Uroplakin III Antibody - BSA Free
Novus Biologicals, part of Bio-Techne | Catalog # NBP1-86874
Key Product Details
Validated by
Orthogonal Validation, Independent Antibodies
Species Reactivity
Human
Applications
Immunohistochemistry, Immunohistochemistry-Paraffin
Label
Unconjugated
Antibody Source
Polyclonal Rabbit IgG
Format
BSA Free
Concentration
Concentrations vary lot to lot. See vial label for concentration. If unlisted please contact technical services.
Product Specifications
Immunogen
This antibody was developed against Recombinant Protein corresponding to amino acids: QILNAYLVRVGANGTCLWDPNFQGLCNPPLSAATEYRFKYVLVNMSTGLVEDQTLWSDPIRTNQLTPYSTIDTWPGRRSGGMIVIT
Reactivity Notes
Immunogen displays the following percentage of sequence identity for non-tested species: Mouse (88%), Rat (87%)
Clonality
Polyclonal
Host
Rabbit
Isotype
IgG
Scientific Data Images for Uroplakin III Antibody - BSA Free
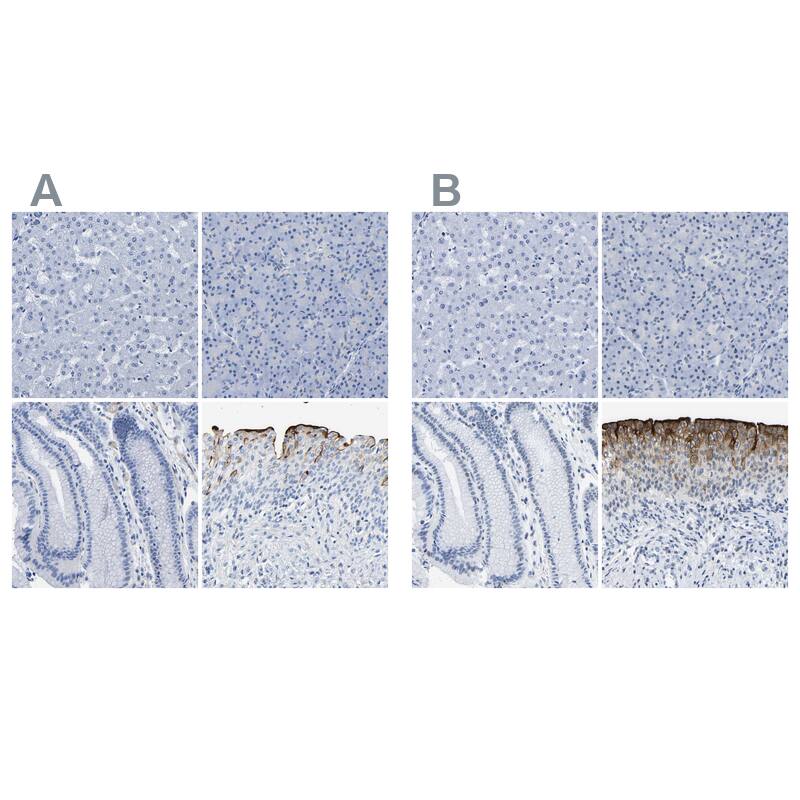
Immunohistochemistry-Paraffin: Uroplakin III Antibody - BSA Free [NBP1-86874]
Staining of human pancreas shows no positivity in exocrine glandular cells as expected.Immunohistochemistry-Paraffin: Uroplakin III Antibody - BSA Free [NBP1-86874]
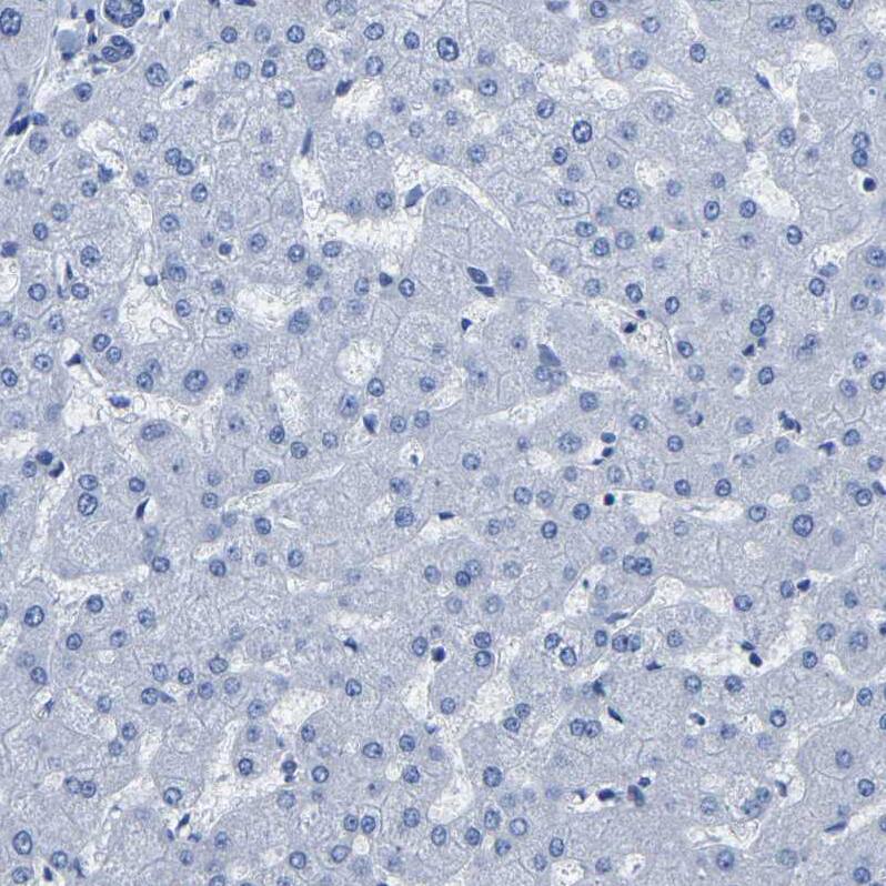
Staining of human liver shows no positivity in hepatocytes as expected.Immunohistochemistry-Paraffin: Uroplakin III Antibody - BSA Free [NBP1-86874]
