Skip to main content

TTYH1 Antibody - BSA Free

Novus Biologicals, part of Bio-Techne | Catalog # NBP2-38634

Novus Biologicals, part of Bio-Techne
Catalog #
Availability
Size / Price
Qty
Loading...
NBP2-38634

Key Product Details

Species Reactivity

Validated:

Human

Predicted:

Mouse (90%). Backed by our 100% Guarantee.

Applications

Immunohistochemistry, Immunohistochemistry-Paraffin, Western Blot

Label

Unconjugated

Antibody Source

Polyclonal Rabbit IgG

Format

BSA Free

Concentration

Concentrations vary lot to lot. See vial label for concentration. If unlisted please contact technical services.

Product Specifications

Immunogen

This antibody was developed against a recombinant protein corresponding to amino acids: SDFCSNPDPYVLNLTQEETGLSSDILSYYLLCNRAVSNPFQQRLTLSQRALANIHSQLLGLEREAVPQFPSAQKPLLSLEETLNVTEGNFHQLVALLHCRSLHKDYGAAL

Reactivity Notes

Immunogen displays the following percentage of sequence identity for non-tested species: Rat (89%)

Clonality

Polyclonal

Host

Rabbit

Isotype

IgG

Description

Novus Biologicals Rabbit TTYH1 Antibody - BSA Free (NBP2-38634) is a polyclonal antibody validated for use in IHC and WB. All Novus Biologicals antibodies are covered by our 100% guarantee.

Scientific Data Images for TTYH1 Antibody - BSA Free

Western Blot: TTYH1 Antibody [NBP2-38634]

Western Blot: TTYH1 Antibody [NBP2-38634]

Western Blot: TTYH1 Antibody [NBP2-38634] - Lane 1: Marker [kDa] 250, 130, 100, 70, 55, 35, 25, 15, 10
Lane 2: Human Cerebral Cortex tissue
Immunohistochemistry-Paraffin: TTYH1 Antibody [NBP2-38634]

Immunohistochemistry-Paraffin: TTYH1 Antibody [NBP2-38634]

Immunohistochemistry-Paraffin: TTYH1 Antibody [NBP2-38634] - Staining of human endometrium shows no positivity in glandular cells as expected.
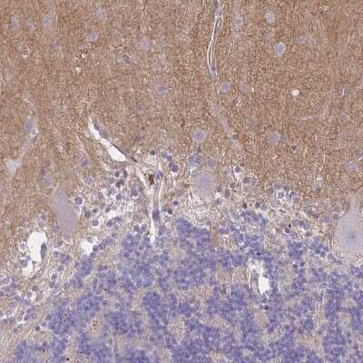
Immunohistochemistry-Paraffin: TTYH1 Antibody [NBP2-38634]

Immunohistochemistry-Paraffin: TTYH1 Antibody [NBP2-38634]

Immunohistochemistry-Paraffin: TTYH1 Antibody [NBP2-38634] - Staining of human cerebellum shows positivity in neuropil.

Applications for TTYH1 Antibody - BSA Free

Application
Recommended Usage

Immunohistochemistry

1:50 - 1:200

Immunohistochemistry-Paraffin

1:50 - 1:200

Western Blot

0.04-0.4 ug/ml
Application Notes
For IHC-Paraffin, HIER pH 6 retrieval is recommended.

Formulation, Preparation, and Storage

Purification

Affinity purified

Formulation

PBS (pH 7.2) and 40% Glycerol

Format

BSA Free

Preservative

0.02% Sodium Azide

Concentration

Concentrations vary lot to lot. See vial label for concentration. If unlisted please contact technical services.

Shipping

The product is shipped with polar packs. Upon receipt, store it immediately at the temperature recommended below.

Stability & Storage

Store at 4C short term. Aliquot and store at -20C long term. Avoid freeze-thaw cycles.

Background: TTYH1

TTYH1 - tweety homolog 1 (Drosophila)

Alternate Names

hTTY1, protein tweety homolog 1, tweety (Drosophila) homolog 1, tweety homolog 1 (Drosophila)

Gene Symbol

TTYH1

UniProt

Additional TTYH1 Products

Product Documents for TTYH1 Antibody - BSA Free

Certificate of Analysis

To download a Certificate of Analysis, please enter a lot number in the search box below.

Product Specific Notices for TTYH1 Antibody - BSA Free

This product is for research use only and is not approved for use in humans or in clinical diagnosis. Primary Antibodies are guaranteed for 1 year from date of receipt.

Loading...
Loading...
Loading...
Loading...