Skip to main content

TUSC2 Antibody - BSA Free

Novus Biologicals, part of Bio-Techne | Catalog # NBP3-04411

Novus Biologicals, part of Bio-Techne
Catalog #
Availability
Size / Price
Qty
Loading...
NBP3-04411-100ul
NBP3-04411-20ul

Key Product Details

Species Reactivity

Human, Mouse, Rat

Applications

Immunohistochemistry, Immunohistochemistry-Paraffin, Western Blot

Label

Unconjugated

Antibody Source

Polyclonal Rabbit IgG

Format

BSA Free

Concentration

Please see the vial label for concentration. If unlisted please contact technical services.

Product Specifications

Immunogen

Recombinant fusion protein containing a sequence corresponding to amino acids 1-110 of human TUSC2 (NP_009206.1). MGASGSKARGLWPFASAAGGGGSEAAGAEQALVRPRGRAVPPFVFTRRGSMFYDEDGDLAHEFYEETIVTKNGQKRAKLRRVHKNLIPQGIVKLDHPRIHVDFPVILYEV

Clonality

Polyclonal

Host

Rabbit

Isotype

IgG

Theoretical MW

12 kDa.
Disclaimer note: The observed molecular weight of the protein may vary from the listed predicted molecular weight due to post translational modifications, post translation cleavages, relative charges, and other experimental factors.

Description

Novus Biologicals Rabbit TUSC2 Antibody - BSA Free (NBP3-04411) is a polyclonal antibody validated for use in IHC and WB. All Novus Biologicals antibodies are covered by our 100% guarantee.

Scientific Data Images for TUSC2 Antibody - BSA Free

Immunohistochemistry-Paraffin: TUSC2 Antibody - BSA Free [NBP3-04411]

Immunohistochemistry-Paraffin: TUSC2 Antibody - BSA Free [NBP3-04411]

Immunohistochemistry-Paraffin: TUSC2 Antibody [NBP3-04411] - Mouse heart using TUSC2 antibody at dilution of 1:200 (40x lens).Perform microwave antigen retrieval with 10 mM PBS buffer pH 7.2 before commencing with IHC staining protocol.
Immunohistochemistry-Paraffin: TUSC2 Antibody - BSA Free [NBP3-04411]

Immunohistochemistry-Paraffin: TUSC2 Antibody - BSA Free [NBP3-04411]

Immunohistochemistry-Paraffin: TUSC2 Antibody [NBP3-04411] - Rat brain using TUSC2 antibody at dilution of 1:200 (40x lens).Perform microwave antigen retrieval with 10 mM PBS buffer pH 7.2 before commencing with IHC staining protocol.
Immunohistochemistry-Paraffin: TUSC2 Antibody - BSA Free [NBP3-04411]

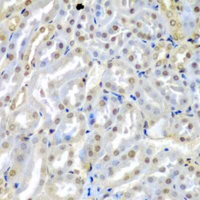
Immunohistochemistry-Paraffin: TUSC2 Antibody - BSA Free [NBP3-04411]

Immunohistochemistry-Paraffin: TUSC2 Antibody [NBP3-04411] - Mouse kidney using TUSC2 antibody at dilution of 1:200 (40x lens).Perform microwave antigen retrieval with 10 mM PBS buffer pH 7.2 before commencing with IHC staining protocol.

Applications for TUSC2 Antibody - BSA Free

Application
Recommended Usage

Immunohistochemistry

1:50 - 1:200

Western Blot

1:500 - 1:2000

Formulation, Preparation, and Storage

Purification

Affinity purified

Formulation

PBS (pH 7.3), 50% glycerol

Format

BSA Free

Preservative

0.02% Sodium Azide

Concentration

Please see the vial label for concentration. If unlisted please contact technical services.

Shipping

The product is shipped with polar packs. Upon receipt, store it immediately at the temperature recommended below.

Stability & Storage

Store at -20C. Avoid freeze-thaw cycles.

Background: TUSC2

TUSC2 is a gene that codes for a protein that is 110 amino acids long and weighs approximately 12 kDa and that functions as a tumor suppressor, which inhibits colony formation and causes G1 arrest to ultimately induce apoptosis. Current research is being done on diseases and disorders related to this gene including lung cancer, soft tissue sarcoma, carcinoid syndrome, NSCLC, and breast cancer. TUSC2 has also been shown to have interactions with HSPA4L, LRBA, EBLN2, GK006, and SGOL2.

Alternate Names

C3orf11PDAP2, Fus-1 protein, FUS1Fusion 1 protein, LGCC, PAP, PDGFA associated protein 2, PDGFA-associated protein 2, tumor suppressor candidate 2

Gene Symbol

TUSC2

Additional TUSC2 Products

Product Documents for TUSC2 Antibody - BSA Free

Certificate of Analysis

To download a Certificate of Analysis, please enter a lot number in the search box below.

Product Specific Notices for TUSC2 Antibody - BSA Free

This product is for research use only and is not approved for use in humans or in clinical diagnosis. Primary Antibodies are guaranteed for 1 year from date of receipt.

Loading...
Loading...
Loading...
Loading...