UbcH10/UBE2C Antibody (1F5D3) - BSA Free
Novus Biologicals, part of Bio-Techne | Catalog # NBP2-52580
Key Product Details
Species Reactivity
Human
Applications
Immunohistochemistry, Immunohistochemistry-Paraffin, Western Blot, ELISA
Label
Unconjugated
Antibody Source
Monoclonal Mouse IgG2A Clone # 1F5D3
Format
BSA Free
Concentration
1 mg/ml
Product Specifications
Immunogen
Purified recombinant fragment of human UbcH10/UBE2C (AA: FULL(1-179)) expressed in E. Coli.
Clonality
Monoclonal
Host
Mouse
Isotype
IgG2A
Theoretical MW
19.7 kDa.
Disclaimer note: The observed molecular weight of the protein may vary from the listed predicted molecular weight due to post translational modifications, post translation cleavages, relative charges, and other experimental factors.
Disclaimer note: The observed molecular weight of the protein may vary from the listed predicted molecular weight due to post translational modifications, post translation cleavages, relative charges, and other experimental factors.
Description
Novus Biologicals Mouse UbcH10/UBE2C Antibody (1F5D3) - BSA Free (NBP2-52580) is a monoclonal antibody validated for use in IHC, WB and ELISA. All Novus Biologicals antibodies are covered by our 100% guarantee.
Scientific Data Images for UbcH10/UBE2C Antibody (1F5D3) - BSA Free
Western Blot: UbcH10/UBE2C Antibody (1F5D3)BSA Free [NBP2-52580]
Western Blot: UbcH10/UBE2C Antibody (1F5D3) [NBP2-52580] - Analysis using UBE2C mouse mAb against Hela (1), and Raji (2) cell lysate.Immunohistochemistry-Paraffin: UbcH10/UBE2C Antibody (1F5D3) - BSA Free [NBP2-52580]
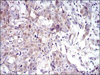
Immunohistochemistry-Paraffin: UbcH10/UBE2C Antibody (1F5D3) [NBP2-52580] - Analysis of paraffin-embedded esophageal cancer tissues using UBE2C mouse mAb with DAB staining.Western Blot: UbcH10/UBE2C Antibody (1F5D3)BSA Free [NBP2-52580]
Western Blot: UbcH10/UBE2C Antibody (1F5D3) [NBP2-52580] - Analysis using UBE2C mAb against human UBE2C (AA: FULL(1-179)) recombinant protein. (Expected MW is 45.6 kDa)Applications for UbcH10/UBE2C Antibody (1F5D3) - BSA Free
Application
Recommended Usage
ELISA
1:10000
Immunohistochemistry
1:200-1:1000
Western Blot
1:500-1:2000
Formulation, Preparation, and Storage
Purification
Protein G purified
Formulation
PBS
Format
BSA Free
Preservative
0.05% Sodium Azide
Concentration
1 mg/ml
Shipping
The product is shipped with polar packs. Upon receipt, store it immediately at the temperature recommended below.
Stability & Storage
Store at 4C short term. Aliquot and store at -20C long term. Avoid freeze-thaw cycles.
Background: UbcH10/UBE2C
Alternate Names
UBE2C
Gene Symbol
UBE2C
Additional UbcH10/UBE2C Products
Product Documents for UbcH10/UBE2C Antibody (1F5D3) - BSA Free
Product Specific Notices for UbcH10/UBE2C Antibody (1F5D3) - BSA Free
This product is for research use only and is not approved for use in humans or in clinical diagnosis. Primary Antibodies are guaranteed for 1 year from date of receipt.
Loading...
Loading...
Loading...
Loading...