Skip to main content

USP30 Antibody (CL4438) - Azide and BSA Free

Novus Biologicals, part of Bio-Techne | Catalog # NBP3-44104

Novus Biologicals, part of Bio-Techne
Catalog #
Availability
Size / Price
Qty
Loading...
NBP3-44104

Key Product Details

Species Reactivity

Human

Applications

Immunohistochemistry-Paraffin

Label

Unconjugated

Antibody Source

Monoclonal Mouse IgG2A Clone # CL4438

Format

Azide and BSA Free

Concentration

LYOPH mg/ml

Product Specifications

Immunogen

This antibody was generated using a recombinant protein sequence of Q70CQ3, with the exact immunogen sequence remaining proprietary.

Clonality

Monoclonal

Host

Mouse

Isotype

IgG2A

Description

Novus Biologicals Mouse USP30 Antibody (CL4438) - Azide and BSA Free (NBP2-59049) is a monoclonal antibody validated for use in IHC. All Novus Biologicals antibodies are covered by our 100% guarantee.

Scientific Data Images for USP30 Antibody (CL4438) - Azide and BSA Free

USP30 Antibody (CL4438) - Azide and BSA Free Immunohistochemistry-Paraffin: USP30 Antibody [NBP3-44104]

Immunohistochemistry-Paraffin: USP30 Antibody [NBP3-44104]

Staining of human cerebellum shows moderate cytoplasmic positivity in Purkinje cells.
USP30 Antibody (CL4438) - Azide and BSA Free Immunohistochemistry-Paraffin: USP30 Antibody [NBP3-44104]

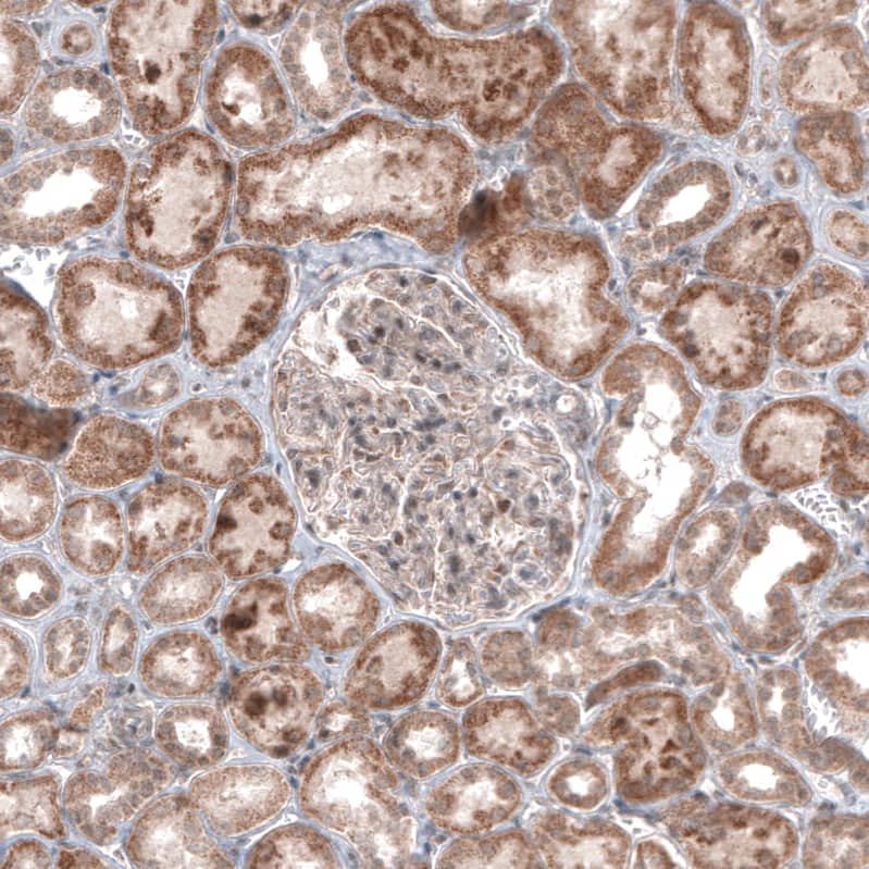
Immunohistochemistry-Paraffin: USP30 Antibody [NBP3-44104]

