Skip to main content

UPF3B Antibody - BSA Free

Novus Biologicals, part of Bio-Techne | Catalog # NBP1-83134

Novus Biologicals, part of Bio-Techne
Catalog #
Availability
Size / Price
Qty
Loading...
NBP1-83134

Key Product Details

Validated by

Orthogonal Validation, Independent Antibodies

Species Reactivity

Human

Applications

Immunocytochemistry/ Immunofluorescence, Immunohistochemistry, Immunohistochemistry-Paraffin, Western Blot

Label

Unconjugated

Antibody Source

Polyclonal Rabbit IgG

Format

BSA Free

Concentration

Concentrations vary lot to lot. See vial label for concentration. If unlisted please contact technical services.

Product Specifications

Immunogen

This antibody was developed against Recombinant Protein corresponding to amino acids: KEEKEHRPKEKRVTLLTPAGATGSGGGTSGDSSKGEDKQDRNKEKKEALSKVVIRRLPPTLTKEQLQEHLQPMPEHDYFEFFSNDTSLYPHMYARAYINFKNQEDIILFRDRFDGYVFLDNKGQEYPAIVE

Reactivity Notes

Mouse (86%), Rat (87%).

Clonality

Polyclonal

Host

Rabbit

Isotype

IgG

Description

Novus Biologicals Rabbit UPF3B Antibody - BSA Free (NBP1-83134) is a polyclonal antibody validated for use in IHC, WB and ICC/IF. All Novus Biologicals antibodies are covered by our 100% guarantee.

Scientific Data Images for UPF3B Antibody - BSA Free

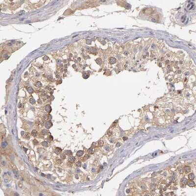
Immunohistochemistry-Paraffin: UPF3B Antibody [NBP1-83134]

Immunohistochemistry-Paraffin: UPF3B Antibody [NBP1-83134]

Immunohistochemistry-Paraffin: UPF3B Antibody [NBP1-83134] - Staining in human testis and liver tissues using NBP1-83134 antibody. Corresponding UPF3B RNA-seq data are presented for the same tissues.
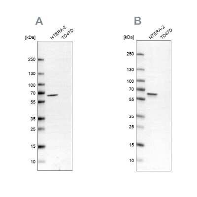
Western Blot: UPF3B Antibody [NBP1-83134]

Western Blot: UPF3B Antibody [NBP1-83134]

Western Blot: UPF3B Antibody [NBP1-83134] - Analysis using Anti-UPF3B antibody NBP1-83134 (A) shows similar pattern to independent antibody NBP2-55617 (B).
Immunocytochemistry/ Immunofluorescence: UPF3B Antibody [NBP1-83134]

Immunocytochemistry/ Immunofluorescence: UPF3B Antibody [NBP1-83134]

Immunocytochemistry/Immunofluorescence: UPF3B Antibody [NBP1-83134] - Immunofluorescent staining of human cell line U-2 OS shows localization to cytosol. Antibody staining is shown in green.

Applications for UPF3B Antibody - BSA Free

Application
Recommended Usage

Immunocytochemistry/ Immunofluorescence

0.25-2 ug/ml

Immunohistochemistry

1:20 - 1:50

Immunohistochemistry-Paraffin

1:20 - 1:50

Western Blot

0.04 - 0.4 ug/ml
Application Notes
For IHC-Paraffin, HIER pH 6 retrieval is recommended. ICC/IF,Fixation Permeabilization: Use PFA/Triton X-100.

Formulation, Preparation, and Storage

Purification

Immunogen affinity purified

Formulation

PBS (pH 7.2) and 40% Glycerol

Format

BSA Free

Preservative

0.02% Sodium Azide

Concentration

Concentrations vary lot to lot. See vial label for concentration. If unlisted please contact technical services.

Shipping

The product is shipped with polar packs. Upon receipt, store it immediately at the temperature recommended below.

Stability & Storage

Store at 4C short term. Aliquot and store at -20C long term. Avoid freeze-thaw cycles.

Background: UPF3B

The UPF3B gene encodes a protein that is part of a post-splicing multiprotein complex involved in both mRNA nuclear exportand mRNA surveillance. The encoded protein is one of two functional homologs to yeast Upf3p. mRNA surveillance detectsexported mRNAs with

Alternate Names

hUpf3B, Nonsense mRNA reducing factor 3B, regulator of nonsense transcripts 3B, RENT3BhUpf3p-X, UPF3 regulator of nonsense transcripts homolog B (yeast), UPF3XMRXS14, Up-frameshift suppressor 3 homolog B, Up-frameshift suppressor 3 homolog on chromosome X

Gene Symbol

UPF3B

Additional UPF3B Products

Product Documents for UPF3B Antibody - BSA Free

Certificate of Analysis

To download a Certificate of Analysis, please enter a lot number in the search box below.

Product Specific Notices for UPF3B Antibody - BSA Free

This product is for research use only and is not approved for use in humans or in clinical diagnosis. Primary Antibodies are guaranteed for 1 year from date of receipt.

Loading...
Loading...
Loading...
Loading...