Skip to main content

TSLPR/CRLF2 Antibody

Novus Biologicals, part of Bio-Techne | Catalog # NBP2-22383

Novus Biologicals, part of Bio-Techne
Catalog #
Availability
Size / Price
Qty
Loading...
NBP2-22383
NBP2-22383SS

Key Product Details

Species Reactivity

Human

Applications

Immunohistochemistry, Immunohistochemistry-Paraffin, Western Blot

Label

Unconjugated

Antibody Source

Polyclonal Mouse IgG2a Kappa

Concentration

Please see the vial label for concentration. If unlisted please contact technical services.

Product Specifications

Immunogen

Amino acids 119-231 of human TSLPR protein were used as the immunogen for the antibody.

Clonality

Polyclonal

Host

Mouse

Isotype

IgG2a Kappa

Description

Novus Biologicals Mouse TSLPR/CRLF2 Antibody (NBP2-22383) is a polyclonal antibody validated for use in IHC and WB. All Novus Biologicals antibodies are covered by our 100% guarantee.

Scientific Data Images for TSLPR/CRLF2 Antibody

Western Blot: TSLPR/CRLF2 Antibody [NBP2-22383]

Western Blot: TSLPR/CRLF2 Antibody [NBP2-22383]

Western Blot: TSLP R/CRLF2 Antibody [NBP2-22383] - Analysis of TSLPR in an A) partial recombinant protein (0.1 ug/ml), B) human muscle and C) liver lysate (2 ug/ml) using TSLPR antibody.
Immunohistochemistry-Paraffin: TSLPR/CRLF2 Antibody [NBP2-22383]

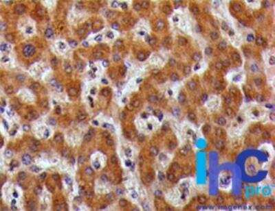
Immunohistochemistry-Paraffin: TSLPR/CRLF2 Antibody [NBP2-22383]

Immunohistochemistry-Paraffin: TSLP R/CRLF2 Antibody [NBP2-22383] - Formalin-fixed, paraffin-embedded normal human liver tissue (IMH-343) stained with CRLF2 antibody (5 ug/ml), peroxidase-conjugate and DAB chromogen.

Applications for TSLPR/CRLF2 Antibody

Application
Recommended Usage

Immunohistochemistry

1:10-1:500

Immunohistochemistry-Paraffin

5-7 ug/ml

Western Blot

1-5 ug/ml
Application Notes
TSLPR is a glycoprotein with two major isoforms of 359 amino acids and 255 amino acids. In western blotting, bands may be visualized between 27 kD and ~50 kD.

Formulation, Preparation, and Storage

Purification

Protein G purified

Formulation

PBS and 0.05% BSA

Preservative

0.05% Sodium Azide

Concentration

Please see the vial label for concentration. If unlisted please contact technical services.

Shipping

The product is shipped with polar packs. Upon receipt, store it immediately at the temperature recommended below.

Stability & Storage

Store at 4C short term. Aliquot and store at -20C long term. Avoid freeze-thaw cycles.

Background: TSLPR

TSLPR, also known as Delta and CRLM-2, is expressed on regulatory T cells (Treg), some subsets of helper T cells, innate lymphoid cells (ILC), monocytes, and dendritic cells. It associates with IL-7R alpha to form a high affinity receptor complex for epithelium-derived TSLP (thymic stromal lymphopoeitin). TSLP is a homeostatic cytokine that induces the release of T cell-attracting chemokines and enhances the maturation of CD1c+ dendritic cells.

Long Name

Thymic Stromal Lymphopoietin Receptor

Alternate Names

CRL2, CRLF2, CRLM-2, PCOR1, TSLP R

Gene Symbol

CRLF2

Additional TSLPR Products

Product Documents for TSLPR/CRLF2 Antibody

Certificate of Analysis

To download a Certificate of Analysis, please enter a lot number in the search box below.

Product Specific Notices for TSLPR/CRLF2 Antibody

This product is for research use only and is not approved for use in humans or in clinical diagnosis. Primary Antibodies are guaranteed for 1 year from date of receipt.

Loading...
Loading...
Loading...
Loading...