Staining of human kidney shows moderate cytoplasmic positivity in cells in tubules.
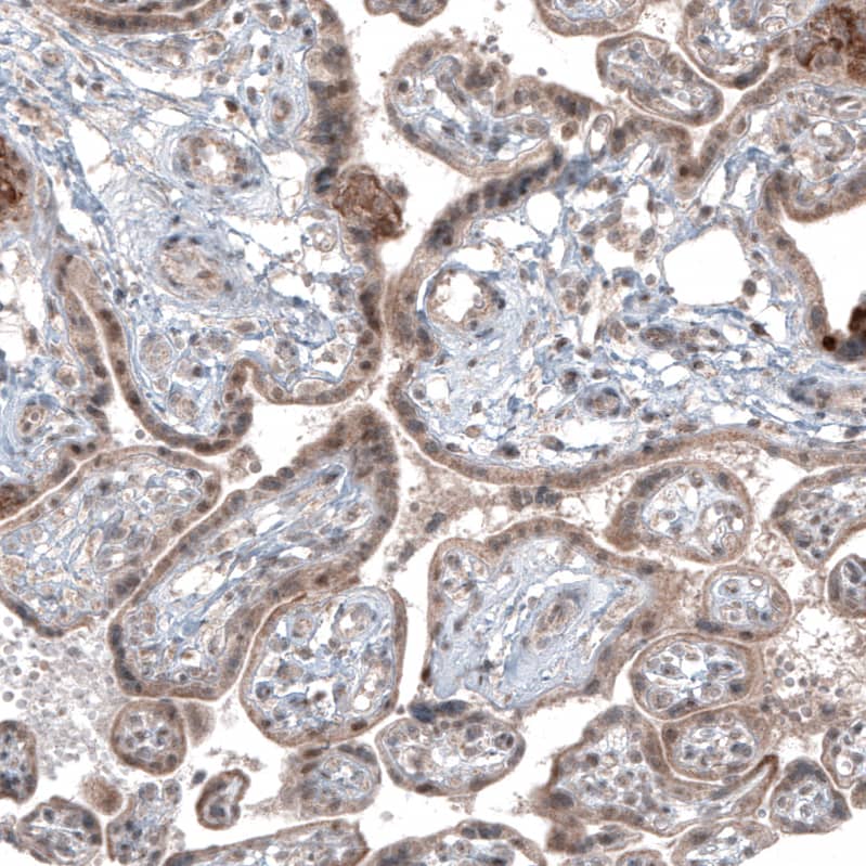
USP30 Antibody (CL4438) - Azide and BSA Free Immunohistochemistry-Paraffin: USP30 Antibody [NBP3-44104]

Immunohistochemistry-Paraffin: USP30 Antibody [NBP3-44104]

Staining of human placenta shows moderate cytoplasmic positivity in trophoblastic cells.

Applications for USP30 Antibody (CL4438) - Azide and BSA Free

Application
Recommended Usage

Immunohistochemistry-Paraffin

1:50 - 1:200
Application Notes
For IHC-Paraffin, HIER pH 6 retrieval is recommended.

Formulation, Preparation, and Storage

Purification

Protein A purified

Reconstitution

Centrifuge the vial of lyophilized antibody at 12,000 x g for 20 seconds. Reconstitute by adding sterile, distilled water to achieve a final antibody concentration of 1mg/ml.

Formulation

Lyophilized from a 0.2 um filtered solution in PBS with Trehalose

Format

Azide and BSA Free

Preservative

No Preservative

Concentration

LYOPH mg/ml

Shipping

The product is shipped at ambient temperature. Upon receipt, store it immediately at the temperature recommended below.

Stability & Storage

Store at 4C short term. Aliquot and store at -20C long term. Avoid freeze-thaw cycles.

Background: USP30

USP30, a member of the ubiquitin-specific protease family (see USP1, MIM 603478), is a novel mitochondrial deubiquitinating (DUB) enzyme (Nakamura and Hirose, 2008 (PubMed 18287522)).(supplied by OMIM)

Long Name

Ubiquitin Specific Protease 30

Alternate Names

Deubiquitinating Enzyme 30, Ubiquitin Thioesterase 30

Gene Symbol

USP30

Additional USP30 Products

Product Documents for USP30 Antibody (CL4438) - Azide and BSA Free

Certificate of Analysis

To download a Certificate of Analysis, please enter a lot number in the search box below.

Product Specific Notices for USP30 Antibody (CL4438) - Azide and BSA Free

This product is for research use only and is not approved for use in humans or in clinical diagnosis. Primary Antibodies are guaranteed for 1 year from date of receipt.

Loading...
Loading...
Loading...
Loading...
Loading...