1% BSA

Preservative

0.09% Sodium Azide

Concentration

0.2 mg/ml

Shipping

The product is shipped with polar packs. Upon receipt, store it immediately at the temperature recommended below.

Stability & Storage

Store at 4C. Do not freeze.

Background: VCIP135/VCPIP1

VCPIP1 - valosin containing protein (p97)/p47 complex interacting protein 1

Long Name

Valosin-Containing Protein P97/P47 Complex-Interacting Protein p135

Alternate Names

DUBA3, VCPIP1

Gene Symbol

VCPIP1

Additional VCIP135/VCPIP1 Products

Product Documents for VCIP135/VCPIP1 Antibody

Certificate of Analysis

To download a Certificate of Analysis, please enter a lot number in the search box below.

Product Specific Notices for VCIP135/VCPIP1 Antibody

This product is for research use only and is not approved for use in humans or in clinical diagnosis. Primary Antibodies are guaranteed for 1 year from date of receipt.

Loading...
Loading...
Loading...
Loading...