Skip to main content

TTC29 Antibody

Novus Biologicals, part of Bio-Techne | Catalog # NBP1-80983

Novus Biologicals, part of Bio-Techne
Catalog #
Availability
Size / Price
Qty
Loading...
NBP1-80983
NBP1-80983-25ul

Key Product Details

Species Reactivity

Human

Applications

Immunohistochemistry, Immunohistochemistry-Paraffin

Label

Unconjugated

Antibody Source

Polyclonal Rabbit

Concentration

Concentrations vary lot to lot. See vial label for concentration. If unlisted please contact technical services.

Product Specifications

Immunogen

This antibody was developed against Recombinant Protein corresponding to amino acids:IDCGKKEAEAHMHMGLLYEEDGQLLEAAEHYEAFHQLTQGRIWKDETGRSLNLLACESLLRTYRLLSDKMLENKEYKQAIKILIKA

Clonality

Polyclonal

Host

Rabbit

Scientific Data Images for TTC29 Antibody

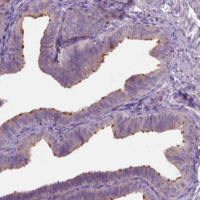
TTC29 Antibody Immunohistochemistry: TTC29 Antibody [NBP1-80983]

Immunohistochemistry: TTC29 Antibody [NBP1-80983]

Staining of human fallopian tube shows positivity in cilia.

Applications for TTC29 Antibody

Application
Recommended Usage

Immunohistochemistry

1:50 - 1:200

Immunohistochemistry-Paraffin

1:50 - 1:200
Application Notes
For IHC-Paraffin, HIER pH 6 retrieval is recommended.

Formulation, Preparation, and Storage

Purification

Immunogen affinity purified

Formulation

PBS (pH 7.2) and 40% Glycerol

Preservative

0.02% Sodium Azide

Concentration

Concentrations vary lot to lot. See vial label for concentration. If unlisted please contact technical services.

Shipping

The product is shipped with polar packs. Upon receipt, store it immediately at the temperature recommended below.

Stability & Storage

Store at 4C short term. Aliquot and store at -20C long term. Avoid freeze-thaw cycles.

Background: TTC29

Alternate Names

NYD-SP14, TBPP2A, tetratricopeptide repeat domain 29, tetratricopeptide repeat protein 29

Gene Symbol

TTC29

Additional TTC29 Products

Product Documents for TTC29 Antibody

Certificate of Analysis

To download a Certificate of Analysis, please enter a lot number in the search box below.

Product Specific Notices for TTC29 Antibody

This product is for research use only and is not approved for use in humans or in clinical diagnosis. Primary Antibodies are guaranteed for 1 year from date of receipt.

Loading...
Loading...
Loading...
Loading...