Skip to main content

UBE2I/Ubc9 Antibody - BSA Free

Novus Biologicals, part of Bio-Techne | Catalog # NBP2-93799

Novus Biologicals, part of Bio-Techne
Catalog #
Availability
Size / Price
Qty
Loading...
NBP2-93799-0.02ml
NBP2-93799-0.1ml

Key Product Details

Species Reactivity

Human, Mouse, Rat

Applications

Immunocytochemistry/ Immunofluorescence, Immunohistochemistry, Immunohistochemistry-Paraffin, Western Blot

Label

Unconjugated

Antibody Source

Polyclonal Rabbit IgG

Format

BSA Free

Concentration

Please see the vial label for concentration. If unlisted please contact technical services.

Product Specifications

Immunogen

Recombinant fusion protein containing a sequence corresponding to amino acids 1-158 of human UBE2I (NP_003336.1). MSGIALSRLAQERKAWRKDHPFGFVAVPTKNPDGTMNLMNWECAIPGKKGTPWEGGLFKLRMLFKDDYPSSPPKCKFEPPLFHPNVYPSGTVCLSILEEDKDWRPAITIKQILLGIQELLNEPNIQDPAQAEAYTIYCQNRVEYEKRVRAQAKKFAPS

Clonality

Polyclonal

Host

Rabbit

Isotype

IgG

Theoretical MW

18 kDa.
Disclaimer note: The observed molecular weight of the protein may vary from the listed predicted molecular weight due to post translational modifications, post translation cleavages, relative charges, and other experimental factors.

Description

Novus Biologicals Rabbit UBE2I/Ubc9 Antibody - BSA Free (NBP2-93799) is a polyclonal antibody validated for use in IHC, WB and ICC/IF. All Novus Biologicals antibodies are covered by our 100% guarantee.

Scientific Data Images for UBE2I/Ubc9 Antibody - BSA Free

Western Blot: UBE2I/Ubc9 AntibodyBSA Free [NBP2-93799]

Western Blot: UBE2I/Ubc9 AntibodyBSA Free [NBP2-93799]

Western Blot: UBE2I/Ubc9 Antibody [NBP2-93799] - Western blot analysis of extracts of various cell lines, using (NBP2-93799) at 1:1000 dilution. Secondary antibody: HRP Goat Anti-Rabbit IgG (H+L) at 1:10000 dilution. Lysates/proteins: 25ug per lane. Blocking buffer: 3% nonfat dry milk in TBST. Detection: ECL Basic Kit. Exposure time: 30s.
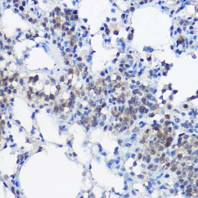
Immunohistochemistry-Paraffin: UBE2I/Ubc9 Antibody - BSA Free [NBP2-93799]

Immunohistochemistry-Paraffin: UBE2I/Ubc9 Antibody - BSA Free [NBP2-93799]

Immunohistochemistry-Paraffin: UBE2I/Ubc9 Antibody [NBP2-93799] - Immunohistochemistry of paraffin-embedded rat lung using UBE2I/Ubc9 Rabbit pAb (NBP2-93799) at dilution of 1:100 (40x lens). Perform high pressure antigen retrieval with 10 mM citrate buffer pH 6.0 before commencing with IHC staining protocol.

Applications for UBE2I/Ubc9 Antibody - BSA Free

Application
Recommended Usage

Immunocytochemistry/ Immunofluorescence

1:50 - 1:200

Immunohistochemistry

1:50 - 1:200

Western Blot

1:500 - 1:1000

Formulation, Preparation, and Storage

Purification

Affinity purified

Formulation

PBS (pH 7.3), 50% glycerol

Format

BSA Free

Preservative

0.02% Sodium Azide

Concentration

Please see the vial label for concentration. If unlisted please contact technical services.

Shipping

The product is shipped with polar packs. Upon receipt, store it immediately at the temperature recommended below.

Stability & Storage

Store at -20C. Avoid freeze-thaw cycles.

Background: UBE2I/Ubc9

The modification of proteins with ubiquitin is an important cellular mechanism for targeting abnormal or short-lived proteins for degradation. Ubiquitination involves at least three classes of enzymes: ubiquitin-activating enzymes, or E1s, ubiquitin-conjugating enzymes, or E2s, and ubiquitin-protein ligases, or E3s. This gene encodes a member of the E2 ubiquitin-conjugating enzyme family. Four alternatively spliced transcript variants encoding the same protein have been found for this gene. Catalyzes the covalent attachment of ubiquitin-like protein SUMO-1 to other proteins. Forms a tight complex in association with two RAN GTPase interacting proteins, RANGAP1 and RANBP2. Interacts with E1A and E2A. Interacts with HIPK1 and HIPK2. Interacts with SIAH1 and PARP. Expressed in heart, skeletal muscle, pancreas, kidney, liver, lung, placenta and brain. Also expressed in testis and thymus.

Long Name

Ubiquitin-conjugating Enzyme E2I

Alternate Names

p18, SUMO-protein Ligase, Ubc9, UBCE9

Gene Symbol

UBE2I

Additional UBE2I/Ubc9 Products

Product Documents for UBE2I/Ubc9 Antibody - BSA Free

Certificate of Analysis

To download a Certificate of Analysis, please enter a lot number in the search box below.

Product Specific Notices for UBE2I/Ubc9 Antibody - BSA Free

This product is for research use only and is not approved for use in humans or in clinical diagnosis. Primary Antibodies are guaranteed for 1 year from date of receipt.

Loading...
Loading...
Loading...
Loading...