Skip to main content

TUBAL3 Antibody (OTI4C5) - Azide and BSA Free

Novus Biologicals, part of Bio-Techne | Catalog # NBP2-74696

Novus Biologicals, part of Bio-Techne
Catalog #
Availability
Size / Price
Qty
Loading...
NBP2-74696

Key Product Details

Species Reactivity

Human, Mouse, Rat, Canine, Monkey, Primate

Applications

Immunohistochemistry, Immunohistochemistry-Paraffin, Western Blot, Flow Cytometry, Immunocytochemistry/ Immunofluorescence, CyTOF-ready

Label

Unconjugated

Antibody Source

Monoclonal Mouse IgG2B Clone # OTI4C5

Format

Azide and BSA Free

Concentration

LYOPH mg/ml

Product Specifications

Immunogen

Human recombinant protein fragment corresponding to amino acids 150-446 of human TUBAL3(NP_079079) produced in E.coli.

Reactivity Notes

Please note that this antibody is reactive to Mouse and derived from the same host, Mouse. Mouse-On-Mouse blocking reagent may be needed for IHC and ICC experiments to reduce high background signal. You can find these reagents under catalog numbers PK-2200-NB and MP-2400-NB. Please contact Technical Support if you have any questions.

Clonality

Monoclonal

Host

Mouse

Isotype

IgG2B

Theoretical MW

49.7 kDa.
Disclaimer note: The observed molecular weight of the protein may vary from the listed predicted molecular weight due to post translational modifications, post translation cleavages, relative charges, and other experimental factors.

Description

Novus Biologicals Mouse TUBAL3 Antibody (OTI4C5) - Azide and BSA Free (NBP2-01476) is a monoclonal antibody validated for use in IHC, WB, Flow and ICC/IF. All Novus Biologicals antibodies are covered by our 100% guarantee.

Scientific Data Images for TUBAL3 Antibody (OTI4C5) - Azide and BSA Free

Western Blot: TUBAL3 Antibody (OTI4C5)Azide and BSA Free [NBP2-74696]

Western Blot: TUBAL3 Antibody (OTI4C5)Azide and BSA Free [NBP2-74696]

Western Blot: TUBAL3 Antibody (OTI4C5) - Azide and BSA Free [NBP2-74696] - HEK293T cells were transfected with the pCMV6-ENTRY control (Left lane) or pCMV6-ENTRY TUBAL3 (Right lane) cDNA for 48 hrs and lysed. Equivalent amounts of cell lysates (5 ug per lane) were separated by SDS-PAGE and immunoblotted with anti-TUBAL3.
Immunocytochemistry/ Immunofluorescence: TUBAL3 Antibody (OTI4C5) - Azide and BSA Free [NBP2-74696]

Immunocytochemistry/ Immunofluorescence: TUBAL3 Antibody (OTI4C5) - Azide and BSA Free [NBP2-74696]

Immunocytochemistry/Immunofluorescence: TUBAL3 Antibody (OTI4C5) - Azide and BSA Free [NBP2-74696] - Staining of COS7 cells transiently transfected by pCMV6-ENTRY TUBAL3.
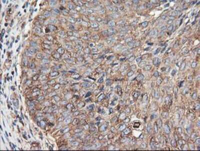
Immunohistochemistry: TUBAL3 Antibody (OTI4C5) - Azide and BSA Free [NBP2-74696]

Immunohistochemistry: TUBAL3 Antibody (OTI4C5) - Azide and BSA Free [NBP2-74696]

Immunohistochemistry: TUBAL3 Antibody (OTI4C5) - Azide and BSA Free [NBP2-74696] - Staining of paraffin-embedded Human prostate tissue using anti-TUBAL3 mouse monoclonal antibody.

Applications for TUBAL3 Antibody (OTI4C5) - Azide and BSA Free

Application
Recommended Usage

Flow Cytometry

1:100

Immunocytochemistry/ Immunofluorescence

1:100

Immunohistochemistry

1:150

Western Blot

1:500-2000

Formulation, Preparation, and Storage

Purification

Immunogen affinity purified

Reconstitution

we recommend adding 100uL distilled water to a final antibody concentration of about 1 mg/mL. To use this carrier-free antibody for conjugation experiment, we strongly recommend performing another round of desalting process.

Formulation

Lyophilized from PBS (pH 7.3) with 8% Trehalose

Format

Azide and BSA Free

Preservative

No Preservative

Concentration

LYOPH mg/ml

Shipping

The product is shipped with polar packs. Upon receipt, store it immediately at the temperature recommended below.

Stability & Storage

Store at -20C. Avoid freeze-thaw cycles.

Background: TUBAL3

Tubulin is the major constituent of microtubules. It binds two moles of GTP, one at an exchangeable site onthe beta chain and one at a non-exchangeable site on the alpha-chain

Alternate Names

FLJ21665, MGC119347, MGC119349, tubulin alpha chain-like 3, tubulin, alpha-like 3

Gene Symbol

TUBAL3

Additional TUBAL3 Products

Product Documents for TUBAL3 Antibody (OTI4C5) - Azide and BSA Free

Certificate of Analysis

To download a Certificate of Analysis, please enter a lot number in the search box below.

Product Specific Notices for TUBAL3 Antibody (OTI4C5) - Azide and BSA Free

This product is for research use only and is not approved for use in humans or in clinical diagnosis. Primary Antibodies are guaranteed for 1 year from date of receipt.

Loading...
Loading...
Loading...
Loading...
Loading...
Loading...