TTK Antibody - Azide and BSA Free
Novus Biologicals, part of Bio-Techne | Catalog # NBP2-98832
Conjugate
Catalog #
Key Product Details
Species Reactivity
Human
Applications
Immunocytochemistry/ Immunofluorescence, Immunohistochemistry-Paraffin
Label
Unconjugated
Antibody Source
Polyclonal Rabbit IgG
Format
Azide and BSA Free
Concentration
Please see the vial label for concentration. If unlisted please contact technical services.
Product Specifications
Immunogen
Produced in rabbits immunized with a synthetic peptide corresponding to the N-terminus of the Human TTK.
Clonality
Polyclonal
Host
Rabbit
Isotype
IgG
Description
This antibody can be stored at 2C to 8C for one month without detectable loss of activity. Antibody products are stable for twelve months from date of receipt when stored at -20C to -80C. Avoid repeated freeze-thaw cycles.
Scientific Data Images for TTK Antibody - Azide and BSA Free
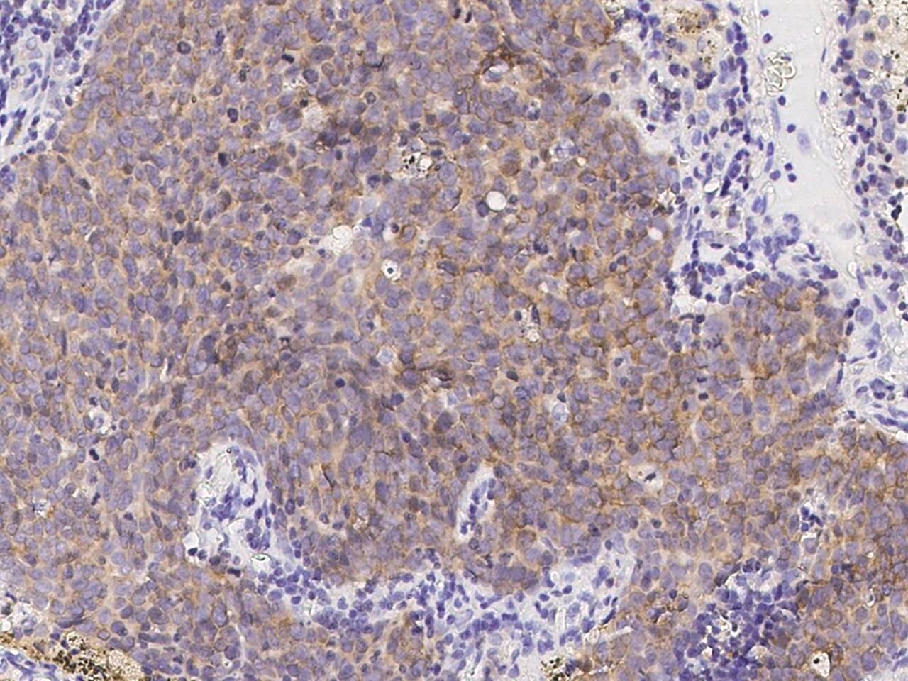
Immunohistochemistry-Paraffin: TTK Antibody [NBP2-98832]
Immunohistochemistry-Paraffin: TTK Antibody [NBP2-98832] - Staining of human TTK in human lung cancer with rabbit polyclonal antibody (1:1000).Immunohistochemistry-Paraffin: TTK Antibody [NBP2-98832] -
Immunohistochemistry-Paraffin: TTK Antibody [NBP2-98832] - Staining of human RPS27 in human lung cancer with NBP2-98832 (1:1000).Immunocytochemistry/Immunofluorescence: TTK Antibody [NBP2-98832] -
Immunocytochemistry/Immunofluorescence: TTK Antibody [NBP2-98832] - Immunofluorescence staining of TTK in HeLa cells. Cells were fixed with 4% PFA, permeabilzed with 0.3% Triton X-100 in PBS, blocked with 10% serum, and incubated with NBP2-98832 antibody (1:1000) at 4C overnight. Then cells were stained with the Alexa Fluor(R)488-conjugated Goat Anti-rabbit IgG secondary antibody (green) and counterstained with DAPI (blue). Positive staining was localized to cytoplasm.Applications for TTK Antibody - Azide and BSA Free
Application
Recommended Usage
Immunocytochemistry/ Immunofluorescence
1:300-1:10000
Immunohistochemistry-Paraffin
1:500-1:2000
Formulation, Preparation, and Storage
Purification
Antigen and protein A Affinity-purified
Formulation
0.2 um filtered solution in PBS
Format
Azide and BSA Free
Preservative
No Preservative
Concentration
Please see the vial label for concentration. If unlisted please contact technical services.
Shipping
The product is shipped with polar packs. Upon receipt, store it immediately at the temperature recommended below.
Stability & Storage
Store at 4C short term. Aliquot and store at -20C long term. Avoid freeze-thaw cycles.
Background: TTK
Long Name
TTK Protein Kinase
Alternate Names
Mps1, MPS1L1, PYT
Gene Symbol
TTK
Additional TTK Products
Product Documents for TTK Antibody - Azide and BSA Free
Product Specific Notices for TTK Antibody - Azide and BSA Free
This product is for research use only and is not approved for use in humans or in clinical diagnosis. Primary Antibodies are guaranteed for 1 year from date of receipt.
Loading...
Loading...
Loading...
Loading...