Skip to main content

UCK Antibody (OTI1A12)

Novus Biologicals, part of Bio-Techne | Catalog # NBP2-02875

Novus Biologicals, part of Bio-Techne
Catalog #
Availability
Size / Price
Qty
Loading...
NBP2-02875

Key Product Details

Species Reactivity

Human, Mouse, Rat

Applications

Western Blot, Flow Cytometry, Immunocytochemistry/ Immunofluorescence

Label

Unconjugated

Antibody Source

Monoclonal Mouse IgG1 Clone # OTI1A12

Concentration

0.43 mg/ml

Product Specifications

Immunogen

Full length human recombinant protein of human UCK1 (NP_113620) produced in HEK293T cell.

Reactivity Notes

Please note that this antibody is reactive to Mouse and derived from the same host, Mouse. Mouse-On-Mouse blocking reagent may be needed for IHC and ICC experiments to reduce high background signal. You can find these reagents under catalog numbers PK-2200-NB and MP-2400-NB. Please contact Technical Support if you have any questions.

Clonality

Monoclonal

Host

Mouse

Isotype

IgG1

Theoretical MW

31.3 kDa.
Disclaimer note: The observed molecular weight of the protein may vary from the listed predicted molecular weight due to post translational modifications, post translation cleavages, relative charges, and other experimental factors.

Description

Novus Biologicals Mouse UCK Antibody (OTI1A12) (NBP2-02875) is a monoclonal antibody validated for use in WB, Flow and ICC/IF. All Novus Biologicals antibodies are covered by our 100% guarantee.

Scientific Data Images for UCK Antibody (OTI1A12)

Western Blot: UCK Antibody (OTI1A12) [NBP2-02875]

Western Blot: UCK Antibody (OTI1A12) [NBP2-02875]

Western Blot: UCK Antibody (1A12) [NBP2-02875] - HEK293T cells were transfected with the pCMV6-ENTRY control (Left lane) or pCMV6-ENTRY UCK (Right lane) cDNA for 48 hrs and lysed. Equivalent amounts of cell lysates (5 ug per lane) were separated by SDS-PAGE and immunoblotted with anti-UCK.
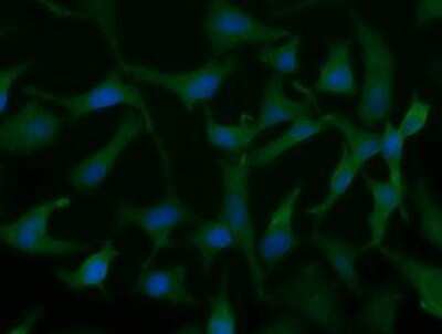
Immunocytochemistry/Immunofluorescence: UCK Antibody (1A12) [NBP2-02875] Immunofluorescent staining of HeLa cells using anti-UCK mouse monoclonal antibody.
Flow Cytometry: UCK Antibody (OTI1A12) [NBP2-02875]

Flow Cytometry: UCK Antibody (OTI1A12) [NBP2-02875]

Flow Cytometry: UCK Antibody (1A12) [NBP2-02875] - Analysis of Jurkat cells, using anti-UCK antibody, (Red), compared to a nonspecific negative control antibody (Blue).

Applications for UCK Antibody (OTI1A12)

Application
Recommended Usage

Flow Cytometry

1:100

Immunocytochemistry/ Immunofluorescence

1:100

Western Blot

1:2000

Formulation, Preparation, and Storage

Purification

Immunogen affinity purified

Formulation

PBS (pH 7.3), 1.0% BSA and 50% Glycerol

Preservative

0.02% Sodium Azide

Concentration

0.43 mg/ml

Shipping

The product is shipped with polar packs. Upon receipt, store it immediately at the temperature recommended below.

Stability & Storage

Store at -20C. Avoid freeze-thaw cycles.

Background: UCK

Uridine/cytidine kinase-1 (EC 2.7.1.48) is a pyrimidine ribonucleoside kinase that catalyzes the phosphorylation of uridine and cytidine to form uridine monophosphate (UMP) and cytidine monophosphate (CMP) (Van Rompay et al., 2001 [PubMed 11306702]).[supplied by OMIM].

Alternate Names

Cytidine monophosphokinase 1, EC 2.7.1.48, FLJ12255, Uridine monophosphokinase 1, uridine-cytidine kinase 1, URK1UCK 1

Entrez Gene IDs

83549 (Human)

Gene Symbol

UCK1

Additional UCK Products

Product Documents for UCK Antibody (OTI1A12)

Certificate of Analysis

To download a Certificate of Analysis, please enter a lot number in the search box below.

Product Specific Notices for UCK Antibody (OTI1A12)

This product is for research use only and is not approved for use in humans or in clinical diagnosis. Primary Antibodies are guaranteed for 1 year from date of receipt.

Loading...
Loading...
Loading...
Loading...
Loading...