Skip to main content

TROP-2 Antibody (TACSTD2/2152) - Azide and BSA Free

Novus Biologicals, part of Bio-Techne | Catalog # NBP2-75746

Novus Biologicals, part of Bio-Techne

Key Product Details

Species Reactivity

Human

Applications

Immunohistochemistry, Immunohistochemistry-Paraffin, Western Blot, Immunocytochemistry/ Immunofluorescence, Protein Array

Label

Unconjugated

Antibody Source

Monoclonal Mouse IgG1 kappa Clone # TACSTD2/2152

Format

Azide and BSA Free

Concentration

1 mg/ml

Product Specifications

Immunogen

Recombinant fragment of human TROP-2 protein (around aa 31-274) (exact sequence is proprietary) (Uniprot: P09758 )

Localization

Cell Surface

Marker

Epithelial Marker

Clonality

Monoclonal

Host

Mouse

Isotype

IgG1 kappa

Theoretical MW

40 kDa.
Disclaimer note: The observed molecular weight of the protein may vary from the listed predicted molecular weight due to post translational modifications, post translation cleavages, relative charges, and other experimental factors.

Description

1.0 mg/ml of antibody purified from Bioreactor Concentrate by Protein A/G. Prepared in 10mM PBS WITHOUT BSA & azide. Also available at 200 ug/ml WITH BSA & azide (NBP2-75745).

Antibody with azide - store at 2 to 8C. Antibody without azide - store at -20 to -80 C.

Scientific Data Images for TROP-2 Antibody (TACSTD2/2152) - Azide and BSA Free

Immunocytochemistry/ Immunofluorescence: TROP-2 Antibody (TACSTD2/2152) - Azide and BSA Free [NBP2-75746]

Immunocytochemistry/ Immunofluorescence: TROP-2 Antibody (TACSTD2/2152) - Azide and BSA Free [NBP2-75746]

Immunocytochemistry/Immunofluorescence: TROP-2 Antibody (TACSTD2/2152) - Azide and BSA Free [NBP2-75746] - Confocal Immunofluorescence of MCF-7 cells TACSTD2 / TROP2 Mouse Monoclonal Antibody (TACSTD2/2152). labeled with CF488 (Green); Reddot is used to label the nuclei.
Immunohistochemistry-Paraffin: TROP-2 Antibody (TACSTD2/2152) - Azide and BSA Free [NBP2-75746]

Immunohistochemistry-Paraffin: TROP-2 Antibody (TACSTD2/2152) - Azide and BSA Free [NBP2-75746]

Immunohistochemistry-Paraffin: TROP-2 Antibody (TACSTD2/2152) - Azide and BSA Free [NBP2-75746] - Formalin-fixed, paraffin-embedded human Pancreatic Carcinoma stained with TACSTD2 / TROP2 Mouse Monoclonal Antibody (TACSTD2/2152).
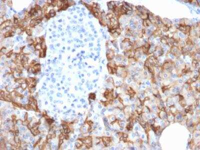
Immunohistochemistry-Paraffin: TROP-2 Antibody (TACSTD2/2152) - Azide and BSA Free [NBP2-75746]

Immunohistochemistry-Paraffin: TROP-2 Antibody (TACSTD2/2152) - Azide and BSA Free [NBP2-75746]

Immunohistochemistry-Paraffin: TROP-2 Antibody (TACSTD2/2152) - Azide and BSA Free [NBP2-75746] - Formalin-fixed, paraffin-embedded human Colon Carcinoma stained with TACSTD2 / TROP2 Mouse Monoclonal Antibody (TACSTD2/2152).

Applications for TROP-2 Antibody (TACSTD2/2152) - Azide and BSA Free

Application
Recommended Usage

Immunocytochemistry/ Immunofluorescence

1 - 2 ug/mL

Immunohistochemistry

1 - 2 ug/mL

Immunohistochemistry-Paraffin

1 - 2 ug/mL
Application Notes
Immunohistochemistry (Formalin-fixed): 1-2ug/ml for 30 minutes at RT. Staining of formalin-fixed tissues requires heating tissue sections in 10mM Tris with 1mM EDTA, pH 9.0, for 45 min at 95C followed by cooling at RT for 20 minutes.
Optimal dilution for a specific application should be determined.

Formulation, Preparation, and Storage

Purification

Protein A or G purified

Formulation

10 mM PBS

Format

Azide and BSA Free

Preservative

No Preservative

Concentration

1 mg/ml

Shipping

The product is shipped with polar packs. Upon receipt, store it immediately at the temperature recommended below.

Stability & Storage

Store at -20 to -80C. Avoid freeze-thaw cycles.

Background: TROP-2

TROP2 encodes a carcinoma-associated antigen defined by the monoclonal antibody GA733. This antigen is a member of a family including at least two type I membrane proteins. It transduces an intracellular calcium signal and acts as a cell surface receptor. Mutations of this gene result in gelatinous drop-like corneal dystrophy, an autosomal recessive disorder characterized by severe corneal amyloidosis leading to blindness. [provided by RefSeq]

Long Name

Tumor-associated Calcium Signal Transducer 2

Alternate Names

GA733-1, gp50, T16, TACSTD2, TROP2

Gene Symbol

TACSTD2

UniProt

Additional TROP-2 Products

Product Documents for TROP-2 Antibody (TACSTD2/2152) - Azide and BSA Free

Certificate of Analysis

To download a Certificate of Analysis, please enter a lot number in the search box below.

Product Specific Notices for TROP-2 Antibody (TACSTD2/2152) - Azide and BSA Free

This product is for research use only and is not approved for use in humans or in clinical diagnosis. Primary Antibodies are guaranteed for 1 year from date of receipt.

Loading...
Loading...
Loading...
Loading...