Skip to main content

TSH beta Antibody - BSA Free

Novus Biologicals, part of Bio-Techne | Catalog # NBP3-48268

Novus Biologicals, part of Bio-Techne
Catalog #
Availability
Size / Price
Qty
Loading...
NBP3-48268

Key Product Details

Species Reactivity

Human, Mouse

Applications

ELISA, Immunocytochemistry/ Immunofluorescence, Immunohistochemistry, Western Blot

Label

Unconjugated

Antibody Source

Polyclonal Rabbit IgG

Format

BSA Free

Concentration

Please see the vial label for concentration. If unlisted please contact technical services.

Product Specifications

Immunogen

TSHB. (Uniprot# P01222)

Clonality

Polyclonal

Host

Rabbit

Isotype

IgG

Theoretical MW

16 kDa.
Disclaimer note: The observed molecular weight of the protein may vary from the listed predicted molecular weight due to post translational modifications, post translation cleavages, relative charges, and other experimental factors.

Description

Novus Biologicals Rabbit TSH beta Antibody - BSA Free (NBP3-48268) is a polyclonal antibody validated for use in IHC, WB, ELISA and ICC/IF. All Novus Biologicals antibodies are covered by our 100% guarantee.

Scientific Data Images for TSH beta Antibody - BSA Free

TSH beta Antibody - BSA Free

Western Blot: TSH beta Antibody - BSA Free [NBP3-48268] -

Western Blot: TSH beta Antibody - BSA Free [NBP3-48268] - HT-29 cell lysate were subjected to SDS PAGE followed by western blot with (TSHB antibody) at dilution of 1:500
TSH beta Antibody - BSA Free

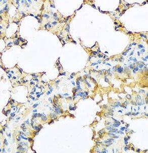
Immunohistochemistry: TSH beta Antibody - BSA Free [NBP3-48268] -

Immunohistochemistry: TSH beta Antibody - BSA Free [NBP3-48268] - Immunohistochemistry of paraffin-embedded mouse lung tissue slide using ( TSH beta antibody) at dilution of 1:100
TSH beta Antibody - BSA Free

Immunocytochemistry/ Immunofluorescence: TSH beta Antibody - BSA Free [NBP3-48268] -

Immunocytochemistry/ Immunofluorescence: TSH beta Antibody - BSA Free [NBP3-48268] - Immunofluorescence analysis of U2OS cells using ( TSH beta antibody). Blue: DAPI for nuclear staining.

Applications for TSH beta Antibody - BSA Free

Application
Recommended Usage

Immunocytochemistry/ Immunofluorescence

1:50 - 1:100

Immunohistochemistry

1:50 - 1:100

Western Blot

1:500 - 1:2000

Formulation, Preparation, and Storage

Purification

Immunogen affinity purified

Formulation

PBS, 50% Glycerol, pH (7.3)

Format

BSA Free

Preservative

0.02% Sodium Azide

Concentration

Please see the vial label for concentration. If unlisted please contact technical services.

Shipping

The product is shipped with polar packs. Upon receipt, store it immediately at the temperature recommended below.

Stability & Storage

Store at -20C. Avoid freeze-thaw cycles.

Background: TSH beta

Thyroid-stimulating hormone (TSH), also known as thyrotropin, is secreted from cells in the anterior pituitary called thyrotrophs, finds its receptors on epithelial cells in the thyroid gland, and stimulates that gland to synthesize and release thyroid hormones. TSH is a glycoprotein hormone composed of two subunits which are non-covalently bound to one another. The alpha subunit of TSH is also present in two other pituitary glycoprotein hormones, follicle-stimulating hormone and luteinizing hormone, and, in primates, in the placental hormone chorionic gonadotropin. Each of these hormones also has a unique beta subunit, which provides receptor specificity. In other words, TSH is composed of alpha subunit bound to the TSH beta subunit, and TSH associates only with its own receptor. Free alpha and beta subunits have essentially no biological activity.

Long Name

Thyroid-stimulating Hormone Subunit beta

Alternate Names

Thyrotropin beta, TSHB

Gene Symbol

TSHB

Additional TSH beta Products

Product Documents for TSH beta Antibody - BSA Free

Certificate of Analysis

To download a Certificate of Analysis, please enter a lot number in the search box below.

Product Specific Notices for TSH beta Antibody - BSA Free

This product is for research use only and is not approved for use in humans or in clinical diagnosis. Primary Antibodies are guaranteed for 1 year from date of receipt.

Loading...
Loading...
Loading...
Loading...