Skip to main content

Tyrosine Hydroxylase Antibody (CL3049) - Azide and BSA Free

Novus Biologicals, part of Bio-Techne | Catalog # NBP3-44498

Novus Biologicals, part of Bio-Techne

Key Product Details

Species Reactivity

Human, Mouse, Rat

Applications

Immunohistochemistry-Paraffin

Label

Unconjugated

Antibody Source

Monoclonal Mouse IgG1 Clone # CL3049

Format

Azide and BSA Free

Concentration

LYOPH mg/ml

Product Specifications

Immunogen

This antibody was generated using a recombinant protein sequence of P07101, with the exact immunogen sequence remaining proprietary.

Clonality

Monoclonal

Host

Mouse

Isotype

IgG1

Description

Novus Biologicals Mouse Tyrosine Hydroxylase Antibody (CL3049) - Azide and BSA Free (NBP2-46647) is a monoclonal antibody validated for use in IHC. All Novus Biologicals antibodies are covered by our 100% guarantee.

Scientific Data Images for Tyrosine Hydroxylase Antibody (CL3049) - Azide and BSA Free

Tyrosine Hydroxylase Antibody (CL3049) - Azide and BSA Free Immunohistochemistry-Paraffin: Tyrosine Hydroxylase Antibody [NBP3-44498]

Immunohistochemistry-Paraffin: Tyrosine Hydroxylase Antibody [NBP3-44498]

Staining of human caudate nucleus shows moderate to strong positivity in monoaminergic neural fibers.
Tyrosine Hydroxylase Antibody (CL3049) - Azide and BSA Free Immunohistochemistry-Paraffin: Tyrosine Hydroxylase Antibody [NBP3-44498]

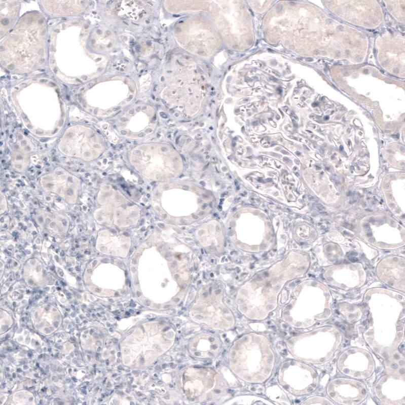
Immunohistochemistry-Paraffin: Tyrosine Hydroxylase Antibody [NBP3-44498]

Staining of human kidney shows no positivity in cells in tubules as expected.
Tyrosine Hydroxylase Antibody (CL3049) - Azide and BSA Free Immunohistochemistry-Paraffin: Tyrosine Hydroxylase Antibody [NBP3-44498]

Immunohistochemistry-Paraffin: Tyrosine Hydroxylase Antibody [NBP3-44498]

Staining of human prostate shows strong positivity in sympathetic peripheral nerves.

Applications for Tyrosine Hydroxylase Antibody (CL3049) - Azide and BSA Free

Application
Recommended Usage

Immunohistochemistry-Paraffin

1:500 - 1:1000
Application Notes
For IHC-Paraffin, HIER pH 6 retrieval is recommended.

Formulation, Preparation, and Storage

Purification

Protein A purified

Reconstitution

Centrifuge the vial of lyophilized antibody at 12,000 x g for 20 seconds. Reconstitute by adding sterile, distilled water to achieve a final antibody concentration of 1mg/ml.

Formulation

Lyophilized from a 0.2 um filtered solution in PBS with Trehalose

Format

Azide and BSA Free

Preservative

No Preservative

Concentration

LYOPH mg/ml

Shipping

The product is shipped at ambient temperature. Upon receipt, store it immediately at the temperature recommended below.

Stability & Storage

Store at 4C short term. Aliquot and store at -20C long term. Avoid freeze-thaw cycles.

Background: Tyrosine Hydroxylase

The tetrameric enzyme tyrosine hydroxylase (TH), also designated as tyrosine 3-monooxygenase (TY3H), is the rate-limiting enzyme for catecholamine biosynthesis and has a theoretical molecular weight of 60 kDa. Encoded by the TH gene, TH catalyzes the conversion of the amino acid L-tyrosine to L-3,4- dihydroxyphenylalanine (L-dopa) in the central nervous system and adrenal medulla. The precursor of catecholamines, L-dopa, is converted to dopamine for use in the biosynthesis of neurotransmitters norepinephrine (noradrenaline) and epinephrine (adrenaline) (1) . Dysfunction in the TH gene, and thus the enzymatic activity by TH, dysregulates catecholamine synthesis.

Two transcription factor binding sites in the proximal region of the TH gene, the TPA-responsive element (TRE) and the c-AMP responsive element (CRE), have been implicated in the complex regulation of the TH gene. Dysregulation of breakdown for the amino acid, tyrosine, by TH is a result of a genetic disorder that results in Tyrosinemia (high levels of tyrosine in the blood, tissue and organs).

Tyrosine hydroxylase deficiency is a disorder that primarily affects movement, where individuals display symptoms that include lack of coordination when walking, postural tremors and unusual body positioning. TH deficient dopamine-responsive dystonia (DRD), also known as Segawa syndrome, is a rare genetic disorder that is associated with low levels of TH and is diagnosed during childhood with characteristic symptoms including increased muscle tone (dystonia) and signs of Parkinsonism like bradykinesia, tremors, rigidity and postural instability (2). Correspondingly, TH is also linked to Parkinson's disease in older adults, where low dopamine levels are a consistent neurochemical abnormality. Functional polymorphisms of the TH gene may be involved in the pathogenesis of neuropsychiatric diseases such as schizophrenia and other affective disorders where dopamine is often dysregulated (3).

References

1. Hamanaka, Y., & Mizunami, M. (2019). Tyrosine hydroxylase-immunoreactive neurons in the mushroom body of the field cricket, Gryllus bimaculatus. Cell Tissue Res, 376(1), 97-111. doi:10.1007/s00441-018-2969-9

2. Li, L., & Zhou, F. M. (2013). Parallel dopamine D1 receptor activity dependence of l-Dopa-induced normal movement and dyskinesia in mice. Neuroscience, 236, 66-76. doi:10.1016/j.neuroscience.2012.12.065

3. Borkar, C. D., Bharne, A. P., Nagalakshmi, B., Sakharkar, A. J., Subhedar, N. K., & Kokare, D. M. (2018). Cocaine- and Amphetamine-Regulated Transcript Peptide (CART) Alleviates MK-801-Induced Schizophrenic Dementia-Like Symptoms. Neuroscience, 375, 94-107. doi:10.1016/j.neuroscience.2018.01.056

Alternate Names

TH, TYH

Gene Symbol

TH

Additional Tyrosine Hydroxylase Products

Product Documents for Tyrosine Hydroxylase Antibody (CL3049) - Azide and BSA Free

Certificate of Analysis

To download a Certificate of Analysis, please enter a lot number in the search box below.

Product Specific Notices for Tyrosine Hydroxylase Antibody (CL3049) - Azide and BSA Free

This product is for research use only and is not approved for use in humans or in clinical diagnosis. Primary Antibodies are guaranteed for 1 year from date of receipt.

Loading...
Loading...
Loading...
Loading...
Loading...