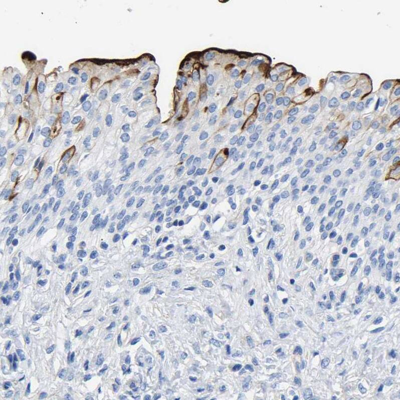
Staining of human urinary bladder shows strong cytoplasmic positivity in urothelial cells.Applications for Uroplakin III Antibody - BSA Free
Application
Recommended Usage
Immunohistochemistry
1:200 - 1:500
Immunohistochemistry-Paraffin
1:200 - 1:500
Application Notes
For IHC-Paraffin, HIER pH 6 retrieval is recommended.
Formulation, Preparation, and Storage
Purification
Affinity purified
Formulation
PBS (pH 7.2) and 40% Glycerol
Format
BSA Free
Preservative
0.02% Sodium Azide
Concentration
Concentrations vary lot to lot. See vial label for concentration. If unlisted please contact technical services.
Shipping
The product is shipped with polar packs. Upon receipt, store it immediately at the temperature recommended below.
Stability & Storage
Store at 4C short term. Aliquot and store at -20C long term. Avoid freeze-thaw cycles.
Background: Uroplakin III
Alternate Names
MGC119178, UP3a, UPIII, UPIIIA, UPK3, UPK3A, uroplakin 3, uroplakin 3A, Uroplakin III, uroplakin3a, uroplakin-3a
Gene Symbol
UPK3A
Additional Uroplakin III Products
Product Documents for Uroplakin III Antibody - BSA Free
Product Specific Notices for Uroplakin III Antibody - BSA Free
This product is for research use only and is not approved for use in humans or in clinical diagnosis. Primary Antibodies are guaranteed for 1 year from date of receipt.
Loading...
Loading...
Loading...
Loading...