U11/U12-35K Antibody - BSA Free
Novus Biologicals, part of Bio-Techne | Catalog # NBP2-20774
Key Product Details
Species Reactivity
Validated:
Human, Mouse
Predicted:
Bovine (90%). Backed by our 100% Guarantee.
Applications
Immunohistochemistry, Immunohistochemistry-Paraffin, Western Blot, Immunocytochemistry/ Immunofluorescence
Label
Unconjugated
Antibody Source
Polyclonal Rabbit IgG
Format
BSA Free
Concentration
Concentrations vary lot to lot. See vial label for concentration. If unlisted please contact technical services.
Product Specifications
Immunogen
Recombinant protein encompassing a sequence within the center region of human U11/U12-35K. The exact sequence is proprietary.
Localization
Nucleus
Clonality
Polyclonal
Host
Rabbit
Isotype
IgG
Theoretical MW
30 kDa.
Disclaimer note: The observed molecular weight of the protein may vary from the listed predicted molecular weight due to post translational modifications, post translation cleavages, relative charges, and other experimental factors.
Disclaimer note: The observed molecular weight of the protein may vary from the listed predicted molecular weight due to post translational modifications, post translation cleavages, relative charges, and other experimental factors.
Description
Novus Biologicals Rabbit U11/U12-35K Antibody - BSA Free (NBP2-20774) is a polyclonal antibody validated for use in IHC, WB and ICC/IF. All Novus Biologicals antibodies are covered by our 100% guarantee.
Scientific Data Images for U11/U12-35K Antibody - BSA Free
Western Blot: U11/U12-35K Antibody [NBP2-20774]
Western Blot: U11/U12-35K Antibody [NBP2-20774] - Sample (50 ug of whole cell lysate) A: Mouse Brain, 12% SDS PAGE gel, diluted at 1:1000.Immunohistochemistry-Paraffin: U11/U12-35K Antibody [NBP2-20774]
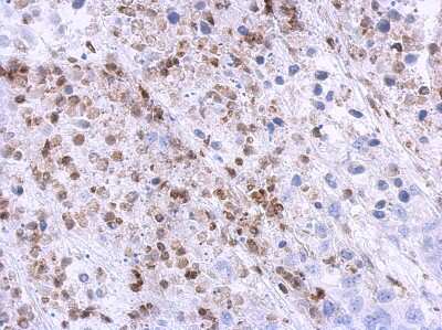
Immunohistochemistry-Paraffin: U11/U12-35K Antibody [NBP2-20774] - Immunohistochemical analysis of paraffin-embedded Hela xenograft, using antibody at 1:500 dilution.Western Blot: U11/U12-35K Antibody [NBP2-20774]
Western Blot: U11/U12-35K Antibody [NBP2-20774] - Sample (30 ug of whole cell lysate) A: U87-MG 12% SDS PAGE gel, diluted at 1:1000.Applications for U11/U12-35K Antibody - BSA Free
Application
Recommended Usage
Immunocytochemistry/ Immunofluorescence
1:100-1:1000
Immunohistochemistry
10 - 1:500
Immunohistochemistry-Paraffin
1:100-1:1000
Western Blot
1:500-1:3000
Formulation, Preparation, and Storage
Purification
Antigen Affinity-purified
Formulation
0.1M Tris, 0.1M Glycine, 20% Glycerol
Format
BSA Free
Preservative
0.01% Thimerosal
Concentration
Concentrations vary lot to lot. See vial label for concentration. If unlisted please contact technical services.
Shipping
The product is shipped with polar packs. Upon receipt, store it immediately at the temperature recommended below.
Stability & Storage
Aliquot and store at -20C or -80C. Avoid freeze-thaw cycles.
Background: U11/U12-35K
Alternate Names
HM1, HM-1, MGC138160, Protein HM-1, small nuclear ribonucleoprotein 35kDa (U11/U12), U1 snRNP-binding protein homolog, U11/U12 small nuclear ribonucleoprotein 35 kDa protein, U11/U12 snRNP 35 kDa protein, U11/U12 snRNP 35K, U11/U12-35K, U1-snRNP binding protein homolog, U1SNRNPBPU1 snRNP binding protein homolog
Gene Symbol
SNRNP35
UniProt
Additional U11/U12-35K Products
Product Documents for U11/U12-35K Antibody - BSA Free
Product Specific Notices for U11/U12-35K Antibody - BSA Free
This product is for research use only and is not approved for use in humans or in clinical diagnosis. Primary Antibodies are guaranteed for 1 year from date of receipt.
Loading...
Loading...
Loading...
Loading...
⚠ WARNING: This product can expose you to chemicals including mercury, which is known to the State of California to cause reproductive toxicity with developmental effects. For more information go to www.P65Warnings.ca.gov.