Skip to main content

UBL3 Antibody - BSA Free

Novus Biologicals, part of Bio-Techne | Catalog # NBP3-38069

Novus Biologicals, part of Bio-Techne
Catalog #
Availability
Size / Price
Qty
Loading...
NBP3-38069-100ul
NBP3-38069-20ul

Key Product Details

Species Reactivity

Human, Mouse, Rat

Applications

Immunohistochemistry, Immunohistochemistry-Paraffin, Western Blot, ELISA

Label

Unconjugated

Antibody Source

Polyclonal Rabbit IgG

Format

BSA Free

Concentration

Please see the vial label for concentration. If unlisted please contact technical services.

Product Specifications

Immunogen

Recombinant fusion protein containing a sequence corresponding to amino acids 1-117 of human UBL3 (NP_009037.1).

Sequence:
MSSNVPADMINLRLILVSGKTKEFLFSPNDSASDIAKHVYDNWPMDWEEEQVSSPNILRLIYQGRFLHGNVTLGALKLPFGKTTVMHLVARETLPEPNSQGQRNREKTGESNCCVIL

Clonality

Polyclonal

Host

Rabbit

Isotype

IgG

Theoretical MW

13 kDa.
Disclaimer note: The observed molecular weight of the protein may vary from the listed predicted molecular weight due to post translational modifications, post translation cleavages, relative charges, and other experimental factors.

Description

Novus Biologicals Rabbit UBL3 Antibody - BSA Free (NBP3-38069) is a polyclonal antibody validated for use in IHC, WB and ELISA. All Novus Biologicals antibodies are covered by our 100% guarantee.

Scientific Data Images for UBL3 Antibody - BSA Free

UBL3 Antibody

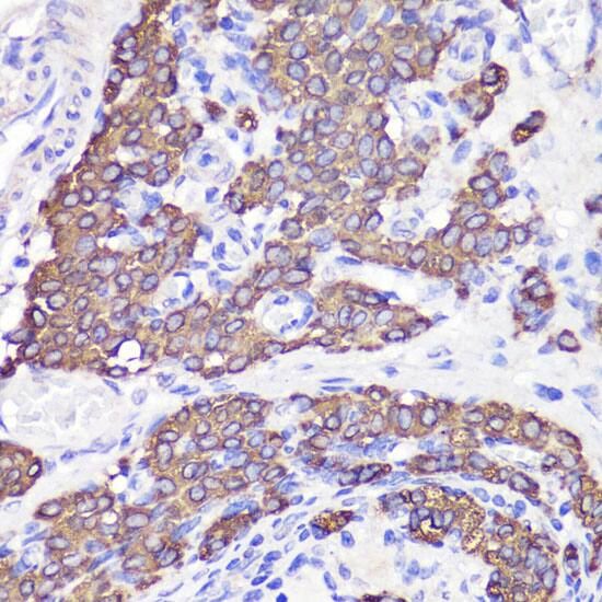
Immunohistochemistry: UBL3 Antibody [NBP3-38069] -

Immunohistochemistry: UBL3 Antibody [NBP3-38069] - Immunohistochemistry analysis of paraffin-embedded Human stomach using UBL3 Rabbit pAb at dilution of 1:100 (40x lens). Microwave antigen retrieval performed with 0.01M PBS Buffer (pH 7.2) prior to IHC staining.
UBL3 Antibody

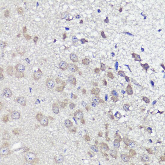
Immunohistochemistry: UBL3 Antibody [NBP3-38069] -

Immunohistochemistry: UBL3 Antibody [NBP3-38069] - Immunohistochemistry analysis of paraffin-embedded Mouse brain using UBL3 Rabbit pAb at dilution of 1:100 (40x lens). Microwave antigen retrieval performed with 0.01M PBS Buffer (pH 7.2) prior to IHC staining.
UBL3 Antibody

Immunohistochemistry: UBL3 Antibody [NBP3-38069] -

Immunohistochemistry: UBL3 Antibody [NBP3-38069] - Immunohistochemistry analysis of paraffin-embedded Rat testis using UBL3 Rabbit pAb at dilution of 1:100 (40x lens). Microwave antigen retrieval performed with 0.01M PBS Buffer (pH 7.2) prior to IHC staining.

Applications for UBL3 Antibody - BSA Free

Application
Recommended Usage

ELISA

Recommended starting concentration is 1 ug/mL

Immunohistochemistry-Paraffin

1:50 - 1:200

Western Blot

1:1000 - 1:2000

Formulation, Preparation, and Storage

Purification

Affinity purified

Formulation

PBS (pH 7.3), 50% glycerol

Format

BSA Free

Preservative

0.02% Sodium Azide

Concentration

Please see the vial label for concentration. If unlisted please contact technical services.

Shipping

The product is shipped with polar packs. Upon receipt, store it immediately at the temperature recommended below.

Stability & Storage

Store at -20C. Avoid freeze-thaw cycles.

Background: UBL3

UBL3( AAH59385, 1 a.a. - 118 a.a.) full-length recombinant protein with GST.

Alternate Names

DKFZp434K151, FLJ32018, HCG-1, hsMUB, Membrane-anchored ubiquitin-fold protein, MUB, PNSC1, Protein HCG-1, ubiquitin-like 3, ubiquitin-like protein 3

Gene Symbol

UBL3

Additional UBL3 Products

Product Documents for UBL3 Antibody - BSA Free

Certificate of Analysis

To download a Certificate of Analysis, please enter a lot number in the search box below.

Product Specific Notices for UBL3 Antibody - BSA Free

This product is for research use only and is not approved for use in humans or in clinical diagnosis. Primary Antibodies are guaranteed for 1 year from date of receipt.

Loading...
Loading...
Loading...
Loading...