Skip to main content

TSSC3 Antibody

Novus Biologicals, part of Bio-Techne | Catalog # NB100-1347

Novus Biologicals, part of Bio-Techne
Catalog #
Availability
Size / Price
Qty
Loading...
NB100-1347

Key Product Details

Species Reactivity

Human

Applications

Immunohistochemistry, Immunohistochemistry-Paraffin, Peptide ELISA

Label

Unconjugated

Antibody Source

Polyclonal Goat IgG

Concentration

0.5 mg/ml

Product Specifications

Immunogen

Peptide with sequence C-EPSRPSPQPKPRTP corresponding to C-Terminus according to NP_003302.1.

Clonality

Polyclonal

Host

Goat

Isotype

IgG

Description

Novus Biologicals Goat TSSC3 Antibody (NB100-1347) is a polyclonal antibody validated for use in IHC and ELISA. Anti-TSSC3 Antibody: Cited in 1 publication. All Novus Biologicals antibodies are covered by our 100% guarantee.

Scientific Data Images for TSSC3 Antibody

Immunohistochemistry-Paraffin: TSSC3 Antibody [NB100-1347]

Immunohistochemistry-Paraffin: TSSC3 Antibody [NB100-1347]

Immunohistochemistry-Paraffin: TSSC3 Antibody [NB100-1347] - Staining of paraffin embedded Human Placenta. Antibody at 3.75 ug/mL. Steamed antigen retrieval with citrate buffer pH 6, AP-staining.
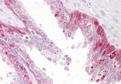
Immunohistochemistry-Paraffin: TSSC3 Antibody [NB100-1347]

Immunohistochemistry-Paraffin: TSSC3 Antibody [NB100-1347]

Immunohistochemistry-Paraffin: TSSC3 Antibody [NB100-1347] - Staining of paraffin embedded Human Prostate. Antibody at 3.75 ug/mL. Steamed antigen retrieval with citrate buffer pH 6, AP-staining.

Applications for TSSC3 Antibody

Application
Recommended Usage

Immunohistochemistry

3.75 ug/mL

Immunohistochemistry-Paraffin

3.75 ug/mL

Peptide ELISA

Detection limit 1:32000
Application Notes
WB: Preliminary experiments gave no signal but low background in Jurkat and human placenta extracts at up to 1 ug/ml. IHC-P: placenta shows staining of the syncytiotrophoblasts.

Formulation, Preparation, and Storage

Purification

Immunogen affinity purified

Formulation

Tris saline (20 mM Tris pH 7.3, 150 mM NaCl), 0.5% BSA

Preservative

0.02% Sodium Azide

Concentration

0.5 mg/ml

Shipping

The product is shipped with polar packs. Upon receipt, store it immediately at the temperature recommended below.

Stability & Storage

Store at -20C. Avoid freeze-thaw cycles.

Background: TSSC3

GenBank Accession Number - NP_003302. TSSC3 in encoded in the imprinted gene domain of 11p15.5 which is considered to be an important tumor suppressor gene region. Alterations in this region may be associated with the Beckwith-Wiedemann syndrome, Wilms tumor, rhabdomyosarcoma, adrenocortical carcinoma, and lung, ovarian, and breast cancer. Studies of the mouse gene, however, which is also located in an imprinted gene domain, have shown that the product of this gene regulates placental growth.

Alternate Names

Beckwith-Wiedemann syndrome chromosomal region 1 candidate gene C protein, BWR1Cp17-Beckwith-Wiedemann region 1 C, HLDA2BRW1C, Imprinted in placenta and liver protein, IPLp17-BWR1C, pleckstrin homology-like domain family A member 2, pleckstrin homology-like domain, family A, member 2, TSSC3p17-Beckwith-Wiedemann region 1C, tumor suppressing subchromosomal transferable fragment cDNA 3, tumor suppressing subtransferable candidate 3, Tumor-suppressing STF cDNA 3 protein, Tumor-suppressing subchromosomal transferable fragment candidate gene 3 protein, tumor-supressing STF cDNA 3

Entrez Gene IDs

7262 (Human)

Gene Symbol

PHLDA2

Additional TSSC3 Products

Product Documents for TSSC3 Antibody

Certificate of Analysis

To download a Certificate of Analysis, please enter a lot number in the search box below.

Product Specific Notices for TSSC3 Antibody

This product is for research use only and is not approved for use in humans or in clinical diagnosis. Primary Antibodies are guaranteed for 1 year from date of receipt.

Loading...
Loading...
Loading...
Loading...