Skip to main content

UBE2G2 Antibody (5E1) - Azide and BSA Free

Novus Biologicals, part of Bio-Techne | Catalog # H00007327-M01

Novus Biologicals, part of Bio-Techne
Catalog #
Availability
Size / Price
Qty
Loading...
H00007327-M01

Key Product Details

Species Reactivity

Human

Applications

Immunohistochemistry, Immunohistochemistry-Paraffin, Western Blot, ELISA, Sandwich ELISA

Label

Unconjugated

Antibody Source

Monoclonal Mouse IgG2a Kappa Clone # 5E1

Format

Azide and BSA Free

Concentration

Concentrations vary lot to lot. See vial label for concentration. If unlisted please contact technical services.

Product Specifications

Immunogen

UBE2G2 (NP_003329, 1 a.a. ~ 87 a.a) partial recombinant protein with GST tag. MW of the GST tag alone is 26 KDa. MAGTALKRLMAEYKQLTLNPPEGIVAGPMNEENFFEWEALIMGPEDTCFEFGVFPAILSFPLDYPLSPPKMRFTCEMFHPNIYPDGR

Specificity

UBE2G2 - ubiquitin-conjugating enzyme E2G 2 (UBC7 homolog, yeast)

Clonality

Monoclonal

Host

Mouse

Isotype

IgG2a Kappa

Description

Quality control test: Antibody Reactive Against Recombinant Protein.

Scientific Data Images for UBE2G2 Antibody (5E1) - Azide and BSA Free

Western Blot: UBE2G2 Antibody (5E1) [H00007327-M01]

Western Blot: UBE2G2 Antibody (5E1) [H00007327-M01]

Western Blot: UBE2G2 Antibody (5E1) [H00007327-M01] - UBE2G2 monoclonal antibody (M01), clone 5E1 Analysis of UBE2G2 expression in HeLa.
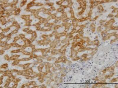
Immunohistochemistry-Paraffin: UBE2G2 Antibody (5E1) [H00007327-M01]

Immunohistochemistry-Paraffin: UBE2G2 Antibody (5E1) [H00007327-M01]

Immunohistochemistry-Paraffin: UBE2G2 Antibody (5E1) [H00007327-M01] - Analysis of monoclonal antibody to UBE2G2 on formalin-fixed paraffin-embedded human liver. Antibody concentration 1 ug/ml.
Western Blot: UBE2G2 Antibody (5E1) [H00007327-M01]

Western Blot: UBE2G2 Antibody (5E1) [H00007327-M01]

Western Blot: UBE2G2 Antibody (5E1) [H00007327-M01] - Analysis of UBE2G2 expression in transfected 293T cell line by UBE2G2 monoclonal antibody (M01), clone 5E1.Lane 1: UBE2G2 transfected lysate(15.6 KDa).Lane 2: Non-transfected lysate.

Applications for UBE2G2 Antibody (5E1) - Azide and BSA Free

Application
Recommended Usage

ELISA

Optimal dilutions of this antibody should be experimentally determined.

Immunohistochemistry

Optimal dilutions of this antibody should be experimentally determined.

Immunohistochemistry-Paraffin

Optimal dilutions of this antibody should be experimentally determined.

Sandwich ELISA

Optimal dilutions of this antibody should be experimentally determined.

Western Blot

Optimal dilutions of this antibody should be experimentally determined.
Application Notes
Antibody reactivity against cell lysate and recombinant protein for WB. It has also been used for IHC-P and ELISA.

Formulation, Preparation, and Storage

Purification

IgG purified

Formulation

In 1x PBS, pH 7.4

Format

Azide and BSA Free

Preservative

No Preservative

Concentration

Concentrations vary lot to lot. See vial label for concentration. If unlisted please contact technical services.

Shipping

The product is shipped with polar packs. Upon receipt, store it immediately at the temperature recommended below.

Stability & Storage

Aliquot and store at -20C or -80C. Avoid freeze-thaw cycles.

Background: UBE2G2

The modification of proteins with ubiquitin is an important cellular mechanism for targeting abnormal or short-lived proteins for degradation. Ubiquitination involves at least three classes of enzymes: ubiquitin-activating enzymes, or E1s, ubiquitin-conjugating enzymes, or E2s, and ubiquitin-protein ligases, or E3s. This gene encodes a member of the E2 ubiquitin-conjugating enzyme family. The encoded protein shares 100% sequence identity with the mouse counterpart. This gene is ubiquitously expressed, with high expression seen in adult muscle. Two alternatively spliced transcript variants encoding distinct isoforms have been found for this gene.

Long Name

Ubiquitin-conjugating Enzyme E2G 2

Alternate Names

UBC7

Entrez Gene IDs

7327 (Human)

Gene Symbol

UBE2G2

OMIM

603124 (Human)

Additional UBE2G2 Products

Product Documents for UBE2G2 Antibody (5E1) - Azide and BSA Free

Certificate of Analysis

To download a Certificate of Analysis, please enter a lot number in the search box below.

Product Specific Notices for UBE2G2 Antibody (5E1) - Azide and BSA Free

This product is produced by and distributed for Abnova, a company based in Taiwan.

This product is for research use only and is not approved for use in humans or in clinical diagnosis. Primary Antibodies are guaranteed for 1 year from date of receipt.

Loading...
Loading...
Loading...
Loading...