Skip to main content

UQCRC1 Antibody - BSA Free

Novus Biologicals, part of Bio-Techne | Catalog # NBP3-38038

Novus Biologicals, part of Bio-Techne
Catalog #
Availability
Size / Price
Qty
Loading...
NBP3-38038-20ul
NBP3-38038-100ul

Key Product Details

Species Reactivity

Human, Mouse, Rat

Applications

Immunohistochemistry, Immunohistochemistry-Paraffin, Western Blot, ELISA, Immunocytochemistry/ Immunofluorescence

Label

Unconjugated

Antibody Source

Polyclonal Rabbit IgG

Format

BSA Free

Concentration

Please see the vial label for concentration. If unlisted please contact technical services.

Product Specifications

Immunogen

Recombinant fusion protein containing a sequence corresponding to amino acids 156-480 of human UQCRC1 (NP_003356.2).

Sequence:
LEDSQIEKERDVILREMQENDASMRDVVFNYLHATAFQGTPLAQAVEGPSENVRKLSRADLTEYLSTHYKAPRMVLAAAGGVEHQQLLDLAQKHLGGIPWTYAEDAVPTLTPCRFTGSEIRHRDDALPFAHVAIAVEGPGWASPDNVALQVANAIIGHYDCTYGGGVHLSSPLASGAVANKLCQSFQTFSICYAETGLLGAHFVCDRMKIDDMMFVLQGQWMRLCTSATESEVARGKNILRNALVSHLDGTTPVCEDIGRSLLTYGRRIPLAEWESRIAEVDASVVREICSKYIYDQCPAVAGYGPIEQLPDYNRIRSGMFWLRF

Clonality

Polyclonal

Host

Rabbit

Isotype

IgG

Theoretical MW

53 kDa.
Disclaimer note: The observed molecular weight of the protein may vary from the listed predicted molecular weight due to post translational modifications, post translation cleavages, relative charges, and other experimental factors.

Description

Novus Biologicals Rabbit UQCRC1 Antibody - BSA Free (NBP3-38038) is a polyclonal antibody validated for use in IHC, WB, ELISA and ICC/IF. All Novus Biologicals antibodies are covered by our 100% guarantee.

Scientific Data Images for UQCRC1 Antibody - BSA Free

UQCRC1 Antibody

Western Blot: UQCRC1 Antibody [NBP3-38038] -

Western Blot: UQCRC1 Antibody [NBP3-38038] - Western blot analysis of various lysates, using UQCRC1 Rabbit pAb at 1:1000 dilution.
Secondary antibody: HRP-conjugated Goat anti-Rabbit IgG (H+L) at 1:10000 dilution.
Lysates/proteins: 25ug per lane.
Blocking buffer: 3% nonfat dry milk in TBST.
Detection: ECL Basic Kit.
Exposure time: 30s.
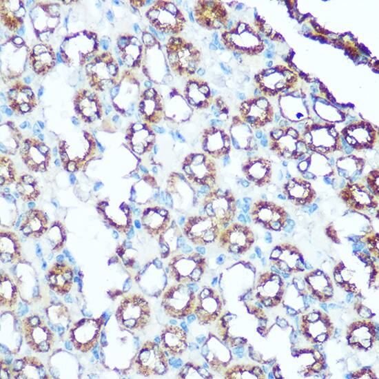
UQCRC1 Antibody

Immunohistochemistry: UQCRC1 Antibody [NBP3-38038] -

Immunohistochemistry: UQCRC1 Antibody [NBP3-38038] - Immunohistochemistry analysis of paraffin-embedded Mouse kidney using UQCRC1 Rabbit pAb at dilution of 1:100 (40x lens). Microwave antigen retrieval performed with 0.01M Tris/EDTA Buffer (pH 9.0) prior to IHC staining.
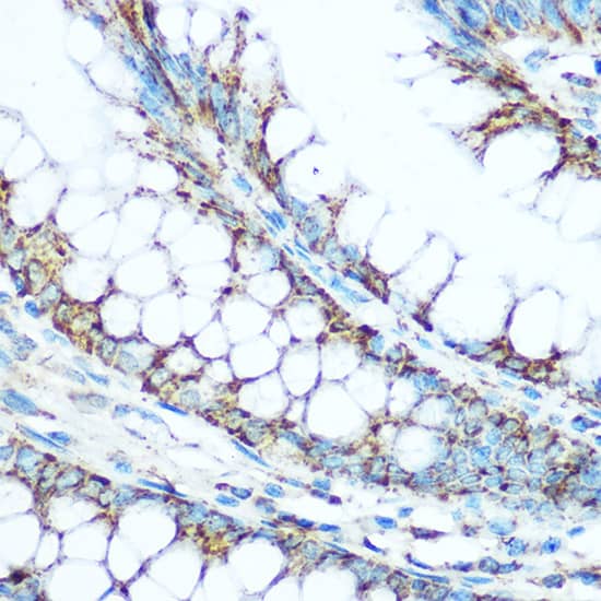
UQCRC1 Antibody

Immunohistochemistry: UQCRC1 Antibody [NBP3-38038] -

Immunohistochemistry: UQCRC1 Antibody [NBP3-38038] - Immunohistochemistry analysis of paraffin-embedded Human colon using UQCRC1 Rabbit pAb at dilution of 1:100 (40x lens). Microwave antigen retrieval performed with 0.01M Tris/EDTA Buffer (pH 9.0) prior to IHC staining.

Applications for UQCRC1 Antibody - BSA Free

Application
Recommended Usage

Immunocytochemistry/ Immunofluorescence

1:50 - 1:200

Immunohistochemistry-Paraffin

1:50 - 1:200

Western Blot

1:500 - 1:2000

Formulation, Preparation, and Storage

Purification

Affinity purified

Formulation

PBS (pH 7.3), 50% glycerol

Format

BSA Free

Preservative

0.02% Sodium Azide

Concentration

Please see the vial label for concentration. If unlisted please contact technical services.

Shipping

The product is shipped with polar packs. Upon receipt, store it immediately at the temperature recommended below.

Stability & Storage

Store at -20C. Avoid freeze-thaw cycles.

Background: UQCRC1

This is a component of the ubiquinol-cytochrome c reductase complex (complex III or cytochrome b-c1 complex), which is part of the mitochondrial respiratory chain. This protein may mediate formation of the complex between cytochromes c and c1

Alternate Names

Complex III subunit 1, Core protein I, cytochrome b-c1 complex subunit 1, mitochondrial, D3S3191, QCR1, ubiquinol-cytochrome c reductase core protein I, Ubiquinol-cytochrome-c reductase complex core protein 1, UQCR1

Gene Symbol

UQCRC1

Additional UQCRC1 Products

Product Documents for UQCRC1 Antibody - BSA Free

Certificate of Analysis

To download a Certificate of Analysis, please enter a lot number in the search box below.

Product Specific Notices for UQCRC1 Antibody - BSA Free

This product is for research use only and is not approved for use in humans or in clinical diagnosis. Primary Antibodies are guaranteed for 1 year from date of receipt.

Loading...
Loading...
Loading...
Loading...