UBE2I/Ubc9 Antibody (6Z9V6)
Novus Biologicals, part of Bio-Techne | Catalog # NBP3-16400
Recombinant Monoclonal Antibody
Key Product Details
Species Reactivity
Human, Mouse, Rat
Applications
Immunohistochemistry, Immunohistochemistry-Paraffin, Western Blot
Label
Unconjugated
Antibody Source
Recombinant Monoclonal Rabbit IgG Clone # 6Z9V6 expressed in HEK293
Concentration
Please see the vial label for concentration. If unlisted please contact technical services.
Product Specifications
Immunogen
A synthetic peptide corresponding to a sequence within amino acids 1-100 of human UBE2I/Ubc9 (P63279). MSGIALSRLAQERKAWRKDHPFGFVAVPTKNPDGTMNLMNWECAIPGKKGTPWEGGLFKLRMLFKDDYPSSPPKCKFEPPLFHPNVYPSGTVCLSILEED
Clonality
Monoclonal
Host
Rabbit
Isotype
IgG
Description
Novus Biologicals Rabbit UBE2I/Ubc9 Antibody (6Z9V6) (NBP3-16400) is a recombinant monoclonal antibody validated for use in IHC and WB. All Novus Biologicals antibodies are covered by our 100% guarantee.
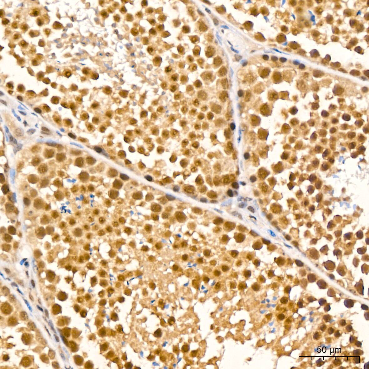
Scientific Data Images for UBE2I/Ubc9 Antibody (6Z9V6)
Western Blot: UBE2I/Ubc9 Antibody (6Z9V6) [NBP3-16400]
Western Blot: UBE2I/Ubc9 Antibody (6Z9V6) [NBP3-16400] - Western blot analysis of extracts of various cell lines, using UBE2I/Ubc9 Rabbit mAb (NBP3-16400) at 1:1000 dilution. Secondary antibody: HRP Goat Anti-Rabbit IgG (H+L) at 1:10000 dilution. Lysates/proteins: 25ug per lane. Blocking buffer: 3% nonfat dry milk in TBST. Detection: ECL Basic Kit. Exposure time: 1s.Western Blot: UBE2I/Ubc9 Antibody (6Z9V6) [NBP3-16400]
Western Blot: UBE2I/Ubc9 Antibody (6Z9V6) [NBP3-16400] - Western blot analysis of extracts of HeLa cells, using UBE2I/Ubc9 Rabbit mAb (NBP3-16400) at 1:1000 dilution. Secondary antibody: HRP Goat Anti-Rabbit IgG (H+L) at 1:10000 dilution. Lysates/proteins: 25ug per lane. Blocking buffer: 3% nonfat dry milk in TBST. Detection: ECL Basic Kit. Exposure time: 30s.Immunohistochemistry: UBE2I/Ubc9 Antibody (6Z9V6) [NBP3-16400] -
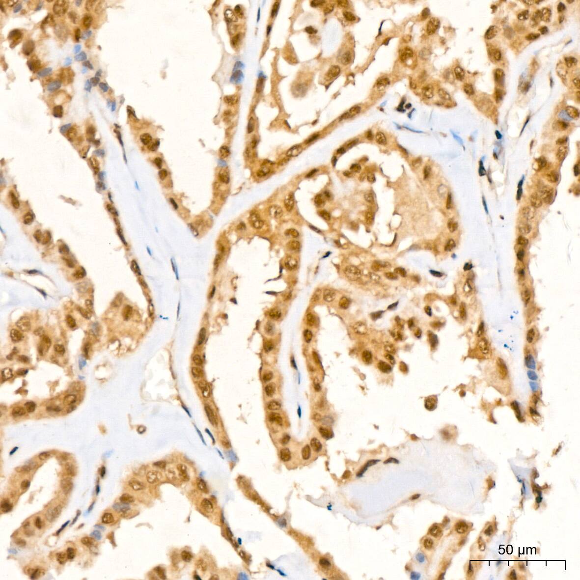
Immunohistochemistry: UBE2I/Ubc9 Antibody (6Z9V6) [NBP3-16400] - Immunohistochemistry analysis of UBE2I/Ubc9 in paraffin-embedded human thyroid cancer tissue using UBE2I/Ubc9 Rabbit mAb at a dilution of 1:200 (40x lens).High pressure antigen retrieval was performed with 0.01 M citrate buffer (pH 6.0) prior to IHC staining.Applications for UBE2I/Ubc9 Antibody (6Z9V6)
Application
Recommended Usage
Immunohistochemistry
1:50 - 1:200
Western Blot
1:500 - 1:1000
Formulation, Preparation, and Storage
Purification
Affinity purified
Formulation
PBS (pH 7.3), 50% glycerol, 0.05% BSA
Preservative
0.02% Sodium Azide
Concentration
Please see the vial label for concentration. If unlisted please contact technical services.
Shipping
The product is shipped with polar packs. Upon receipt, store it immediately at the temperature recommended below.
Stability & Storage
Store at -20C. Avoid freeze-thaw cycles.
Background: UBE2I/Ubc9
Long Name
Ubiquitin-conjugating Enzyme E2I
Alternate Names
p18, SUMO-protein Ligase, Ubc9, UBCE9
Gene Symbol
UBE2I
Additional UBE2I/Ubc9 Products
Product Documents for UBE2I/Ubc9 Antibody (6Z9V6)
Product Specific Notices for UBE2I/Ubc9 Antibody (6Z9V6)
This product is for research use only and is not approved for use in humans or in clinical diagnosis. Primary Antibodies are guaranteed for 1 year from date of receipt.
Loading...
Loading...
Loading...
Loading...