Skip to main content

TTC11 Antibody - BSA Free

Novus Biologicals, part of Bio-Techne | Catalog # NBP2-97168

Novus Biologicals, part of Bio-Techne

Key Product Details

Species Reactivity

Human

Applications

Immunohistochemistry-Paraffin, Western Blot

Label

Unconjugated

Antibody Source

Polyclonal Rabbit IgG

Format

BSA Free

Concentration

Please see the vial label for concentration. If unlisted please contact technical services.

Product Specifications

Immunogen

Produced in rabbits immunized with E. coli-derived Human TTC11 fragment.

Clonality

Polyclonal

Host

Rabbit

Isotype

IgG

Description

This antibody can be stored at 2C to 8C for one month without detectable loss of activity. Antibody products are stable for twelve months from date of receipt when stored at -20C to -80C. Avoid repeated freeze-thaw cycles.

Scientific Data Images for TTC11 Antibody - BSA Free

Western Blot: TTC11 Antibody [NBP2-97168]

Western Blot: TTC11 Antibody [NBP2-97168]

Western Blot: TTC11 Antibody [NBP2-97168] - Anti-TTC11 rabbit polyclonal antibody at 1:500 dilution. Lane A: HepG2 Whole Cell Lysate. Lane B: A549 Whole Cell Lysate. Lane C: HeLa Whole Cell Lysate. Lane D: MCF7 Whole Cell Lysate. Lysates/proteins at 30 ug per lane. Secondary Goat Anti-Rabbit IgG (H+L)/HRP at 1/10000 dilution. Developed using the ECL technique. Performed under reducing conditions. Predicted band size: 17 kDa. Observed band size: 15 kDa
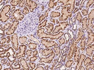
Immunohistochemistry-Paraffin: TTC11 Antibody [NBP2-97168]

Immunohistochemistry-Paraffin: TTC11 Antibody [NBP2-97168]

Immunohistochemistry-Paraffin: TTC11 Antibody [NBP2-97168] - Immunochemical staining of human TTC11 in human kidney with rabbit polyclonal antibody at 1:100 dilution, formalin-fixed paraffin embedded sections.

Applications for TTC11 Antibody - BSA Free

Application
Recommended Usage

Immunohistochemistry-Paraffin

1:50-1:200

Western Blot

1:500-1:2000

Formulation, Preparation, and Storage

Purification

Antigen and protein A Affinity-purified

Formulation

PBS

Format

BSA Free

Preservative

0.03% Proclin 300

Concentration

Please see the vial label for concentration. If unlisted please contact technical services.

Shipping

The product is shipped with polar packs. Upon receipt, store it immediately at the temperature recommended below.

Stability & Storage

Store at 4C short term. Aliquot and store at -20C long term. Avoid freeze-thaw cycles.

Background: TTC11

The balance between fission and fusion regulates the morphology of mitochondria. TTC11 is a component of a mitochondrial complex that promotes mitochondrial fission (James et al., 2003 [PubMed 12783892]).[supplied by OMIM]

Alternate Names

CGI-135, Fis1, FIS1 homolog, fission 1 (mitochondrial outer membrane) homolog (S. cerevisiae), fission 1 (mitochondrial outer membrane) homolog (yeast), H_NH0132A01.6, hFis1, mitochondrial fission 1 protein, tetratricopeptide repeat domain 11, Tetratricopeptide repeat protein 11, TTC11TPR repeat protein 11

Gene Symbol

FIS1

Additional TTC11 Products

Product Documents for TTC11 Antibody - BSA Free

Certificate of Analysis

To download a Certificate of Analysis, please enter a lot number in the search box below.

Product Specific Notices for TTC11 Antibody - BSA Free

This product is for research use only and is not approved for use in humans or in clinical diagnosis. Primary Antibodies are guaranteed for 1 year from date of receipt.

Loading...
Loading...
Loading...
Loading...