Skip to main content

UBE2S Antibody - BSA Free

Novus Biologicals, part of Bio-Techne | Catalog # NBP2-38822

Novus Biologicals, part of Bio-Techne
Catalog #
Availability
Size / Price
Qty
Loading...
NBP2-38822-25ul
NBP2-38822

Key Product Details

Species Reactivity

Validated:

Human

Predicted:

Mouse (100%), Rat (100%). Backed by our 100% Guarantee.

Applications

Immunohistochemistry, Immunohistochemistry-Paraffin, Immunocytochemistry/ Immunofluorescence

Label

Unconjugated

Antibody Source

Polyclonal Rabbit IgG

Format

BSA Free

Concentration

Concentrations vary lot to lot. See vial label for concentration. If unlisted please contact technical services.

Product Specifications

Immunogen

This antibody was developed against a recombinant protein corresponding to amino acids: MNSNVENLPPHIIRLVYKEVTTLTADPPDGIKVFPN

Clonality

Polyclonal

Host

Rabbit

Isotype

IgG

Description

Novus Biologicals Rabbit UBE2S Antibody - BSA Free (NBP2-38822) is a polyclonal antibody validated for use in IHC and ICC/IF. All Novus Biologicals antibodies are covered by our 100% guarantee.

Scientific Data Images for UBE2S Antibody - BSA Free

Immunocytochemistry/ Immunofluorescence: UBE2S Antibody [NBP2-38822]

Immunocytochemistry/ Immunofluorescence: UBE2S Antibody [NBP2-38822]

Immunocytochemistry/Immunofluorescence: UBE2S Antibody [NBP2-38822] - Staining of human cell line U-2 OS shows localization to plasma membrane. Antibody staining is shown in green.
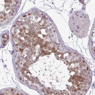
Immunohistochemistry-Paraffin: UBE2S Antibody [NBP2-38822]

Immunohistochemistry-Paraffin: UBE2S Antibody [NBP2-38822]

Immunohistochemistry-Paraffin: UBE2S Antibody [NBP2-38822] - Staining of human testis shows moderate nuclear and cytoplasmic positivity in cells in seminiferous ducts.

Applications for UBE2S Antibody - BSA Free

Application
Recommended Usage

Immunocytochemistry/ Immunofluorescence

0.25-2 ug/ml

Immunohistochemistry

1:50 - 1:200

Immunohistochemistry-Paraffin

1:50 - 1:200
Application Notes
For IHC-Paraffin, HIER pH 6 retrieval is recommended. ICC/IF Fixation Permeabilization: Use PFA/Triton X-100.

Formulation, Preparation, and Storage

Purification

Affinity purified

Formulation

PBS (pH 7.2) and 40% Glycerol

Format

BSA Free

Preservative

0.02% Sodium Azide

Concentration

Concentrations vary lot to lot. See vial label for concentration. If unlisted please contact technical services.

Shipping

The product is shipped with polar packs. Upon receipt, store it immediately at the temperature recommended below.

Stability & Storage

Store at 4C short term. Aliquot and store at -20C long term. Avoid freeze-thaw cycles.

Background: UBE2S

UBE2S, also known as ubiquitin-conjugating enzyme E2S, is a member of the ubiquitin-conjugating enzyme family. This protein is able to form a thiol ester linkage with ubiquitin in an ubiquitin activating enzyme-dependent manner, a characteristic property of ubiquitin carrier proteins. It catalyzes the covalent attachment of ubiquitin to other proteins.

Long Name

Ubiquitin-conjugating Enzyme E2S

Alternate Names

E2-24K, E2-EPF, E2-EPF52, EPF5

Gene Symbol

UBE2S

UniProt

Additional UBE2S Products

Product Documents for UBE2S Antibody - BSA Free

Certificate of Analysis

To download a Certificate of Analysis, please enter a lot number in the search box below.

Product Specific Notices for UBE2S Antibody - BSA Free

This product is for research use only and is not approved for use in humans or in clinical diagnosis. Primary Antibodies are guaranteed for 1 year from date of receipt.

Loading...
Loading...
Loading...
Loading...