UNC5CL Antibody - BSA Free
Novus Biologicals, part of Bio-Techne | Catalog # NBP2-47585
Key Product Details
Validated by
Orthogonal Validation
Species Reactivity
Human
Applications
Immunocytochemistry/ Immunofluorescence, Immunohistochemistry, Immunohistochemistry-Paraffin
Label
Unconjugated
Antibody Source
Polyclonal Rabbit IgG
Format
BSA Free
Concentration
Concentrations vary lot to lot. See vial label for concentration. If unlisted please contact technical services.
Product Specifications
Immunogen
This antibody was developed against a recombinant protein corresponding to amino acids: MHTFQDGLETKYMEILRFQASEEESWAAPPPVSQPPPCNRLPPELFEQLRMLLEPNSITGNDWRRLASHLGLCGMKIRFLSCQRSPAAAILELFEEQNGSLQELHYLMTVMERLDCASAIQNYLSGTHGGSPGPERGGARDNQGLELDEK
Reactivity Notes
Immunogen displays the following percentage of sequence identity for non-tested species: Mouse (87%)
Clonality
Polyclonal
Host
Rabbit
Isotype
IgG
Description
Novus Biologicals Rabbit UNC5CL Antibody - BSA Free (NBP2-47585) is a polyclonal antibody validated for use in IHC and ICC/IF. All Novus Biologicals antibodies are covered by our 100% guarantee.
Scientific Data Images for UNC5CL Antibody - BSA Free
Immunocytochemistry/ Immunofluorescence: UNC5CL Antibody [NBP2-47585]
Immunocytochemistry/Immunofluorescence: UNC5CL Antibody [NBP2-47585] - Immunofluorescent staining of human cell line U-251 MG shows localization to centrosome.Immunohistochemistry-Paraffin: UNC5CL Antibody [NBP2-47585]
Immunohistochemistry-Paraffin: UNC5CL Antibody [NBP2-47585] - Staining of human skeletal muscle shows low expression as expected.Immunohistochemistry: UNC5CL Antibody [NBP2-47585]
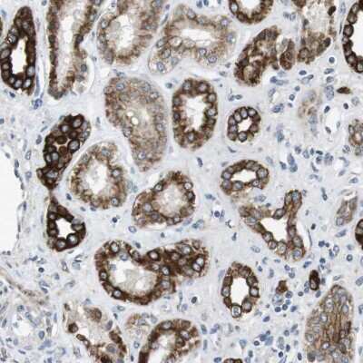
Immunohistochemistry: UNC5CL Antibody [NBP2-47585] - Staining of human kidney shows strong membranous and cytoplasmic positivity in cells in tubules.Applications for UNC5CL Antibody - BSA Free
Application
Recommended Usage
Immunocytochemistry/ Immunofluorescence
0.25-2 ug/ml
Immunohistochemistry
1:200 - 1:500
Immunohistochemistry-Paraffin
1:200 - 1:500
Application Notes
For IHC-Paraffin, HIER pH 6 retrieval is recommended. Immunocytochemistry/Immunofluorescence Fixation Permeabilization: Use PFA/Triton X-100.
Formulation, Preparation, and Storage
Purification
Immunogen affinity purified
Formulation
PBS (pH 7.2) and 40% Glycerol
Format
BSA Free
Preservative
0.02% Sodium Azide
Concentration
Concentrations vary lot to lot. See vial label for concentration. If unlisted please contact technical services.
Shipping
The product is shipped with polar packs. Upon receipt, store it immediately at the temperature recommended below.
Stability & Storage
Store at 4C short term. Aliquot and store at -20C long term. Avoid freeze-thaw cycles.
Background: UNC5CL
Alternate Names
MGC34763, Protein unc-5 homolog C-like, unc-5 homolog C (C. elegans)-like, ZU5 and death domain containing, ZU5 and death domain-containing protein, ZUDUNC5C-like protein
Gene Symbol
UNC5CL
Additional UNC5CL Products
Product Documents for UNC5CL Antibody - BSA Free
Product Specific Notices for UNC5CL Antibody - BSA Free
This product is for research use only and is not approved for use in humans or in clinical diagnosis. Primary Antibodies are guaranteed for 1 year from date of receipt.
Loading...
Loading...
Loading...
Loading...