Skip to main content

Tryptase gamma-1/TPSG1 Antibody (OTI1G1) - Azide and BSA Free

Novus Biologicals, part of Bio-Techne | Catalog # NBP2-74652

Novus Biologicals, part of Bio-Techne
Catalog #
Availability
Size / Price
Qty
Loading...
NBP2-74652

Key Product Details

Species Reactivity

Human

Applications

Immunohistochemistry, Immunohistochemistry-Paraffin, Western Blot, Flow Cytometry, CyTOF-ready

Label

Unconjugated

Antibody Source

Monoclonal Mouse IgG1 Clone # OTI1G1

Format

Azide and BSA Free

Concentration

LYOPH mg/ml

Product Specifications

Immunogen

Human recombinant protein fragment corresponding to amino acids 20-283 of human TPSG1(NP_036599) produced in E.coli.

Clonality

Monoclonal

Host

Mouse

Isotype

IgG1

Theoretical MW

32 kDa.
Disclaimer note: The observed molecular weight of the protein may vary from the listed predicted molecular weight due to post translational modifications, post translation cleavages, relative charges, and other experimental factors.

Description

Novus Biologicals Mouse Tryptase gamma-1/TPSG1 Antibody (OTI1G1) - Azide and BSA Free (NBP2-01679) is a monoclonal antibody validated for use in IHC, WB and Flow. All Novus Biologicals antibodies are covered by our 100% guarantee.

Scientific Data Images for Tryptase gamma-1/TPSG1 Antibody (OTI1G1) - Azide and BSA Free

Western Blot: Tryptase gamma-1/TPSG1 Antibody (OTI1G1)Azide and BSA Free [NBP2-74652]

Western Blot: Tryptase gamma-1/TPSG1 Antibody (OTI1G1)Azide and BSA Free [NBP2-74652]

Western Blot: Tryptase gamma-1/TPSG1 Antibody (OTI1G1) - Azide and BSA Free [NBP2-74652] - HEK293T cells were transfected with the pCMV6-ENTRY control (Left lane) or pCMV6-ENTRY TPSG1 (Right lane) cDNA for 48 hrs and lysed. Equivalent amounts of cell lysates (5 ug per lane) were separated by SDS-PAGE and immunoblotted with anti-TPSG1.
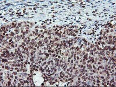
Immunohistochemistry-Paraffin: Tryptase gamma-1/TPSG1 Antibody (OTI1G1) - Azide and BSA Free [NBP2-74652]

Immunohistochemistry-Paraffin: Tryptase gamma-1/TPSG1 Antibody (OTI1G1) - Azide and BSA Free [NBP2-74652]

Immunohistochemistry-Paraffin: Tryptase gamma-1/TPSG1 Antibody (OTI1G1) - Azide and BSA Free [NBP2-74652] - Immunohistochemical staining of paraffin-embedded Carcinoma of Human bladder tissue using anti-TPSG1 mouse monoclonal antibody. (Heat-induced epitope retrieval by 10mM citric buffer, pH6.0, 100C for 10min, NBP2-01679).
Flow Cytometry: Tryptase gamma-1/TPSG1 Antibody (OTI1G1) - Azide and BSA Free [NBP2-74652]

Flow Cytometry: Tryptase gamma-1/TPSG1 Antibody (OTI1G1) - Azide and BSA Free [NBP2-74652]

Flow Cytometry: Tryptase gamma-1/TPSG1 Antibody (OTI1G1) - Azide and BSA Free [NBP2-74652] - Flow cytometric Analysis of Jurkat cells, using anti-TPSG1 antibody (NBP2-01679),(Red), compared to a nonspecific negative control antibody (Blue).

Applications for Tryptase gamma-1/TPSG1 Antibody (OTI1G1) - Azide and BSA Free

Application
Recommended Usage

Flow Cytometry

1:100

Immunohistochemistry

1:150

Western Blot

1:2000

Formulation, Preparation, and Storage

Purification

Immunogen affinity purified

Reconstitution

we recommend adding 100uL distilled water to a final antibody concentration of about 1 mg/mL. To use this carrier-free antibody for conjugation experiment, we strongly recommend performing another round of desalting process.

Formulation

Lyophilized from PBS (pH 7.3) with 8% Trehalose

Format

Azide and BSA Free

Preservative

No Preservative

Concentration

LYOPH mg/ml

Shipping

The product is shipped with polar packs. Upon receipt, store it immediately at the temperature recommended below.

Stability & Storage

Store at -20C. Avoid freeze-thaw cycles.

Background: Tryptase gamma-1/TPSG1

Mast cells contain a number of preformed chemical mediators such as histamine, chymase, carboxypeptidase and proteolytic tryptase. Human Mast Cell Tryptase is considered to be an important marker of mast cell activation as well as an important mediator of inflammation.

Alternate Names

TPSG1, Tryptase gamma1

Gene Symbol

TPSG1

Additional Tryptase gamma-1/TPSG1 Products

Product Documents for Tryptase gamma-1/TPSG1 Antibody (OTI1G1) - Azide and BSA Free

Certificate of Analysis

To download a Certificate of Analysis, please enter a lot number in the search box below.

Product Specific Notices for Tryptase gamma-1/TPSG1 Antibody (OTI1G1) - Azide and BSA Free

This product is for research use only and is not approved for use in humans or in clinical diagnosis. Primary Antibodies are guaranteed for 1 year from date of receipt.

Loading...
Loading...
Loading...
Loading...
Loading...
Loading...