TXNDC12 Antibody (9J6L2)
Novus Biologicals, part of Bio-Techne | Catalog # NBP3-33549
Key Product Details
Species Reactivity
Human, Mouse, Rat
Applications
Immunohistochemistry, Immunohistochemistry-Paraffin, Western Blot, ELISA
Label
Unconjugated
Antibody Source
Monoclonal Rabbit IgG Clone # 9J6L2
Concentration
Please see the vial label for concentration. If unlisted please contact technical services.
Product Specifications
Immunogen
A synthetic peptide corresponding to a sequence within amino acids 1-100 of human TXNDC12 (NP_056997.1).
Sequence:
METRPRLGATCLLGFSFLLLVISSDGHNGLGKGFGDHIHWRTLEDGKKEAAASGLPLMVIIHKSWCGACKALKPKFAESTEISELSHNFVMVNLEDEEEP
Sequence:
METRPRLGATCLLGFSFLLLVISSDGHNGLGKGFGDHIHWRTLEDGKKEAAASGLPLMVIIHKSWCGACKALKPKFAESTEISELSHNFVMVNLEDEEEP
Clonality
Monoclonal
Host
Rabbit
Isotype
IgG
Theoretical MW
19 kDa.
Disclaimer note: The observed molecular weight of the protein may vary from the listed predicted molecular weight due to post translational modifications, post translation cleavages, relative charges, and other experimental factors.
Disclaimer note: The observed molecular weight of the protein may vary from the listed predicted molecular weight due to post translational modifications, post translation cleavages, relative charges, and other experimental factors.
Description
Novus Biologicals Rabbit TXNDC12 Antibody (9J6L2) (NBP3-33549) is a monoclonal antibody validated for use in IHC, WB and ELISA. All Novus Biologicals antibodies are covered by our 100% guarantee.
Scientific Data Images for TXNDC12 Antibody (9J6L2)
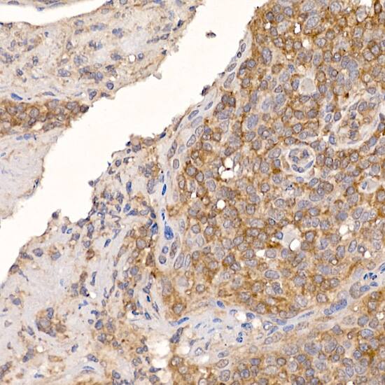
Immunohistochemistry: TXNDC12 Antibody (9J6L2) [NBP3-33549] -
Immunohistochemistry: TXNDC12 Antibody (9J6L2) [NBP3-33549] - Immunohistochemistry analysis of paraffin-embedded Human lung cancer using TXNDC12 Rabbit mAb at dilution of 1:200 (40x lens). High pressure antigen retrieval performed with 0.01M Citrate Bufferr (pH 6.0) prior to IHC staining.Immunohistochemistry: TXNDC12 Antibody (9J6L2) [NBP3-33549] -
Immunohistochemistry: TXNDC12 Antibody (9J6L2) [NBP3-33549] - Immunohistochemistry analysis of paraffin-embedded Mouse stomach using TXNDC12 Rabbit mAb at dilution of 1:200 (40x lens). High pressure antigen retrieval performed with 0.01M Citrate Bufferr (pH 6.0) prior to IHC staining.Immunohistochemistry: TXNDC12 Antibody (9J6L2) [NBP3-33549] -
Immunohistochemistry: TXNDC12 Antibody (9J6L2) [NBP3-33549] - Immunohistochemistry analysis of paraffin-embedded Rat brain using TXNDC12 Rabbit mAb at dilution of 1:200 (40x lens). High pressure antigen retrieval performed with 0.01M Citrate Bufferr (pH 6.0) prior to IHC staining.Applications for TXNDC12 Antibody (9J6L2)
Application
Recommended Usage
ELISA
Recommended starting concentration is 1 ug/mL
Immunohistochemistry-Paraffin
1:50 - 1:200
Western Blot
1:500 - 1:1000
Formulation, Preparation, and Storage
Purification
Affinity purified
Formulation
PBS (pH 7.3), 50% glycerol, 0.05% BSA
Preservative
0.02% Sodium Azide
Concentration
Please see the vial label for concentration. If unlisted please contact technical services.
Shipping
The product is shipped with polar packs. Upon receipt, store it immediately at the temperature recommended below.
Stability & Storage
Store at -20C. Avoid freeze-thaw cycles.
Background: TXNDC12
Alternate Names
AG1, AGR1, anterior gradient homolog 1, EC 1.8.4.2, endoplasmic reticulum protein ERp19, Endoplasmic reticulum resident protein 18, Endoplasmic reticulum resident protein 19, endoplasmic reticulum thioredoxin superfamily member, 18 kDa, ER protein 18, ER protein 19, ERP16, ERp18, ERP18AG1, ERP19, hAG-1, hTLP19, PDIA16, protein disulfide isomerase family A, member 16, thioredoxin domain containing 12 (endoplasmic reticulum), thioredoxin domain-containing protein 12, Thioredoxin-like protein p19, TLP19, TLP19hTLP19, TXNDC12 thioredoxin domain containing 12 (endoplasmic reticulum)
Gene Symbol
TXNDC12
Additional TXNDC12 Products
Product Documents for TXNDC12 Antibody (9J6L2)
Product Specific Notices for TXNDC12 Antibody (9J6L2)
This product is for research use only and is not approved for use in humans or in clinical diagnosis. Primary Antibodies are guaranteed for 1 year from date of receipt.
Loading...
Loading...
Loading...
Loading...