Skip to main content

UDP glucose dehydrogenase Antibody - BSA Free

Novus Biologicals, part of Bio-Techne | Catalog # NBP2-20798

Novus Biologicals, part of Bio-Techne
Catalog #
Availability
Size / Price
Qty
Loading...
NBP2-20798

Key Product Details

Validated by

Orthogonal Validation

Species Reactivity

Human, Mouse, Rat

Applications

Immunohistochemistry, Immunohistochemistry-Paraffin, Western Blot, Immunocytochemistry/ Immunofluorescence

Label

Unconjugated

Antibody Source

Polyclonal Rabbit IgG

Format

BSA Free

Concentration

Concentrations vary lot to lot. See vial label for concentration. If unlisted please contact technical services.

Product Specifications

Immunogen

Recombinant protein encompassing a sequence within the center region of human UDP glucose dehydrogenase. The exact sequence is proprietary.

Clonality

Polyclonal

Host

Rabbit

Isotype

IgG

Theoretical MW

55 kDa.
Disclaimer note: The observed molecular weight of the protein may vary from the listed predicted molecular weight due to post translational modifications, post translation cleavages, relative charges, and other experimental factors.

Description

Novus Biologicals Rabbit UDP glucose dehydrogenase Antibody - BSA Free (NBP2-20798) is a polyclonal antibody validated for use in IHC, WB and ICC/IF. All Novus Biologicals antibodies are covered by our 100% guarantee.

Scientific Data Images for UDP glucose dehydrogenase Antibody - BSA Free

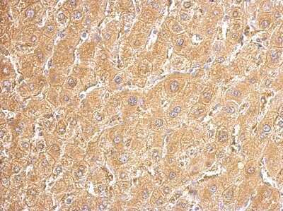
Immunohistochemistry-Paraffin: UDP glucose dehydrogenase Antibody [NBP2-20798]

Immunohistochemistry-Paraffin: UDP glucose dehydrogenase Antibody [NBP2-20798]

Immunohistochemistry-Paraffin: UDP glucose dehydrogenase Antibody [NBP2-20798] - UGDH antibody detects UGDH protein at cytosol on hepatoma by immunohistochemical analysis. Sample: Paraffin-embedded hepatoma tissue. UGDH antibody dilution: 1:500.
Western Blot: UDP glucose dehydrogenase Antibody [NBP2-20798]

Western Blot: UDP glucose dehydrogenase Antibody [NBP2-20798]

Western Blot: UDP glucose dehydrogenase Antibody [NBP2-20798] - Sample (50 ug of whole cell lysate) A: Mouse Liver, 7. 5% SDS PAGE gel, diluted at 1:10000.
Western Blot: UDP glucose dehydrogenase Antibody [NBP2-20798]

Western Blot: UDP glucose dehydrogenase Antibody [NBP2-20798]

Western Blot: UDP glucose dehydrogenase Antibody [NBP2-20798] - UGDH antibody detects UGDH protein by Western blot analysis. A. 50 ug Rat liver lysate/extract7. 5 % SDS-PAGEUGDH antibody dilution: 1:2000.

Applications for UDP glucose dehydrogenase Antibody - BSA Free

Application
Recommended Usage

Immunohistochemistry

1:100-1:1000

Immunohistochemistry-Paraffin

1:100-1:1000

Western Blot

1:1000-1:10000

Formulation, Preparation, and Storage

Purification

Antigen Affinity-purified

Formulation

PBS, 20% Glycerol

Format

BSA Free

Preservative

0.025% Proclin 300

Concentration

Concentrations vary lot to lot. See vial label for concentration. If unlisted please contact technical services.

Shipping

The product is shipped with polar packs. Upon receipt, store it immediately at the temperature recommended below.

Stability & Storage

Aliquot and store at -20C or -80C. Avoid freeze-thaw cycles.

Background: UDP glucose dehydrogenase

The protein encoded by this gene converts UDP-glucose to UDP-glucuronate and thereby participates in the biosynthesis of glycosaminoglycans such as hyaluronan, chondroitin sulfate, and heparan sulfate. These glycosylated compounds are common components of the extracellular matrix and likely play roles in signal transduction, cell migration, and cancer growth and metastasis. The expression of this gene is up-regulated by transforming growth factor beta and down-regulated by hypoxia. [provided by RefSeq]

Alternate Names

EC 1.1.1.22, GDH, UDPGDHUDP-glucose dehydrogenase, UDP-Glc dehydrogenase, UDP-GlcDH, UDP-glucose 6-dehydrogenase, UGD, uridine diphospho-glucose dehydrogenase

Gene Symbol

UGDH

UniProt

Additional UDP glucose dehydrogenase Products

Product Documents for UDP glucose dehydrogenase Antibody - BSA Free

Certificate of Analysis

To download a Certificate of Analysis, please enter a lot number in the search box below.

Product Specific Notices for UDP glucose dehydrogenase Antibody - BSA Free

This product is for research use only and is not approved for use in humans or in clinical diagnosis. Primary Antibodies are guaranteed for 1 year from date of receipt.

Loading...
Loading...
Loading...
Loading...

⚠ WARNING: This product can expose you to chemicals including mercury, which is known to the State of California to cause reproductive toxicity with developmental effects.  For more information go to www.P65Warnings.ca.gov.