Skip to main content

UQCRC2 Antibody (2F6) - BSA Free

Novus Biologicals, part of Bio-Techne | Catalog # NBP3-15182

Recombinant monoclonal antibody expressed in HEK293F cells
Novus Biologicals, part of Bio-Techne
Catalog #
Availability
Size / Price
Qty
Loading...
NBP3-15182

Key Product Details

Species Reactivity

Human

Applications

ELISA, Immunohistochemistry, Western Blot

Label

Unconjugated

Antibody Source

Recombinant Monoclonal Rabbit IgG Clone # 2F6 expressed in HEK293

Format

BSA Free

Concentration

Please see the vial label for concentration. If unlisted please contact technical services.

Product Specifications

Immunogen

A synthesized peptide derived from human UQCRC2. UniProt ID (P22695).

Clonality

Monoclonal

Host

Rabbit

Isotype

IgG

Description

Novus Biologicals Rabbit UQCRC2 Antibody (2F6) - BSA Free (NBP3-15182) is a recombinant monoclonal antibody validated for use in IHC, WB and ELISA. All Novus Biologicals antibodies are covered by our 100% guarantee.

Scientific Data Images for UQCRC2 Antibody (2F6) - BSA Free

Western Blot: UQCRC2 Antibody (2F6) [NBP3-15182]

Western Blot: UQCRC2 Antibody (2F6) [NBP3-15182]

Western Blot: UQCRC2 Antibody (2F6) [NBP3-15182] - Positive WB detected in:HepG2 whole cell lysate, 293 whole cell lysate, U251 whole cell lysate, MCF-7 whole cell lysate. All lanes: UQCRC2 antibody at 1:2000. Secondary: Goat polyclonal to rabbit IgG at 1/50000 dilution. Predicted band size: 49 KDa. Observed band size: 49 KDa.
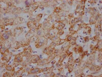
Immunohistochemistry: UQCRC2 Antibody (2F6) [NBP3-15182]

Immunohistochemistry: UQCRC2 Antibody (2F6) [NBP3-15182]

Immunohistochemistry: UQCRC2 Antibody (2F6) [NBP3-15182] - IHC image of UQCRC2 antibody diluted at 1:100 and staining in paraffin-embedded human liver tissue. After dewaxing and hydration, antigen retrieval was mediated by high pressure in a citrate buffer (pH 6.0). Section was blocked with 10% normal goat serum 30 minutes at RT. Then primary antibody (1% BSA) was incubated at 4C overnight. The primary is detected by a Goat anti-rabbit IgG polymer labeled by HRP and visualized using 0.05% DAB.
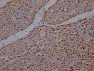
Immunohistochemistry: UQCRC2 Antibody (2F6) [NBP3-15182]

Immunohistochemistry: UQCRC2 Antibody (2F6) [NBP3-15182]

Immunohistochemistry: UQCRC2 Antibody (2F6) [NBP3-15182] - IHC image of UQCRC2 antibody diluted at 1:100 and staining in paraffin-embedded human heart tissue. After dewaxing and hydration, antigen retrieval was mediated by high pressure in a citrate buffer (pH 6.0). Section was blocked with 10% normal goat serum 30 minutes at RT. Then primary antibody (1% BSA) was incubated at 4C overnight. The primary is detected by a Goat anti-rabbit IgG polymer labeled by HRP and visualized using 0.05% DAB.

Applications for UQCRC2 Antibody (2F6) - BSA Free

Application
Recommended Usage

Immunohistochemistry

1:50-1:200

Western Blot

1:500-1:5000

Formulation, Preparation, and Storage

Purification

Affinity purified

Formulation

PBS, pH 7.4, 150mM NaCl, and 50% glycerol

Format

BSA Free

Preservative

0.02% Sodium Azide

Concentration

Please see the vial label for concentration. If unlisted please contact technical services.

Shipping

The product is shipped with polar packs. Upon receipt, store it immediately at the temperature recommended below.

Stability & Storage

Store at -20 to -70C. Avoid freeze-thaw cycles.

Background: UQCRC2

This is a component of the ubiquinol-cytochrome c reductase complex (complex III or cytochrome b-c1 complex),which is part of the mitochondrial respiratory chain. The core protein 2 is required for the assembly of the complex

Alternate Names

Complex III subunit 2, Core protein II, cytochrome b-c1 complex subunit 2, mitochondrial, QCR2, ubiquinol-cytochrome c reductase core protein II, Ubiquinol-cytochrome-c reductase complex core protein 2, UQCR2

Gene Symbol

UQCRC2

Additional UQCRC2 Products

Product Documents for UQCRC2 Antibody (2F6) - BSA Free

Certificate of Analysis

To download a Certificate of Analysis, please enter a lot number in the search box below.

Product Specific Notices for UQCRC2 Antibody (2F6) - BSA Free

This product is for research use only and is not approved for use in humans or in clinical diagnosis. Primary Antibodies are guaranteed for 1 year from date of receipt.

Loading...
Loading...
Loading...
Loading...