Skip to main content

TYKi Antibody (CL14479) - Azide and BSA Free

Novus Biologicals, part of Bio-Techne | Catalog # NBP3-44329

Novus Biologicals, part of Bio-Techne

Key Product Details

Species Reactivity

Human

Applications

Immunohistochemistry-Paraffin, Western Blot

Label

Unconjugated

Antibody Source

Monoclonal Mouse IgG1 Clone # CL14479

Format

Azide and BSA Free

Concentration

LYOPH mg/ml

Product Specifications

Immunogen

This antibody was generated using a synthetic peptide of Q5EBM0, with the exact immunogen sequence remaining proprietary.

Clonality

Monoclonal

Host

Mouse

Isotype

IgG1

Description

Novus Biologicals Mouse TYKi Antibody (CL14479) - Azide and BSA Free (NBP3-26857) is a monoclonal antibody validated for use in IHC and WB. All Novus Biologicals antibodies are covered by our 100% guarantee.

Scientific Data Images for TYKi Antibody (CL14479) - Azide and BSA Free

TYKi Antibody (CL14479) - Azide and BSA Free Immunohistochemistry-Paraffin: TYKi Antibody [NBP3-44329]

Immunohistochemistry-Paraffin: TYKi Antibody [NBP3-44329]

Staining of human salivary gland shows strong cytoplasmic positivity in glandular cells.
TYKi Antibody (CL14479) - Azide and BSA Free Immunohistochemistry-Paraffin: TYKi Antibody [NBP3-44329]

Immunohistochemistry-Paraffin: TYKi Antibody [NBP3-44329]

Staining of human skeletal muscle shows no positivity in myocytes as expected.
TYKi Antibody (CL14479) - Azide and BSA Free Immunohistochemistry-Paraffin: TYKi Antibody [NBP3-44329]

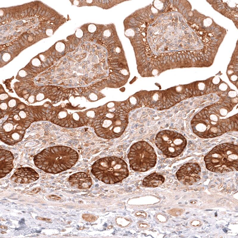
Immunohistochemistry-Paraffin: TYKi Antibody [NBP3-44329]

Staining of human small intestine shows strong cytoplasmic positivity in glandular cells.

Applications for TYKi Antibody (CL14479) - Azide and BSA Free

Application
Recommended Usage

Immunohistochemistry-Paraffin

1:200 - 1:500

Western Blot

1 ug/ml
Application Notes
For IHC-Paraffin, HIER pH 6 retrieval is recommended.

Formulation, Preparation, and Storage

Purification

Protein A purified

Reconstitution

Centrifuge the vial of lyophilized antibody at 12,000 x g for 20 seconds. Reconstitute by adding sterile, distilled water to achieve a final antibody concentration of 1mg/ml.

Formulation

Lyophilized from a 0.2 um filtered solution in PBS with Trehalose

Format

Azide and BSA Free

Preservative

No Preservative

Concentration

LYOPH mg/ml

Shipping

The product is shipped at ambient temperature. Upon receipt, store it immediately at the temperature recommended below.

Stability & Storage

Store at 4C short term. Aliquot and store at -20C long term. Avoid freeze-thaw cycles.

Background: TYKi

LOC129607 - hypothetical protein LOC129607

Alternate Names

cytidine monophosphate (UMP-CMP) kinase 2, mitochondrial, cytidylate kinase 2, EC 2.7.4.14, mitochondrial, mitochondrial UMP-CMP kinase, thymidine monophosphate kinase 2, thymidylate kinase family LPS-inducible member, TMPK2, TYKi, UMP-CMPK2

Gene Symbol

CMPK2

Additional TYKi Products

Product Documents for TYKi Antibody (CL14479) - Azide and BSA Free

Certificate of Analysis

To download a Certificate of Analysis, please enter a lot number in the search box below.

Product Specific Notices for TYKi Antibody (CL14479) - Azide and BSA Free

This product is for research use only and is not approved for use in humans or in clinical diagnosis. Primary Antibodies are guaranteed for 1 year from date of receipt.

Loading...
Loading...
Loading...
Loading...
Loading...