Skip to main content

TSGA2 Antibody - BSA Free

Novus Biologicals, part of Bio-Techne | Catalog # NBP1-89840

Novus Biologicals, part of Bio-Techne
Catalog #
Availability
Size / Price
Qty
Loading...
NBP1-89840
NBP1-89840-25ul

Key Product Details

Validated by

Orthogonal Validation, Independent Antibodies

Species Reactivity

Validated:

Human

Cited:

Human

Applications

Validated:

Immunohistochemistry, Immunohistochemistry-Paraffin, Western Blot, Immunocytochemistry/ Immunofluorescence

Cited:

Immunocytochemistry/ Immunofluorescence

Label

Unconjugated

Antibody Source

Polyclonal Rabbit IgG

Format

BSA Free

Concentration

Concentrations vary lot to lot. See vial label for concentration. If unlisted please contact technical services.

Product Specifications

Immunogen

This antibody was developed against Recombinant Protein corresponding to amino acids: KPTSTDGPGQDAPGAESAGEPGEEAQALLEGFEGEMDMRPGDEDADVLREESREYDQEEFRYDMDEGNINSEEEETRQSDLQD

Clonality

Polyclonal

Host

Rabbit

Isotype

IgG

Description

Novus Biologicals Rabbit TSGA2 Antibody - BSA Free (NBP1-89840) is a polyclonal antibody validated for use in IHC, WB and ICC/IF. Anti-TSGA2 Antibody: Cited in 2 publications. All Novus Biologicals antibodies are covered by our 100% guarantee.

Scientific Data Images for TSGA2 Antibody - BSA Free

TSGA2 Antibody - BSA Free Immunohistochemistry-Paraffin: TSGA2 Antibody - BSA Free [NBP1-89840]

Immunohistochemistry-Paraffin: TSGA2 Antibody - BSA Free [NBP1-89840]

Staining of human cerebral cortex, fallopian tube, placenta and testis using Anti-RSPH1 antibody NBP1-89840 (A) shows similar protein distribution across tissues to independent antibody NBP1-89839 (B).
Immunohistochemistry-Paraffin: TSGA2 Antibody [NBP1-89840]

Immunohistochemistry-Paraffin: TSGA2 Antibody [NBP1-89840]

Immunohistochemistry-Paraffin: TSGA2 Antibody [NBP1-89840] - Analysis in human fallopian tube and cerebral cortex tissues using NBP1-89840 antibody. Corresponding RSPH1 RNA-seq data are presented for the same tissues.
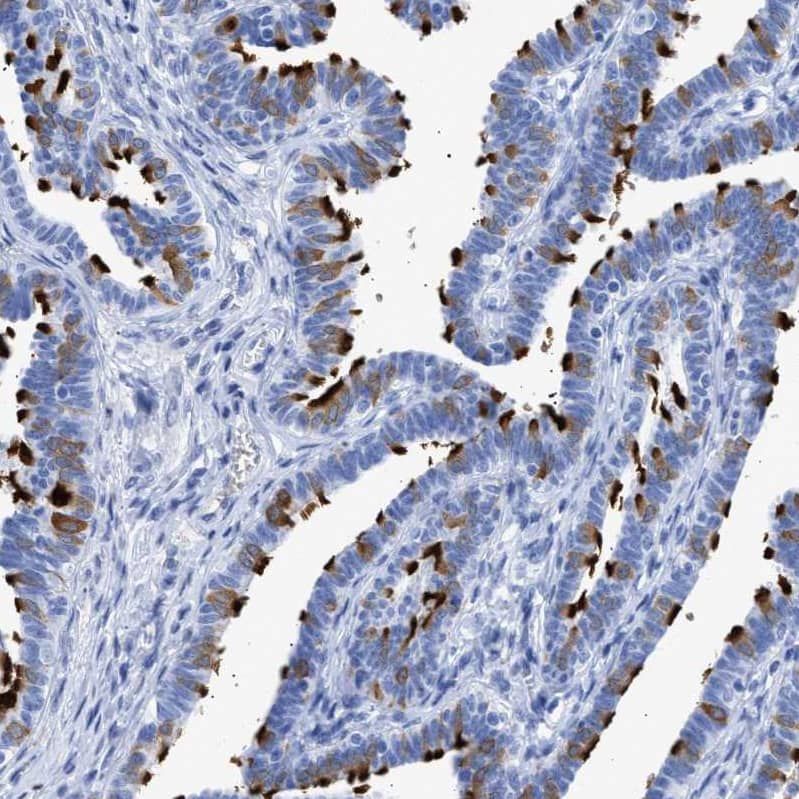
TSGA2 Antibody - BSA Free Immunohistochemistry-Paraffin: TSGA2 Antibody - BSA Free [NBP1-89840]

Immunohistochemistry-Paraffin: TSGA2 Antibody - BSA Free [NBP1-89840]

Staining of human Fallopian tube shows strong positivity in cilia in glandular cells.

Applications for TSGA2 Antibody - BSA Free

Application
Recommended Usage

Immunocytochemistry/ Immunofluorescence

Reported in scientific literature (PMID: 30811583)

Immunohistochemistry

1:1000 - 1:2500

Immunohistochemistry-Paraffin

1:1000 - 1:2500

Western Blot

0.04-0.4 ug/ml
Application Notes
For IHC-Paraffin, HIER pH 6 retrieval is recommended.

Formulation, Preparation, and Storage

Purification

Affinity purified

Formulation

PBS (pH 7.2) and 40% Glycerol

Format

BSA Free

Preservative

0.02% Sodium Azide

Concentration

Concentrations vary lot to lot. See vial label for concentration. If unlisted please contact technical services.

Shipping

The product is shipped with polar packs. Upon receipt, store it immediately at the temperature recommended below.

Stability & Storage

Store at 4C short term. Aliquot and store at -20C long term. Avoid freeze-thaw cycles.

Background: TSGA2

TSGA2 may play an important role in male meiosis

Alternate Names

Cancer/testis antigen 79, CT79, FLJ32753, h-meichroacidin, Male meiotic metaphase chromosome-associated acidic protein, Meichroacidin, radial spoke head 1 homolog, radial spoke head 1 homolog (Chlamydomonas), RSP44, RSPH10A, testes specific A2 homolog, testes specific gene A2 homolog, testis specific A2 homolog, testis specific A2 homolog (mouse), Testis-specific gene A2 protein, TSA2MGC126568, TSGA2MGC141927

Gene Symbol

RSPH1

Additional TSGA2 Products

Product Documents for TSGA2 Antibody - BSA Free

Certificate of Analysis

To download a Certificate of Analysis, please enter a lot number in the search box below.

Product Specific Notices for TSGA2 Antibody - BSA Free

This product is for research use only and is not approved for use in humans or in clinical diagnosis. Primary Antibodies are guaranteed for 1 year from date of receipt.

Loading...
Loading...
Loading...
Loading...