Skip to main content

TXNDC9 Antibody (S04-4H8)

Novus Biologicals, part of Bio-Techne | Catalog # NBP3-19796

Recombinant Monoclonal Antibody
Novus Biologicals, part of Bio-Techne
Catalog #
Availability
Size / Price
Qty
Loading...
NBP3-19796-100ul
NBP3-19796-50ul

Key Product Details

Species Reactivity

Human, Mouse, Rat

Applications

Immunohistochemistry, Immunohistochemistry-Paraffin, Western Blot

Label

Unconjugated

Antibody Source

Recombinant Monoclonal Rabbit IgG Clone # S04-4H8 expressed in HEK293

Concentration

0.3 mg/ml

Product Specifications

Immunogen

A synthetic peptide of human TXNDC9 (Uniprot # O14530)

Clonality

Monoclonal

Host

Rabbit

Isotype

IgG

Theoretical MW

27 kDa.
Disclaimer note: The observed molecular weight of the protein may vary from the listed predicted molecular weight due to post translational modifications, post translation cleavages, relative charges, and other experimental factors.

Description

Novus Biologicals Rabbit TXNDC9 Antibody (S04-4H8) (NBP3-19796) is a recombinant monoclonal antibody validated for use in IHC and WB. All Novus Biologicals antibodies are covered by our 100% guarantee.

Scientific Data Images for TXNDC9 Antibody (S04-4H8)

Western Blot: TXNDC9 Antibody (S04-4H8) [NBP3-19796]

Western Blot: TXNDC9 Antibody (S04-4H8) [NBP3-19796]

Western Blot: TXNDC9 Antibody (S04-4H8) [NBP3-19796] - Western blot detection of TXNDC9 in K562, Hela cell lysates using NBP3-19796 (1:1000 diluted). Predicted band size: 27kDa. Observed band size: 27kDa.
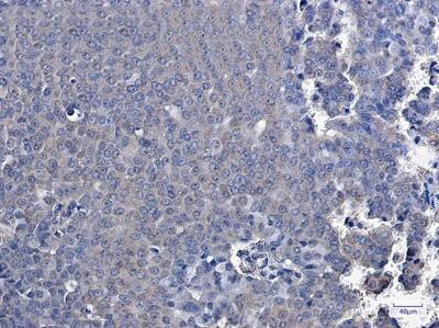
Immunohistochemistry-Paraffin: TXNDC9 Antibody (S04-4H8) [NBP3-19796]

Immunohistochemistry-Paraffin: TXNDC9 Antibody (S04-4H8) [NBP3-19796]

Immunohistochemistry-Paraffin: TXNDC9 Antibody (S04-4H8) [NBP3-19796] - Immunohistochemistry of TXNDC9 in paraffin-embedded Human breast cancer tissue using NBP3-19796 at dilution 1/20

Applications for TXNDC9 Antibody (S04-4H8)

Application
Recommended Usage

Immunohistochemistry

1/20

Western Blot

1/1000

Formulation, Preparation, and Storage

Purification

Affinity purified

Formulation

50mM Tris-Glycine(pH 7.4), 0.15M NaCl, 40% Glycerol, 0.05% BSA

Preservative

0.01% Sodium Azide

Concentration

0.3 mg/ml

Shipping

The product is shipped with polar packs. Upon receipt, store it immediately at the temperature recommended below.

Stability & Storage

Store at 4C short term. Aliquot and store at -20C long term. Avoid freeze-thaw cycles.

Background: TXNDC9

TXNDC9 is encoded by this gene is a member of the thioredoxin family. The exact function of this protein is not known but it is associated with cell differentiation.

Alternate Names

APACDProtein 1-4, ATP binding protein associated with cell differentiation, ATP-binding protein associated with cell differentiation, PHLP3, thioredoxin domain containing 9, thioredoxin domain-containing protein 9

Gene Symbol

TXNDC9

Additional TXNDC9 Products

Product Documents for TXNDC9 Antibody (S04-4H8)

Certificate of Analysis

To download a Certificate of Analysis, please enter a lot number in the search box below.

Product Specific Notices for TXNDC9 Antibody (S04-4H8)

This product is for research use only and is not approved for use in humans or in clinical diagnosis. Primary Antibodies are guaranteed for 1 year from date of receipt.

Loading...
Loading...
Loading...
Loading...